Human IRF8 Antibody Summary
Ala255-Val426
Accession # Q02556
Applications
Please Note: Optimal dilutions should be determined by each laboratory for each application. General Protocols are available in the Technical Information section on our website.
Scientific Data
View Larger
Detection of Human IRF8 by Western Blot. Western blot shows lysates of Daudi human Burkitt's lymphoma cell line and Raji human Burkitt's lymphoma cell line. Gels were loaded with 25 µg of nuclear extracts (Nuc) and whole cell lysate (WCL). PVDF membrane was probed with 2 µg/mL of Mouse Anti-Human IRF8 Monoclonal Antibody (Catalog # MAB5117) followed by HRP-conjugated Anti-Mouse IgG Secondary Antibody (Catalog # HAF007). A specific band was detected for IRF8 at approximately 50 kDa (as indicated). This experiment was conducted under reducing conditions and using Immunoblot Buffer Group 1.
View Larger
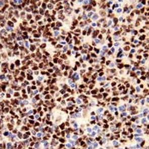
IRF8 in Human Tonsil. IRF8 was detected in immersion fixed paraffin-embedded sections of human tonsil using Mouse Anti-Human IRF8 Monoclonal Antibody (Catalog # MAB5117) at 15 µg/mL overnight at 4 °C. Before incubation with the primary antibody, tissue was subjected to heat-induced epitope retrieval using Antigen Retrieval Reagent-Basic (Catalog # CTS013). Tissue was stained using the Anti-Mouse HRP-DAB Cell & Tissue Staining Kit (brown; Catalog # CTS002) and counterstained with hematoxylin (blue). Specific staining was localized to lymphocytes in germinal centers. View our protocol for Chromogenic IHC Staining of Paraffin-embedded Tissue Sections.
View Larger
Detection of Human IRF8 by Simple WesternTM. Simple Western lane view shows lysates of Daudi human Burkitt's lymphoma cell line and Raji human Burkitt's lymphoma cell line, loaded at 0.5 mg/mL. A specific band was detected for IRF8 at approximately 54 kDa (as indicated) using 20 µg/mL of Mouse Anti-Human IRF8 Monoclonal Antibody (Catalog # MAB5117). This experiment was conducted under reducing conditions and using the 12-230 kDa separation system.
Reconstitution Calculator
Preparation and Storage
- 12 months from date of receipt, -20 to -70 °C as supplied.
- 1 month, 2 to 8 °C under sterile conditions after reconstitution.
- 6 months, -20 to -70 °C under sterile conditions after reconstitution.
Background: IRF8
IRF8 (interferon regulatory factor 8; also ICSBP) is a 50 kDa member of the IRF family of proteins. It is expressed in myeloid, dendritic and B cells and interacts with PU.1 to regulate the expression of TLR4, IL-18, IL-12p35, and PTPN13, a Fas-associated phosphatase that blocks Fas-induced apoptosis. Human IRF8 is 426 amino acids (aa) in length. It contains an N-terminal DNA-binding basic region (aa 9-110) and at least one regulatory phosphorylation site at Tyr95. Over aa 255-426, human IRF8 shares 90% and 88% aa sequence identity with canine and mouse IRF8, respectively.
Product Datasheets
FAQs
No product specific FAQs exist for this product, however you may
View all Antibody FAQsReviews for Human IRF8 Antibody
Average Rating: 5 (Based on 1 Review)
Have you used Human IRF8 Antibody?
Submit a review and receive an Amazon gift card.
$25/€18/£15/$25CAN/¥75 Yuan/¥2500 Yen for a review with an image
$10/€7/£6/$10 CAD/¥70 Yuan/¥1110 Yen for a review without an image
Filter by:
