Human Ki67/MKI67 Antibody Summary
Accession # E9PVX6
*Small pack size (-SP) is supplied either lyophilized or as a 0.2 µm filtered solution in PBS.
Applications
Please Note: Optimal dilutions should be determined by each laboratory for each application. General Protocols are available in the Technical Information section on our website.
Scientific Data
View Larger
Detection of Ki67/MKI67 in Human Tonsil via Multiplex Immunofluorescence staining on COMET™ Ki67/MKI67 was detected in immersion fixed paraffin-embedded sections of human tonsil using Rabbit Anti-Human Ki67/MKI67 Monoclonal Antibody (Catalog # MAB7617) at 10 µg/mL at 37 ° Celsius for 4 minutes. Before incubation with the primary antibody, tissue underwent an all-in-one dewaxing and antigen retrieval preprocessing using PreTreatment Module (PT Module) and Dewax and HIER Buffer H (pH 9). Tissue was stained using the Alexa Fluor™ Plus 555 Goat anti-Rabbit IgG Secondary Antibody at 1:100 at 37 ° Celsius for 2 minutes. (Yellow; Lunaphore Catalog # DR555RB) and counterstained with DAPI (blue; Lunaphore Catalog # DR100).. Specific staining was localized to the nucleus. Protocol available in COMET™ Panel Builder.
View Larger
Detection of Ki67 in Mouse Stomach via seqIF™ staining on COMET™ Ki67 was detected in immersion fixed paraffin-embedded sections of mouse Stomach using Rabbit Anti-Mouse Ki67, Monoclonal Antibody (Catalog # MAB7617) at 0.15ug/mL at 37° Celsius for 2 minutes. Before incubation with the primary antibody, tissue underwent an all-in-one dewaxing and antigen retrieval preprocessing using PreTreatment Module (PT Module) and Dewax and HIER Buffer H (pH 9; Epredia Catalog # TA-999-DHBH). Tissue was stained using the Alexa Fluor™ Plus 555 Goat anti-Rabbit IgG Secondary Antibody at 1:100 at 37 ° Celsius for 2 minutes. (Yellow; Lunaphore Catalog # DR555RB) and counterstained with DAPI (blue; Lunaphore Catalog # DR100). Specific staining was localized to the nucleus. Protocol available in COMET™ Panel Builder.
View Larger
Ki67/MKI67 in HeLa Human Cell Line. Ki67/MKI67 was detected in immersion fixed HeLa human cervical epithelial carcinoma cell line using Rabbit Anti-Human Ki67/MKI67 Monoclonal Antibody (Catalog # MAB7617) at 0.3 µg/mL for 3 hours at room temperature. Cells were stained using the NorthernLights™ 557-conjugated Anti-Rabbit IgG Secondary Antibody (red; NL004) and counterstained with DAPI (blue). Specific staining was localized to nuclei. View our protocol for Fluorescent ICC Staining of Cells on Coverslips.
View Larger
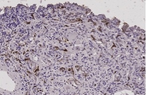
Ki67/MKI67 in Human Pancreatic Cancer Tissue. Ki67/MKI67 was detected in immersion fixed paraffin-embedded sections of human pancreatic cancer tissue using Rabbit Anti-Human Ki67/MKI67 Monoclonal Antibody (Catalog # MAB7617) at 3 µg/mL for 1 hour at room temperature followed by incubation with the Anti-Rabbit IgG VisUCyte™ HRP Polymer Antibody (VC003). Tissue was stained using DAB (brown) and counterstained with hematoxylin (blue). Specific staining was localized to nuclei. View our protocol for IHC Staining with VisUCyte HRP Polymer Detection Reagents.
View Larger
Detection of Ki67/MKI67 in Human PBMCs by Flow Cytometry. Human peripheral blood mononuclear cells (PBMCs) either A) untreated or (B) treated with 5 µg/mL PHA for 5 days were stained with Rabbit Anti-Human Ki67/MKI67 Monoclonal Antibody (Catalog # MAB7617) followed by Phycoerythrin-conjugated Anti-Rabbit IgG Secondary Antibody (F0110) and Mouse Anti-Human CD3e APC-conjugated Monoclonal Antibody (FAB100A). Quadrant markers were set based on control antibody staining (MAB1050). To facilitate intracellular staining, cells were fixed and permeabilized with FlowX FoxP3 Fixation & Permeabilization Buffer Kit (FC012). View our protocol for Staining Intracellular Molecules.
View Larger
Detection of Human Ki67/MKI67 by Simple WesternTM. Simple Western lane view shows lysates of HeLa human cervical epithelial carcinoma cell line and MCF‑7 human breast cancer cell line, loaded at 0.2 mg/mL. A specific band was detected for Ki67/MKI67 at approximately 320 kDa (as indicated) using 20 µg/mL of Rabbit Anti-Human Ki67/MKI67 Monoclonal Antibody (Catalog # MAB7617). This experiment was conducted under reducing conditions and using the 66-440 kDa separation system.
View Larger
Ki67/MKI67 Specificity is Shown by Immunocytochemistry in Knockout Cell Line. Ki67/MKI67 was detected in immersion fixed HeLa human cervical epithelial carcinoma cell line but is not detected in Ki67/MKI67 knockout (KO) HeLa cell line using Rabbit Anti-Human Ki67/MKI67 Monoclonal Antibody (Catalog # MAB7617) at 1 µg/mL for 3 hours at room temperature. Cells were stained using the NorthernLights™ 557-conjugated Anti-Rabbit IgG Secondary Antibody (red; NL004) and counterstained with DAPI (blue). Specific staining was localized to nuclei. View our protocol for Fluorescent ICC Staining of Cells on Coverslips.
View Larger
Human Ki67/MKI67 Specificity Shown by Simple WesternTM in Knockout Cell Line. Simple Western lane view shows lysates of HeLa human cervical epithelial carcinoma cell line and Ki67 knockout HeLa cell line (KO), loaded at 0.2 mg/mL. A specific band was detected for Ki67/MKI67 at approximately 320 kDa (as indicated) using 20 µg/mL of Rabbit Anti-Human Ki67/MKI67 Monoclonal Antibody (Catalog # MAB7617). GAPDH (MAB5718) is shown as a loading control. This experiment was conducted under reducing conditions and using the 66-440 kDa separation system.
View Larger
Ki-67/MKI67 in human breast cancer using Dual RNAscope®ISH and IHC. MKi67 mRNA (red) and MKi67 protein (green) were detected in formalin-fixed paraffin-embedded tissue sections of human breast cancer. ACD’s Integrated Co-Detection Workflow was performed using ACD RNAScope Probe Hs-MKI67 (Catalog # 591771) and rabbit anti-human Ki67/MKI67 recombinant monoclonal antibody (Catalog # MAB7616) at 10 μg/mL. Tissue was stained using RNAscope® 2.5 HD Detection Kit-RED (Catalog # 322360) and RNAscope® 2.5 LS Green Accessory Pack (Catalog # 322550). Tissue was counterstained with 50% hematoxylin (blue).
View Larger
Detection of Ki67/MKI67 in Mouse Thymus. Ki67/MKI67 was detected in immersion fixed paraffin-embedded sections of mouse thymus using Rabbit Anti-Human Ki67/MKI67 Monoclonal Antibody (Catalog # MAB7617) at 0.5 µg/ml for 1 hour at room temperature followed by incubation with the Anti-Rabbit IgG VisUCyte™ HRP Polymer Antibody (Catalog # VC003). Before incubation with the primary antibody, tissue was subjected to heat-induced epitope retrieval using VisUCyte Antigen Retrieval Reagent-Basic (Catalog # VCTS021). Tissue was stained using DAB (brown) and counterstained with hematoxylin (blue). Specific staining was localized to the nucleus. View our protocol for IHC Staining with VisUCyte HRP Polymer Detection Reagents.
Reconstitution Calculator
Preparation and Storage
- 12 months from date of receipt, -20 to -70 °C as supplied.
- 1 month, 2 to 8 °C under sterile conditions after reconstitution.
- 6 months, -20 to -70 °C under sterile conditions after reconstitution.
Background: Ki67/MKI67
MKI67 (also Ki67) is a 350-400 kDa nuclear protein that belongs to a molecular group comprised of mitotic chromosome-associated proteins. Ki67 was originally recognized as an antigen associated with the monoclonal Ki67 antibody raised against Hodgkin's lymphoma nuclear material. Ki-67 is contextually expressed, being potentially found in all cells that are not in the Go phase of the cell cycle. Thus, MKI67 qualifies as a cell proliferation marker. Functionally, Ki67 is known to interact with 160 kDa Hklp2, a protein that promotes centrosome separation and spindle bipolarity. It also directly interacts with NIFK, and apparently binds to UBF, thus playing a role in rRNA synthesis. Human MKI67 is 3256 amino acids (aa) in length. It contains one FHA domain (aa 8-98), followed by at least 24 utilized Ser/Thr phosphorylation sites and sixteen 120 aa repeats (aa 1000-2928) that are interspersed with at least 90 additional utilized phosphorylation sites. There are two potential isoform variants. One isoform is 315-345 kDa in size and shows a deletion of aa 136-495, while a second isoform contains a 58 aa substitution for aa 1-513. Over aa 3120-3256, human Ki67 shares 46% aa sequence identity with the mouse ortholog to Ki67.
Product Datasheets
Citations for Human Ki67/MKI67 Antibody
R&D Systems personnel manually curate a database that contains references using R&D Systems products. The data collected includes not only links to publications in PubMed, but also provides information about sample types, species, and experimental conditions.
5
Citations: Showing 1 - 5
Filter your results:
Filter by:
-
Antitumor activity of photodynamic therapy with tetracationic derivative of synthetic bacteriochlorin in spheroid culture of liver and colon cancer cells
Authors: SS Karshieva, EG Glinskaya, AA Dalina, EV Akhlyustin, EA Makarova, YD Khesuani, NS Chmelyuk, MA Abakumov, DA Khochenkov, VA Mironov, GA Meerovich, EA Kogan, EV Koudan
Photodiagnosis and photodynamic therapy, 2022-11-15;0(0):103202.
Species: Human
Sample Types: Spheroids
Applications: IHC -
Phenanthroindolizidine Alkaloids Isolated from Tylophora ovata as Potent Inhibitors of Inflammation, Spheroid Growth, and Invasion of Triple-Negative Breast Cancer
Authors: I Reimche, H Yu, NP Ariantari, Z Liu, K Merkens, S Rotfu beta, K Peter, U Jungwirth, N Bauer, F Kiefer, JM Neudörfl, HG Schmalz, P Proksch, N Teusch
International Journal of Molecular Sciences, 2022-09-07;23(18):.
Species: Human
Sample Types: Whole Cells
Applications: ICC/IF -
Addition of Chk1 inhibitor and BMP4 cooperatively promotes retinal tissue formation in self-organizing human pluripotent stem cell differentiation culture
Authors: S Yamasaki, A Kuwahara, A Kishino, T Kimura, M Takahashi, M Mandai
Regenerative Therapy, 2022-01-01;19(0):24-34.
Species: Human
Sample Types: Whole Tissue
Applications: IHC -
Alpha1-antitrypsin protects lung cancer cells from staurosporine-induced apoptosis: the role of bacterial lipopolysaccharide
Authors: N Schwarz, S Tumpara, S Wrenger, E Ercetin, J Hamacher, T Welte, S Janciauski
Sci Rep, 2020-06-12;10(1):9563.
Species: Human
Sample Types: Whole Cells
Applications: ICC -
Development and Radiation Response Assessment in A Novel Syngeneic Mouse Model of Tongue Cancer: 2D Culture, 3D Organoids and Orthotopic Allografts
Authors: VK Vincent-Ch, M Seshadri
Cancers (Basel), 2020-03-02;12(3):.
Species: Mouse
Sample Types: Whole Tissue
Applications: IHC
FAQs
No product specific FAQs exist for this product, however you may
View all Antibody FAQsReviews for Human Ki67/MKI67 Antibody
Average Rating: 4.3 (Based on 3 Reviews)
Have you used Human Ki67/MKI67 Antibody?
Submit a review and receive an Amazon gift card.
$25/€18/£15/$25CAN/¥75 Yuan/¥2500 Yen for a review with an image
$10/€7/£6/$10 CAD/¥70 Yuan/¥1110 Yen for a review without an image
Filter by:
Reconstructed human epidermis tissues were embedded in paraffin. After successives baths in xylene and ethanol, antigen was retrieved using warm citrate (for 30 min). After a step of saturation, specimens were incubated overnight with the primary antibody (1:100 dilution).
