Human/Mouse/Rat TRAF-2 Antibody Summary
Met1-Leu501
Accession # Q12933
Applications
Please Note: Optimal dilutions should be determined by each laboratory for each application. General Protocols are available in the Technical Information section on our website.
Scientific Data
View Larger
Detection of Human/Mouse/Rat TRAF‑2 by Western Blot. Western blot shows lysates of Raji human Burkitt's lymphoma cell line, SW3T3 mouse contact inhibited fibroblast cell line, and L6 rat myoblast cell line. PVDF membrane was probed with 0.25 µg/mL Mouse Anti-Human/Mouse/Rat TRAF-2 Monoclonal Antibody (Catalog # MAB3277) followed by HRP-conjugated Anti-Mouse IgG Secondary Antibody (Catalog # HAF007). For additional reference, recombinant human TRAF-1, -2, -3, -4, -5, and -6 (2 ng/lane) were included. A specific band for TRAF-2 was detected at approximately 56 kDa (as indicated). This experiment was conducted under reducing conditions and using Immunoblot Buffer Group 2.
View Larger
TRAF‑2 in HeLa Human Cell Line. TRAF-2 was detected in immersion fixed HeLa human cervical epithelial carcinoma cell line using Mouse Anti-Human/Mouse/Rat TRAF-2 Monoclonal Antibody (Catalog # MAB3277) at 3 µg/mL for 3 hours at room temperature. Cells were stained using the NorthernLights™ 557-conjugated Anti-Mouse IgG Secondary Antibody (red; Catalog # NL007) and counterstained with DAPI (blue). Specific staining was localized to cytoplasm. View our protocol for Fluorescent ICC Staining of Cells on Coverslips.
View Larger
Western Blot Shows Human TRAF‑2 Specificity by Using Knockout Cell Line. Western blot shows lysates of HEK293T human embryonic kidney parental cell line and TRAF-2 knockout HEK293T cell line (KO). PVDF membrane was probed with 0.25 µg/mL of Mouse Anti-Human/Mouse/Rat TRAF-2 Monoclonal Antibody (Catalog # MAB3277) followed by HRP-conjugated Anti-Mouse IgG Secondary Antibody (Catalog # HAF018). A specific band was detected for TRAF-2 at approximately 62 kDa (as indicated) in the parental HEK293T cell line, but is not detectable in knockout HEK293T cell line. GAPDH (Catalog # MAB5718) is shown as a loading control. This experiment was conducted under reducing conditions and using Immunoblot Buffer Group 1.
View Larger
Detection of TRAF-2 by Western Blot RAR gamma is required for TNF-induced RIP1-dependent apoptosis and necroptosis. a Cell death analysis of HT-29 clones cont-shRNA, RAR gamma -shRNA-A, RAR gamma -shRNA-B, RAR gamma -shRNA-C or RIP1-shRNA when treated with TSZ for 24 h was determined by PI staining using flow cytometry (left panel) (*P < 0.05 versus cont-shRNA; ANOVA). The bars represent the mean ± s.e.m. of three experiments. Western blot analysis of cells as mentioned in left panel; cell lysates were probed with antibodies as indicated (right panel). b Cell death determination by PI staining using flow cytometry of HT-29 cont-shRNA, RAR gamma -shRNA-A or RAR gamma -shRNA-A cells reconstituted with RAR gamma -shRNA resistant RAR gamma protein (RAR gamma -shRNA-A-rRAR gamma ) when treated with DMSO or TSZ for 24 h (left panel) (*P < 0.05 versus cont-shRNA. #P < 0.05 versus RAR gamma -shRNA-A; ANOVA). The bars represent the mean ± s.e.m. of three experiments. Western blot analysis of cells as mentioned in left panel; cell lysates were probed with antibodies as indicated (right panel). c, d HT-29, RAR gamma -shRNA-A, or RIP1-shRNA cells were treated with necrotic (DMSO, TS, or TSZ) c or apoptotic (CHX, TC or TCZ) d conditions for 24 h. PI positive population was determined by flow cytometry. (*P < 0.05 versus cont-shRNA; ANOVA). The bars represent the mean ± s.e.m. of three experiments. e Western blot analysis of HT-29 cont-shRNA cells infected with TRADD-shRNA, or RAR gamma -shRNA-A cells infected with TRADD-shRNA lentivirus (RAR gamma -shRNA-A + TRADD-shRNA). Cell lysates were probed with antibodies as indicated. f Cells from e were treated with DMSO, TS, or TSZ for 24 h and the PI-positive population was determined by flow cytometry. (*P < 0.05 versus cont-shRNA; ANOVA). The bars represent the mean ± s.e.m. of three experiments. All blots above are representative of one of three experiments Image collected and cropped by CiteAb from the following open publication (https://pubmed.ncbi.nlm.nih.gov/28871172), licensed under a CC-BY license. Not internally tested by R&D Systems.
View Larger
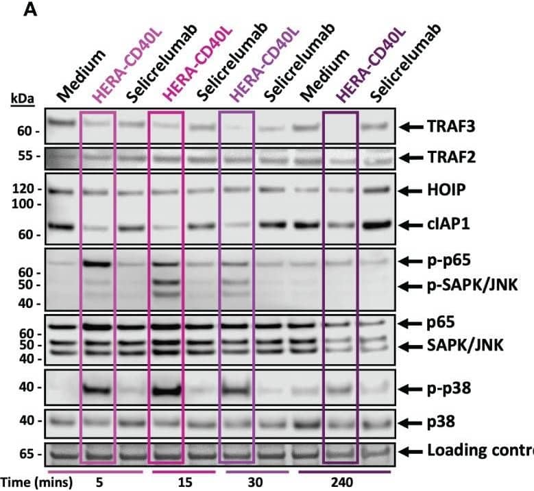
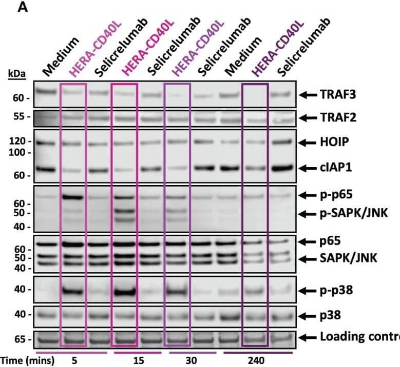
Detection of TRAF-2 by Western Blot Analysis of the activity of CD40 related proteins involved in transduction leading to activation of key inflammatory/survival pathway and transcription factors. (A, B) Immature dendritic cells were differentiated from monocytes derived from PBMCs donors and treated with the indicated treatments over 4 hours. (A) Representative western blot analysis (n=3-6) of CD40 related signaling adaptor proteins and related inflammatory/survival pathway and transcription factors using beta-actin as a loading control. HERA-CD40L treatment is highlighted by purple rectangles shaded by timepoints. (B) Representative subcellular fractionation and western blot analysis 15 minutes after treatment (n=3), the indicated subcellular fractions are determined by cytosolic, RIPA soluble and insoluble samples, as indicated. RIPA samples correspond to membrane and nuclear fractions while RIPA insoluble samples correspond to insoluble lipid rafts, nuclear insoluble fraction, and bound nuclear chromatin. (C) Dendritic cell activation surface marker expression analysis and IL-12 production comparison between the indicated treatments. Data displayed as mean +/- SEM (n=3 donors), Standard unpaired t-test comparison. Statistics are represented as either not significant (ns), p-value = <0.05 (*), or p-value = <0.005 (***). Image collected and cropped by CiteAb from the following open publication (https://pubmed.ncbi.nlm.nih.gov/37304285), licensed under a CC-BY license. Not internally tested by R&D Systems.
View Larger
Detection of TRAF-2 by Western Blot Analysis of the activity of CD40 related proteins involved in transduction leading to activation of key inflammatory/survival pathway and transcription factors. (A, B) Immature dendritic cells were differentiated from monocytes derived from PBMCs donors and treated with the indicated treatments over 4 hours. (A) Representative western blot analysis (n=3-6) of CD40 related signaling adaptor proteins and related inflammatory/survival pathway and transcription factors using beta-actin as a loading control. HERA-CD40L treatment is highlighted by purple rectangles shaded by timepoints. (B) Representative subcellular fractionation and western blot analysis 15 minutes after treatment (n=3), the indicated subcellular fractions are determined by cytosolic, RIPA soluble and insoluble samples, as indicated. RIPA samples correspond to membrane and nuclear fractions while RIPA insoluble samples correspond to insoluble lipid rafts, nuclear insoluble fraction, and bound nuclear chromatin. (C) Dendritic cell activation surface marker expression analysis and IL-12 production comparison between the indicated treatments. Data displayed as mean +/- SEM (n=3 donors), Standard unpaired t-test comparison. Statistics are represented as either not significant (ns), p-value = <0.05 (*), or p-value = <0.005 (***). Image collected and cropped by CiteAb from the following open publication (https://pubmed.ncbi.nlm.nih.gov/37304285), licensed under a CC-BY license. Not internally tested by R&D Systems.
View Larger
Detection of TRAF-2 by Western Blot Analysis of the activity of CD40 related proteins involved in transduction leading to activation of key inflammatory/survival pathway and transcription factors. (A, B) Immature dendritic cells were differentiated from monocytes derived from PBMCs donors and treated with the indicated treatments over 4 hours. (A) Representative western blot analysis (n=3-6) of CD40 related signaling adaptor proteins and related inflammatory/survival pathway and transcription factors using beta-actin as a loading control. HERA-CD40L treatment is highlighted by purple rectangles shaded by timepoints. (B) Representative subcellular fractionation and western blot analysis 15 minutes after treatment (n=3), the indicated subcellular fractions are determined by cytosolic, RIPA soluble and insoluble samples, as indicated. RIPA samples correspond to membrane and nuclear fractions while RIPA insoluble samples correspond to insoluble lipid rafts, nuclear insoluble fraction, and bound nuclear chromatin. (C) Dendritic cell activation surface marker expression analysis and IL-12 production comparison between the indicated treatments. Data displayed as mean +/- SEM (n=3 donors), Standard unpaired t-test comparison. Statistics are represented as either not significant (ns), p-value = <0.05 (*), or p-value = <0.005 (***). Image collected and cropped by CiteAb from the following open publication (https://pubmed.ncbi.nlm.nih.gov/37304285), licensed under a CC-BY license. Not internally tested by R&D Systems.
View Larger
Detection of TRAF-2 by Western Blot Analysis of the activity of CD40 related proteins involved in transduction leading to activation of key inflammatory/survival pathway and transcription factors. (A, B) Immature dendritic cells were differentiated from monocytes derived from PBMCs donors and treated with the indicated treatments over 4 hours. (A) Representative western blot analysis (n=3-6) of CD40 related signaling adaptor proteins and related inflammatory/survival pathway and transcription factors using beta-actin as a loading control. HERA-CD40L treatment is highlighted by purple rectangles shaded by timepoints. (B) Representative subcellular fractionation and western blot analysis 15 minutes after treatment (n=3), the indicated subcellular fractions are determined by cytosolic, RIPA soluble and insoluble samples, as indicated. RIPA samples correspond to membrane and nuclear fractions while RIPA insoluble samples correspond to insoluble lipid rafts, nuclear insoluble fraction, and bound nuclear chromatin. (C) Dendritic cell activation surface marker expression analysis and IL-12 production comparison between the indicated treatments. Data displayed as mean +/- SEM (n=3 donors), Standard unpaired t-test comparison. Statistics are represented as either not significant (ns), p-value = <0.05 (*), or p-value = <0.005 (***). Image collected and cropped by CiteAb from the following open publication (https://pubmed.ncbi.nlm.nih.gov/37304285), licensed under a CC-BY license. Not internally tested by R&D Systems.
Reconstitution Calculator
Preparation and Storage
- 12 months from date of receipt, -20 to -70 °C as supplied.
- 1 month, 2 to 8 °C under sterile conditions after reconstitution.
- 6 months, -20 to -70 °C under sterile conditions after reconstitution.
Background: TRAF-2
Tumor Necrosis Factor (TNF) Receptor-Associated Factors (TRAFs) are a family of adaptor proteins that interact with a wide range of cell surface receptors and participate in the regulation of cell survival, proliferation, differentiation, and stress response. TRAFs were identified by their ability to form complexes with TNF receptor superfamily members but more recently are reported to also bind to Toll/IL-1 receptor family members and mediate cellular signaling. Six members of the TRAF family have been identified. All TRAF proteins have a homologous C-terminal TRAF domain that can bind the cytoplasmic domain of receptors as well as other TRAFs. TRAFs 2‑6 have N-terminal RING and zinc finger domains that are involved in signaling downstream events. TRAF-2, also known as TNF Receptor-Associated Protein (TRAP), is a 501 amino acid, 56 kDa protein which interacts with the cytoplasmic domain of TNFR1, TNFR2 and CD40 to mediate the activation of NF-kappa-B and AP-1 family of transcription factors. TRAF-2 can self-associate as well as form heterodimers with TRAF-1.
Product Datasheets
Citations for Human/Mouse/Rat TRAF-2 Antibody
R&D Systems personnel manually curate a database that contains references using R&D Systems products. The data collected includes not only links to publications in PubMed, but also provides information about sample types, species, and experimental conditions.
6
Citations: Showing 1 - 6
Filter your results:
Filter by:
-
The CD40 agonist HERA-CD40L results in enhanced activation of antigen presenting cells, promoting an anti-tumor effect alone and in combination with radiotherapy
Authors: Jamie Frankish, Debayan Mukherjee, Erminia Romano, Katharina Billian-Frey, Matthias Schröder, Karl Heinonen et al.
Frontiers in Immunology
-
Molecular and cellular evidence of a direct interaction between the TRAF2 C-terminal domain and ganglioside GM1
Authors: De Luca, A;Faienza, F;Fulci, C;Nicolai, E;Calligari, P;Palumbo, C;Caccuri, AM;
The international journal of biochemistry & cell biology
Species: Human
Sample Types: Whole Cells
Applications: Functional Assay -
NEDD4 ubiquitinates TRAF3 to promote CD40-mediated AKT activation.
Authors: Fang, Di-Feng, He, Kun, Wang, Na, Sang, Zhi-Hong, Qiu, Xin, Xu, Guang, Jian, Zhao, Liang, Bing, Li, Tao, Li, Hui-Yan, Li, Ai-Ling, Zhou, Tao, Gong, Wei-Li, Yang, Baoli, Karin, Michael, Zhang, Xue-Min, Li, Wei-Hua
Nat Commun, 2014-07-29;5(0):4513.
Species: Human, Mouse
Sample Types: Cell Lysates
Applications: Western Blot -
Zinc-finger protein 91 plays a key role in LIGHT-induced activation of non-canonical NF-kappaB pathway.
Authors: Jin HR, Jin X, Lee JJ
Biochem. Biophys. Res. Commun., 2010-09-06;400(4):581-6.
Species: Human
Sample Types: Cell Lysates
Applications: Western Blot -
IL-6 cytoprotection in hyperoxic acute lung injury occurs via suppressor of cytokine signaling-1-induced apoptosis signal-regulating kinase-1 degradation.
Authors: Kolliputi N, Waxman AB
Am. J. Respir. Cell Mol. Biol., 2008-09-05;40(3):314-24.
Species: Human
Sample Types: Cell Lysates
Applications: Western Blot -
The function of TRADD in signaling through tumor necrosis factor receptor 1 and TRIF-dependent Toll-like receptors.
Authors: Pobezinskaya YL, Kim YS, Choksi S, Morgan MJ, Li T, Liu C, Liu Z
Nat. Immunol., 2008-07-20;9(9):1047-54.
Species: Mouse
Sample Types: Cell Lysates
Applications: Western Blot
FAQs
No product specific FAQs exist for this product, however you may
View all Antibody FAQsReviews for Human/Mouse/Rat TRAF-2 Antibody
There are currently no reviews for this product. Be the first to review Human/Mouse/Rat TRAF-2 Antibody and earn rewards!
Have you used Human/Mouse/Rat TRAF-2 Antibody?
Submit a review and receive an Amazon gift card.
$25/€18/£15/$25CAN/¥75 Yuan/¥2500 Yen for a review with an image
$10/€7/£6/$10 CAD/¥70 Yuan/¥1110 Yen for a review without an image
