Human NLRP1/NALP1 Antibody Summary
Gly1331-Leu1429
Accession # Q9C000
Applications
Please Note: Optimal dilutions should be determined by each laboratory for each application. General Protocols are available in the Technical Information section on our website.
Scientific Data
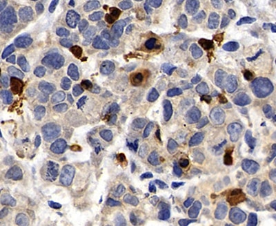
View Larger
NLRP1/NALP1 in Human Stomach Cancer Tissue. NLRP1/NALP1 was detected in immersion fixed paraffin-embedded sections of human stomach cancer tissue using Mouse Anti-Human NLRP1/NALP1 Monoclonal Antibody (Catalog # MAB6788) at 0.5 µg/mL for 1 hour at room temperature followed by incubation with the Anti-Mouse IgG VisUCyte™ HRP Polymer Antibody (Catalog # VC001). Before incubation with the primary antibody, tissue was subjected to heat-induced epitope retrieval using Antigen Retrieval Reagent-Basic (Catalog # CTS013). Tissue was stained using DAB (brown) and counterstained with hematoxylin (blue). Specific staining was localized to nuclei. View our protocol for IHC Staining with VisUCyte HRP Polymer Detection Reagents.
Reconstitution Calculator
Preparation and Storage
- 12 months from date of receipt, -20 to -70 °C as supplied.
- 1 month, 2 to 8 °C under sterile conditions after reconstitution.
- 6 months, -20 to -70 °C under sterile conditions after reconstitution.
Background: NLRP1/NALP1
NALP1 (NAcht, Leucine-rich repeat and PYD domain containing protein 1; also NAC, CARD7, DEFCAP and CLR17.1) is a 160-170 kDa member of the NLRP family of molecules. It is expressed in dendritic cells, neutrophils, T and B cells, alveolar macrophages, permatogonia, neurons, plus intestinal columnar epithelium, and is found in both cytoplasm and nucleus. NALP1 promotes apoptosis plus IL-1 beta and IL-18 maturation by activating caspase-1 and -5. It does so by forming a 700 kDa inflammasome comprised of NALP1, ASC plus caspase-1 and -5. Bacterial wall peptidoglycan binds to NALP1, promoting ATP binding, NALP1 oligomerization, and caspase activation. Human NALP1 is 1473 amino acids (aa) in length. It contains an N-terminal DAPIN domain (aa 1-92), a NACHT domain (aa 328-637), seven consecutive LRRs (aa 704-1236) and one CARD region (aa 1374-1463). Alternate splice forms exist that range in size from 70 kDa-150 kDa. Either individually, or in combination, there can be a 19 aa substitution for either aa 1353-1473 or aa 1368-1472, a deletion of aa 91-260, 958-987 or 1262-1305, and a 43 aa insert after Leu785. Over aa 1-323, human NALP1 shares less that 20% aa identity with mouse NALP1.
Product Datasheets
FAQs
No product specific FAQs exist for this product, however you may
View all Antibody FAQsReviews for Human NLRP1/NALP1 Antibody
Average Rating: 5 (Based on 1 Review)
Have you used Human NLRP1/NALP1 Antibody?
Submit a review and receive an Amazon gift card.
$25/€18/£15/$25CAN/¥75 Yuan/¥2500 Yen for a review with an image
$10/€7/£6/$10 CAD/¥70 Yuan/¥1110 Yen for a review without an image
Filter by:
