Human SDHA Antibody Summary
Accession # P31040
Applications
Please Note: Optimal dilutions should be determined by each laboratory for each application. General Protocols are available in the Technical Information section on our website.
Scientific Data
View Larger
Detection of Human SDHA by Western Blot. Western Blot shows lysates of HepG2 human hepatocellular carcinoma cell line and MCF‑7 human breast cancer cell line. PVDF membrane was probed with 1 µg/ml of Mouse Anti-Human SDHA Monoclonal Antibody (Catalog # MAB11586) followed by HRP-conjugated Anti-Mouse IgG Secondary Antibody (Catalog # HAF018). A specific band was detected for SDHA at approximately 70 kDa (as indicated). This experiment was conducted under reducing conditions and using Western Blot Buffer Group 1.
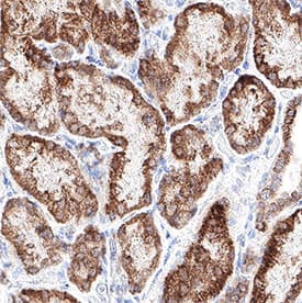
View Larger
Detection of SDHA in Human Kidney. SDHA was detected in immersion fixed paraffin-embedded sections of human kidney using Mouse Anti-Human SDHA Monoclonal Antibody (Catalog # MAB11586) at 5 µg/ml for 1 hour at room temperature followed by incubation with the Anti-Mouse IgG VisUCyte™ HRP Polymer Antibody (Catalog # VC001). Before incubation with the primary antibody, tissue was subjected to heat-induced epitope retrieval using VisUCyte Antigen Retrieval Reagent-Basic (Catalog # VCTS021). Tissue was stained using DAB (brown) and counterstained with hematoxylin (blue). Specific staining was localized to the cytoplasm. View our protocol for IHC Staining with VisUCyte HRP Polymer Detection Reagents.
View Larger
Detection of SDHA in MCF‑7 Human Cell Line. SDHA was detected in immersion fixed MCF‑7 human breast cancer cell line using Mouse Anti-Human SDHA Monoclonal Antibody (Catalog # MAB11586) at 8 µg/ml for 3 hours at room temperature. Cells were stained using the NorthernLights™ 557-conjugated Anti-Mouse IgG Secondary Antibody (red; Catalog # NL007) and counterstained with DAPI (blue). Specific staining was localized to the cytoplasm. View our protocol for Fluorescent ICC Staining of Cells on Coverslips.
View Larger
Detection of Human SDHA by Simple WesternTM. Simple Western shows lysates of HepG2 human hepatocellular carcinoma cell line, loaded at 1 mg/ml. A specific band was detected for SDHA at approximately 63 kDa (as indicated) using 20 µg/mL of Mouse Anti-Human SDHA Monoclonal Antibody (Catalog # MAB11586). This experiment was conducted under reducing conditions and using the 12‑230 kDa separation system.
Reconstitution Calculator
Preparation and Storage
- 12 months from date of receipt, -20 to -70 °C as supplied.
- 1 month, 2 to 8 °C under sterile conditions after reconstitution.
- 6 months, -20 to -70 °C under sterile conditions after reconstitution.
Background: SDHA
SDHA is 73 kDa protein located on the inner membrane of the mitochondria which participates in both the citric acid cycle and the respiratory chain. SDHA is one subunit of the SDH complex, which contains 4 total subunits, that are encoded by nuclear genes. All the SDH genes are involved in the tumorigenesis of different types of cancers. Germline SDHA mutations are a driver for multiple types of cancers.
- Horsefield R, Yankovskaya V, Sexton G, Whittingham W, Shiomi K, Omura S, Byrne B, Cecchini G, Iwata S. Structural and computational analysis of the quinone-binding site of complex II (succinate-ubiquinone oxidoreductase): a mechanism of electron transfer and proton conduction during ubiquinone reduction. J Biol Chem. 2006 Mar 17;281(11):7309-16. doi: 10.1074/jbc.M508173200. Epub 2005 Dec 27. PMID: 16407191.
- Schipani A, Nannini M, Astolfi A, Pantaleo MA. SDHA Germline Mutations in SDH-Deficient GISTs: A Current Update. Genes (Basel). 2023 Mar 4;14(3):646. doi: 10.3390/genes14030646. PMID: 36980917; PMCID: PMC10048394.
- Dubard Gault M, Mandelker D, DeLair D, Stewart CR, Kemel Y, Sheehan MR, Siegel B, Kennedy J, Marcell V, Arnold A, Al-Ahmadie H, Modak S, Robson M, Shukla N, Roberts S, Vijai J, Topka S, Kentsis A, Cadoo K, Carlo M, Latham Schwark A, Reznik E, Dinatale R, Hechtman J, Borras Flores E, Jairam S, Yang C, Li Y, Bayraktar EC, Ceyhan-Birsoy O, Zhang L, Kohlman W, Schiffman J, Stadler Z, Birsoy K, Kung A, Offit K, Walsh MF. Germline SDHA mutations in children and adults with cancer. Cold Spring Harb Mol Case Stud. 2018 Aug 1;4(4):a002584. doi: 10.1101/mcs.a002584. PMID: 30068732; PMCID: PMC6071569.
Product Datasheets
FAQs
No product specific FAQs exist for this product, however you may
View all Antibody FAQsReviews for Human SDHA Antibody
There are currently no reviews for this product. Be the first to review Human SDHA Antibody and earn rewards!
Have you used Human SDHA Antibody?
Submit a review and receive an Amazon gift card.
$25/€18/£15/$25CAN/¥75 Yuan/¥2500 Yen for a review with an image
$10/€7/£6/$10 CAD/¥70 Yuan/¥1110 Yen for a review without an image
