Human Annexin V Antibody Summary
Met1-Asp320
Accession # P08758
Applications
Please Note: Optimal dilutions should be determined by each laboratory for each application. General Protocols are available in the Technical Information section on our website.
Scientific Data
View Larger
Detection of Human Annexin V by Western Blot. Western blot shows lysates of HepG2 human hepatocellular carcinoma cell line. PVDF membrane was probed with 0.25 µg/mL of Mouse Anti-Human Annexin V Monoclonal Antibody (Catalog # MAB3991) followed by HRP-conjugated Anti-Mouse IgG Secondary Antibody (Catalog # HAF018). A specific band was detected for Annexin V at approximately 32 kDa (as indicated). This experiment was conducted under reducing conditions and using Immunoblot Buffer Group 1.
View Larger
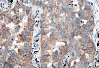
Annexin V in Human Placenta. Annexin V was detected in immersion fixed paraffin-embedded sections of human placenta using Mouse Anti-Human Annexin V Monoclonal Antibody (Catalog # MAB3991) at 5 µg/mL for 1 hour at room temperature followed by incubation with the Anti-Mouse IgG VisUCyte™ HRP Polymer Antibody (Catalog # VC001). Tissue was stained using DAB (brown) and counterstained with hematoxylin (blue). Specific staining was localized to syncytiotrophoblasts. View our protocol for IHC Staining with VisUCyte HRP Polymer Detection Reagents.
View Larger
Detection of Human Annexin V by Simple WesternTM. Simple Western lane view shows lysates of human lung tissue, loaded at 0.2 mg/mL. A specific band was detected for Annexin V at approximately 39 kDa (as indicated) using 2.5 µg/mL of Mouse Anti-Human Annexin V Monoclonal Antibody (Catalog # MAB3991). This experiment was conducted under reducing conditions and using the 12-230 kDa separation system.
View Larger
Detection of Human Annexin V by Simple WesternTM. Simple Western lane view shows lysates of A549 human lung carcinoma cell line exosomes, HT‑29 human colon adenocarcinoma cell line exosomes, and COLO 205 human colorectal adenocarcinoma cell line whole cell lysate (WCL), loaded at 0.2 mg/mL. A specific band was detected for Annexin V at approximately 38 kDa (as indicated) using 50 µg/mL of Mouse Anti-Human Annexin V Monoclonal Antibody (Catalog # MAB3991). This experiment was conducted under reducing conditions and using the 12-230 kDa separation system.
View Larger
Western Blot Shows Human Annexin V Specificity by Using Knockout Cell Line. Western blot shows lysates of HEK293T human embryonic kidney parental cell line and Annexin V knockout HEK293T cell line (KO). PVDF membrane was probed with 0.25 µg/mL of Mouse Anti-Human Annexin V Monoclonal Antibody (Catalog # MAB3991) followed by HRP-conjugated Anti-Mouse IgG Secondary Antibody (Catalog # HAF018). A specific band was detected for Annexin V at approximately 32 kDa (as indicated) in the parental HEK293T cell line, but is not detectable in knockout HEK293T cell line. GAPDH (Catalog # MAB5718) is shown as a loading control. This experiment was conducted under reducing conditions and using Immunoblot Buffer Group 1.
View Larger
Detection of Annexin V by Western Blot Extracellular vesicle secretion induced by Sorafenib and their miRNA content. (A) Particle size and concentration analysis of Large, Small, and Very Small EVs obtained at 6 and 24 h. (B) Expression of EV markers and cellular contaminants in Large, Small, and Very Small EVs and cell lysates obtained at 24 h after Sorafenib treatment. Total lane protein content was used as the loading control. (C) Representative images of cryo-EM of Small and Very Small EVs obtained at 6 and 24 h from the control and Sorafenib-treated cells. (D) Assessment of EV size (nm) in the cryo-EM images. (E) Number of EVs quantified in the cryo-EM images. (F) miRNA expression in the three fractions of EVs at 6 h. (G) miRNA expression in the three fractions of EVs at 24 h. Fold-change values were calculated between Sorafenib and the control treated samples. Results are expressed as the mean ± SEM of six independent experiments. Ns, non-significant; * p ≤0.05, ** p ≤ 0.01, *** p ≤ 0.001, and **** p ≤ 0.0001 between the miRNA expression in the control and Sorafenib derived EVs. Multiple comparison test statistics are expressed with lower case a–i. Image collected and cropped by CiteAb from the following open publication (https://pubmed.ncbi.nlm.nih.gov/36078082), licensed under a CC-BY license. Not internally tested by R&D Systems.
View Larger
Detection of Annexin V by Western Blot Extracellular vesicle secretion induced by Sorafenib and their miRNA content. (A) Particle size and concentration analysis of Large, Small, and Very Small EVs obtained at 6 and 24 h. (B) Expression of EV markers and cellular contaminants in Large, Small, and Very Small EVs and cell lysates obtained at 24 h after Sorafenib treatment. Total lane protein content was used as the loading control. (C) Representative images of cryo-EM of Small and Very Small EVs obtained at 6 and 24 h from the control and Sorafenib-treated cells. (D) Assessment of EV size (nm) in the cryo-EM images. (E) Number of EVs quantified in the cryo-EM images. (F) miRNA expression in the three fractions of EVs at 6 h. (G) miRNA expression in the three fractions of EVs at 24 h. Fold-change values were calculated between Sorafenib and the control treated samples. Results are expressed as the mean ± SEM of six independent experiments. Ns, non-significant; * p ≤0.05, ** p ≤ 0.01, *** p ≤ 0.001, and **** p ≤ 0.0001 between the miRNA expression in the control and Sorafenib derived EVs. Multiple comparison test statistics are expressed with lower case a–i. Image collected and cropped by CiteAb from the following open publication (https://pubmed.ncbi.nlm.nih.gov/36078082), licensed under a CC-BY license. Not internally tested by R&D Systems.
Reconstitution Calculator
Preparation and Storage
- 12 months from date of receipt, -20 to -70 °C as supplied.
- 1 month, 2 to 8 °C under sterile conditions after reconstitution.
- 6 months, -20 to -70 °C under sterile conditions after reconstitution.
Background: Annexin V
Annexin V is a member of a calcium and phospholipid binding family of proteins with vascular anticoagulant activity. It is also known as PP4, PAP I, CPB-I, CaBP33, VACa, anchorin CII, lipocortin-V, endonexin II, and thromboplastin inhibitor.
Product Datasheets
Citation for Human Annexin V Antibody
R&D Systems personnel manually curate a database that contains references using R&D Systems products. The data collected includes not only links to publications in PubMed, but also provides information about sample types, species, and experimental conditions.
1 Citation: Showing 1 - 1
-
A ubiquitin-specific, proximity-based labeling approach for the identification of ubiquitin ligase substrates
Authors: Mukhopadhyay, U;Levantovsky, S;Carusone, TM;Gharbi, S;Stein, F;Behrends, C;Bhogaraju, S;
Science advances
Species: Human
Sample Types: Cell Lysates
Applications: Western Blot
FAQs
No product specific FAQs exist for this product, however you may
View all Antibody FAQsReviews for Human Annexin V Antibody
Average Rating: 5 (Based on 1 Review)
Have you used Human Annexin V Antibody?
Submit a review and receive an Amazon gift card.
$25/€18/£15/$25CAN/¥75 Yuan/¥2500 Yen for a review with an image
$10/€7/£6/$10 CAD/¥70 Yuan/¥1110 Yen for a review without an image
Filter by:
