Human CD57 Antibody Summary
Accession # Q9P2W7
Applications
Please Note: Optimal dilutions should be determined by each laboratory for each application. General Protocols are available in the Technical Information section on our website.
Scientific Data
View Larger
Detection of CD57 in PBMC by Flow Cytometry PBMC were stained with Rabbit Anti-Human NCAM‑1/CD56 PE‑conjugated Monoclonal Antibody (Catalog # FAB24086P) and either (A) Mouse Anti-Human CD57 Monoclonal Antibody (Catalog # MAB11708) or (B) isotype control antibody (Catalog # MAB002) followed by Allophycocyanin-conjugated Anti-Mouse IgG Secondary Antibody (Catalog # F0101B). View our protocol for Staining Membrane-associated Proteins.
View Larger
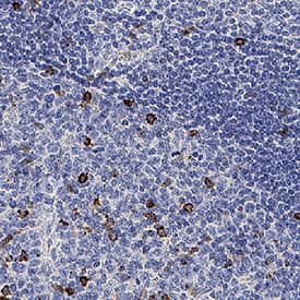
Detection of CD57 in Human Lymph Node. CD57 was detected in immersion fixed paraffin-embedded sections of human lymph node using Mouse Anti-Human CD57 Monoclonal Antibody (Catalog # MAB11708) at 1 µg/ml for 1 hour at room temperature followed by incubation with the Anti-Mouse IgG VisUCyte™ HRP Polymer Antibody (Catalog # VC001) or the HRP-conjugated Anti-Mouse IgG Secondary Antibody (Catalog # HAF007). Before incubation with the primary antibody, tissue was subjected to heat-induced epitope retrieval using VisUCyte Antigen Retrieval Reagent-Basic (Catalog # VCTS021). Tissue was stained using DAB (brown) and counterstained with hematoxylin (blue). Specific staining was localized to the cell surface. View our protocol for IHC Staining with VisUCyte HRP Polymer Detection Reagents.
View Larger
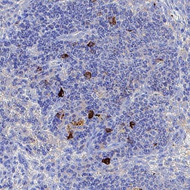
Detection of CD57 in Human Spleen. CD57 was detected in immersion fixed paraffin-embedded sections of human spleen using Mouse Anti-Human CD57 Monoclonal Antibody (Catalog # MAB11708) at 1 µg/ml for 1 hour at room temperature followed by incubation with the Anti-Mouse IgG VisUCyte™ HRP Polymer Antibody (Catalog # VC001) or the HRP-conjugated Anti-Mouse IgG Secondary Antibody (Catalog # HAF007). Before incubation with the primary antibody, tissue was subjected to heat-induced epitope retrieval using VisUCyte Antigen Retrieval Reagent-Basic (Catalog # VCTS021). Tissue was stained using DAB (brown) and counterstained with hematoxylin (blue). Specific staining was localized to the cell surface. View our protocol for IHC Staining with VisUCyte HRP Polymer Detection Reagents.
View Larger
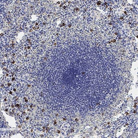
Detection of CD57 in Human Tonsil. CD57 was detected in immersion fixed paraffin-embedded sections of human tonsil using Mouse Anti-Human CD57 Monoclonal Antibody (Catalog # MAB11708) at 1 µg/ml for 1 hour at room temperature followed by incubation with the Anti-Mouse IgG VisUCyte™ HRP Polymer Antibody (Catalog # VC001) or the HRP-conjugated Anti-Mouse IgG Secondary Antibody (Catalog # HAF007). Before incubation with the primary antibody, tissue was subjected to heat-induced epitope retrieval using VisUCyte Antigen Retrieval Reagent-Basic (Catalog # VCTS021). Tissue was stained using DAB (brown) and counterstained with hematoxylin (blue). Specific staining was localized to the cell surface. View our protocol for IHC Staining with VisUCyte HRP Polymer Detection Reagents.
Reconstitution Calculator
Preparation and Storage
- 12 months from date of receipt, -20 to -70 °C as supplied.
- 1 month, 2 to 8 °C under sterile conditions after reconstitution.
- 6 months, -20 to -70 °C under sterile conditions after reconstitution.
Background: CD57
CD57 is a glycoprotein with a molecular weight of approximately 100 kDa, classified within the group of adhesion molecules. It plays a significant role in immune regulation and cellular interactions, particularly influencing the functioning of natural killer (NK) cells and certain T-cells. CD57 is heavily involved in the biological processes of cytotoxic activity and immune response modulation. Altered levels of CD57 expression have been associated with several pathological conditions, including chronic infections, autoimmune diseases, and various malignancies. Crucially, CD57 serves as a key biomarker for immune senescence and the monitoring of NK cell and T-cell activities in diseases such as HIV and cancer.
Product Datasheets
FAQs
No product specific FAQs exist for this product, however you may
View all Antibody FAQsReviews for Human CD57 Antibody
There are currently no reviews for this product. Be the first to review Human CD57 Antibody and earn rewards!
Have you used Human CD57 Antibody?
Submit a review and receive an Amazon gift card.
$25/€18/£15/$25CAN/¥75 Yuan/¥2500 Yen for a review with an image
$10/€7/£6/$10 CAD/¥70 Yuan/¥1110 Yen for a review without an image
