Human HNF-3 beta /FoxA2 Antibody Summary
Met242-Ser457
Accession # Q9Y261
Applications
Please Note: Optimal dilutions should be determined by each laboratory for each application. General Protocols are available in the Technical Information section on our website.
Scientific Data
View Larger
Detection of HNF‑3 beta /FoxA2-regulated Genes by Chromatin Immunoprecipitation. Mouse splenocytes were fixed using formaldehyde, resuspended in lysis buffer, and sonicated to shear chromatin. HNF-3 beta /FoxA2/DNA complexes were immunoprecipitated using 5 µg Goat Anti-Human HNF-3 beta /FoxA2 Antigen Affinity-purified Polyclonal Antibody (Catalog # AF2400) or control antibody (AB-108-C) for 15 minutes in an ultrasonic bath, followed by Biotinylated Anti-Goat IgG Secondary Antibody (BAF109). Immunocomplexes were captured using 50 µL of MagCellect Streptavidin Ferrofluid (MAG999) and DNA was purified using chelating resin solution. TheE-RABPpromoter was detected by standard PCR.
View Larger
HNF‑3 beta /FoxA2 in Endoderm Differentiated BG01V Human Stem Cells. HNF-3 beta /FoxA2 was detected in immersion fixed endoderm differentiated BG01V human embryonic stem cells using 10 µg/mL Goat Anti-Human HNF-3 beta /FoxA2 Antigen Affinity-purified Polyclonal Antibody (Catalog # AF2400) for 3 hours at room temperature. Cells were stained with the NorthernLights™ 557-conjugated Anti-Goat IgG Secondary Antibody (red; NL001) and counterstained with DAPI (blue). View our protocol for Fluorescent ICC Staining of Cells on Coverslips.
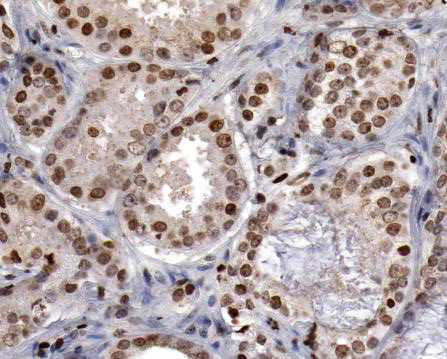
View Larger
HNF‑3 beta /FoxA2 in Human Liver. HNF-3 beta /FoxA2 was detected in immersion fixed paraffin-embedded sections of human liver using Goat Anti-Human HNF-3 beta /FoxA2 Antigen Affinity-purified Polyclonal Antibody (Catalog # AF2400) at 3 µg/mL for 1 hour at room temperature followed by incubation with the Anti-Goat IgG VisUCyte™ HRP Polymer Antibody (VC004). Before incubation with the primary antibody, tissue was subjected to heat-induced epitope retrieval using Antigen Retrieval Reagent-Basic (CTS013). Tissue was stained using DAB (brown) and counterstained with hematoxylin (blue). Specific staining was localized to cytoplasm and nuclei. View our protocol for IHC Staining with VisUCyte HRP Polymer Detection Reagents.
View Larger
Detection of HNF‑3 beta /FoxA2 in HepG2 Cells (Positive) and THP‑1 Cells (Negative). HNF‑3 beta /FoxA2 was detected in immersion fixed HepG2 Human Hepatocellular Carcinoma Cells (Positive) and absent in THP‑1 Human Acute Monocytic Leukemia Cells (Negative) using Goat Anti-Human HNF‑3 beta /FoxA2 Antigen Affinity-purified Polyclonal Antibody (Catalog # AF2400) at 5 µg/mL for 3 hours at room temperature. Cells were stained using the NorthernLights™ 557-conjugated Anti-Goat IgG Secondary Antibody (red; Catalog # NL001) and counterstained with DAPI (blue). Specific staining was localized to cell nuclei. View our protocol for Fluorescent ICC Staining of Cells on Coverslips.
View Larger
Detection of Human HNF‑3 beta /FoxA2 by Western Blot. Western blot shows lysates of HepG2 human hepatocellular carcinoma cells. PVDF membrane was probed with 1 µg/mL of Goat Anti-Human HNF‑3 beta /FoxA2 Antigen Affinity-purified Polyclonal Antibody (Catalog # AF2400) followed by HRP-conjugated Anti-Goat IgG Secondary Antibody (Catalog # HAF017). A specific band was detected for HNF‑3 beta /FoxA2 at approximately 50 kDa (as indicated). This experiment was conducted under reducing conditions and using Western Blot Buffer Group 1.
View Larger
Detection of Human HNF-3 beta/FoxA2 by Immunocytochemistry/Immunofluorescence Differentiation of hESCs into definitive endoderm cells by Activin A with CHIR99021.a The relative primitive streak (BRACHYRUY, MESP1, and MIXL1) gene expression of the day 1 differentiated cells by adding Activin A (100 ng/mL) with CHIR99021 (2–5 µM) or Wnt3a (25–100 ng/mL) treatments were determined by real-time quantitative PCR (qPCR). None, no WNT signaling pathway activators were used on day 1 for PS differentiation (Activin A only). b, c After 1 day, the medium was changed to Activin A (100 ng/mL) and 1 × CTS-B27 to induce DE differentiation. The definitive endoderm (FOXA2 and SOX17) and mesoderm (MESP2 and HAND1) relative gene expression levels were determined by qPCR. d Immunofluorescence analysis of the expression of SOX17 and FoxA2 for Activin A with 2 µM CHIR99021-induced differentiated cells on day 3. e, f The expression of SOX17 and FoxA2 for Activin A with 2 µM CHIR99021-induced differentiated cells was determined by flow cytometry on day 3. Isotype control antibodies were used as controls. At a specific gene expression, datum points lacking common letters differ, p < 0.05. Data are represented as the mean ± SD. Scale bar, 100 µm Image collected and cropped by CiteAb from the following publication (https://pubmed.ncbi.nlm.nih.gov/31601782), licensed under a CC-BY license. Not internally tested by R&D Systems.
View Larger
Immunofluorescent Staining of Adult Stem Cell-derived Liver Organoids. Adult stem cell-derived liver organoids were generated following the steps detailed in the human liver organoid culture protocol. Differentiated human liver organoids were stained using a (A) Mouse Anti-Human Serum Albumin Monoclonal Antibody (Catalog # MAB1455; red) and a (B) Goat Anti-Human HNF-3beta Antigen Affinity-purified Polyclonal Antibody (Catalog # AF2400; red) and counterstained with DAPI (Catalog # 5748; blue).
View Larger
Detection of HNF-3 beta /FoxA2 by Flow Cytometry FOXA2 drives the p3-specific chromatin accessibility program(A) Footprinting score for the FOX motif is highest in p3 samples.(B) Foxa2 expression in p3 NPs suggests it is the most likely candidate to drive the footprinting signal.(C) Average ATAC-seq accessibility at FOXA2 ChIP-seq peaks13 in the indicated samples shows these regions are highly accessible in p3 NPs.(D) Normalized FOXA2 ChIP-seq coverage showing accessibility in p3-specific elements from the groups of ATAC-seq elements in the indicated clusters from Figure 3B.(E) Genetic lineage tracing indicates that cells that expressed Foxa2 at E8.5 (tamoxifen administration) have contributed to the p3 progenitor and V3 neuronal cell types by E11.5 (red arrows).(F) Quantifications of p3 and V3 cells expressing tdTomato in embryos collected after tamoxifen administration at the indicated times. Biological replicates: n = 2 for E7.5, n = 4 for E8.5, n = 3 for E9.5.(G) Foxa2−/− ES cells fail to generate p3 NPs when exposed to 500 nM SAG.(H) Representative flow cytometry plots of the quantifications in (G) showing a marked reduction in p3 NPs from Foxa2−/− ES cells compared with wild type. Cells are gated for SOX2+ live neural progenitors.(I) Representative immunohistochemistry staining for SOX2, OLIG2 and NKX2,2 showing reduced number of cells expressing NKX2.2 in Foxa2−/− mutant cells at day 6 of differentiation treated with 500 nM SAG.Scale bars, 50 μm.See also Figure S4. Image collected and cropped by CiteAb from the following open publication (https://pubmed.ncbi.nlm.nih.gov/36516856), licensed under a CC-BY license. Not internally tested by R&D Systems.
View Larger
Detection of HNF-3 beta /FoxA2 by Immunocytochemistry/ Immunofluorescence Expression profiles and functional enrichments of marker genes across time points identified during hESC differentiation. A. UMAP visualization of the expression of well-defined marker genes of different stages in hESC differentiation. B. The representative immunofluorescence staining for definitive endoderm cells with antibodies against SOX17 and FOXA2. DAPI serves as a nucleus indicator. The individual color channels were merged to assess the colocalization of SOX17 an FOXA2 expression in the nuclei. Scale bars, 200 μm. C. Dot plot showing the average and percentage expression of well-defined marker genes in different stages or cell types. Genes are colored according to their mean expression level. Diameter denotes fractional expression. SC-alpha, SC-beta, and SC-EC represent stem-cell-derived alpha, beta, and enterochromaffin cells, respectively. D. Heatmap showing the expression of the top ten marker genes of each time point. lncRNA genes are indicated by arrows. E. Enriched GO terms of marker genes of each time point. F. UMAP visualization of the expression of genes related to endoderm formation. G. Violin plots showing the expression of lncRNA genes that listed in the top 10 marker genes of each time point Image collected and cropped by CiteAb from the following open publication (https://pubmed.ncbi.nlm.nih.gov/36907881), licensed under a CC-BY license. Not internally tested by R&D Systems.
View Larger
Detection of HNF-3 beta /FoxA2 by Immunocytochemistry/ Immunofluorescence Expression profiles and functional enrichments of marker genes across time points identified during hESC differentiation. A. UMAP visualization of the expression of well-defined marker genes of different stages in hESC differentiation. B. The representative immunofluorescence staining for definitive endoderm cells with antibodies against SOX17 and FOXA2. DAPI serves as a nucleus indicator. The individual color channels were merged to assess the colocalization of SOX17 an FOXA2 expression in the nuclei. Scale bars, 200 μm. C. Dot plot showing the average and percentage expression of well-defined marker genes in different stages or cell types. Genes are colored according to their mean expression level. Diameter denotes fractional expression. SC-alpha, SC-beta, and SC-EC represent stem-cell-derived alpha, beta, and enterochromaffin cells, respectively. D. Heatmap showing the expression of the top ten marker genes of each time point. lncRNA genes are indicated by arrows. E. Enriched GO terms of marker genes of each time point. F. UMAP visualization of the expression of genes related to endoderm formation. G. Violin plots showing the expression of lncRNA genes that listed in the top 10 marker genes of each time point Image collected and cropped by CiteAb from the following open publication (https://pubmed.ncbi.nlm.nih.gov/36907881), licensed under a CC-BY license. Not internally tested by R&D Systems.
View Larger
Detection of HNF-3 beta /FoxA2 by Flow Cytometry FOXA2 drives the p3-specific chromatin accessibility program(A) Footprinting score for the FOX motif is highest in p3 samples.(B) Foxa2 expression in p3 NPs suggests it is the most likely candidate to drive the footprinting signal.(C) Average ATAC-seq accessibility at FOXA2 ChIP-seq peaks13 in the indicated samples shows these regions are highly accessible in p3 NPs.(D) Normalized FOXA2 ChIP-seq coverage showing accessibility in p3-specific elements from the groups of ATAC-seq elements in the indicated clusters from Figure 3B.(E) Genetic lineage tracing indicates that cells that expressed Foxa2 at E8.5 (tamoxifen administration) have contributed to the p3 progenitor and V3 neuronal cell types by E11.5 (red arrows).(F) Quantifications of p3 and V3 cells expressing tdTomato in embryos collected after tamoxifen administration at the indicated times. Biological replicates: n = 2 for E7.5, n = 4 for E8.5, n = 3 for E9.5.(G) Foxa2−/− ES cells fail to generate p3 NPs when exposed to 500 nM SAG.(H) Representative flow cytometry plots of the quantifications in (G) showing a marked reduction in p3 NPs from Foxa2−/− ES cells compared with wild type. Cells are gated for SOX2+ live neural progenitors.(I) Representative immunohistochemistry staining for SOX2, OLIG2 and NKX2,2 showing reduced number of cells expressing NKX2.2 in Foxa2−/− mutant cells at day 6 of differentiation treated with 500 nM SAG.Scale bars, 50 μm.See also Figure S4. Image collected and cropped by CiteAb from the following open publication (https://pubmed.ncbi.nlm.nih.gov/36516856), licensed under a CC-BY license. Not internally tested by R&D Systems.
Reconstitution Calculator
Preparation and Storage
- 12 months from date of receipt, -20 to -70 °C as supplied.
- 1 month, 2 to 8 °C under sterile conditions after reconstitution.
- 6 months, -20 to -70 °C under sterile conditions after reconstitution.
Background: HNF-3 beta/FoxA2
HNF-3 beta, also known as FoxA2, is a member of the forkhead class of DNA-binding proteins. It is a transcriptional activator for liver-specific transcripts such as albumin and transthyretin. Similar family members play roles in the differentiation of the pancreas and liver.
Product Datasheets
Citations for Human HNF-3 beta /FoxA2 Antibody
R&D Systems personnel manually curate a database that contains references using R&D Systems products. The data collected includes not only links to publications in PubMed, but also provides information about sample types, species, and experimental conditions.
104
Citations: Showing 1 - 10
Filter your results:
Filter by:
-
Differential regulation of alternate promoter regions in Sox17 during endodermal and vascular endothelial development
Authors: Trinh LT, Osipovich AB, Sampson L et al.
iScience
-
Phase I/II trial of iPS-cell-derived dopaminergic cells for Parkinson's disease
Authors: Sawamoto, N;Doi, D;Nakanishi, E;Sawamura, M;Kikuchi, T;Yamakado, H;Taruno, Y;Shima, A;Fushimi, Y;Okada, T;Kikuchi, T;Morizane, A;Hiramatsu, S;Anazawa, T;Shindo, T;Ueno, K;Morita, S;Arakawa, Y;Nakamoto, Y;Miyamoto, S;Takahashi, R;Takahashi, J;
Nature
Species: Rat
Sample Types: Whole Tissue
Applications: Immunohistochemistry -
Enhanced yield and subtype identity of hPSC-derived midbrain dopamine neuron by modulation of WNT and FGF18 signaling
Authors: Kim, TW;Piao, J;Bocchi, VD;Koo, SY;Choi, SJ;Chaudhry, F;Yang, D;Cho, HS;Hergenreder, E;Perera, LR;Joshi, S;Mrad, ZA;Claros, N;Donohue, SA;Frank, AK;Walsh, R;Mosharov, EV;Betel, D;Tabar, V;Studer, L;
bioRxiv : the preprint server for biology
Species: Human, Xenograft
Sample Types: Whole Cells, Whole Tissue
Applications: Flow Cytometry, Immunohistochemistry, Immunocytochemistry -
Generation and characterization of novel induced pluripotent stem cell (iPSC) lines derived from three symptomatic carriers of a pathogenic MYH11 variant and two non-carrier relatives
Authors: Atash, A;Cramer, MJ;Mees, B;Doevendans, PA;Sluijter, JPG;Stillitano, F;
Stem cell research
Species: Human
Sample Types: Whole Cells
Applications: Immunocytochemistry -
ASCL1 regulates and cooperates with FOXA2 to drive terminal neuroendocrine phenotype in prostate cancer
Authors: Nouruzi, S;Namekawa, T;Tabrizian, N;Kobelev, M;Sivak, O;Scurll, JM;Cui, CJ;Ganguli, D;Zoubeidi, A;
JCI insight
Species: Human
Sample Types: Cell Lysates
Applications: Chromatin Immunoprecipitation -
Generation of the CTRL EiPS J9 mR6F-8 iPSC line derived from healthy human outgrowth blood endothelial cells (BOECs) using mRNA reprogramming methodology
Authors: Selvitella, S;Franco, MP;Aran, B;Veiga, A;Kuebler, B;
Stem cell research
Species: Human
Sample Types: Whole Cells
Applications: Flow Cytometry, Immunocytochemistry -
Naive pluripotent stem cell-based models capture FGF-dependent human hypoblast lineage specification
Authors: Dattani, A;Corujo-Simon, E;Radley, A;Heydari, T;Taheriabkenar, Y;Carlisle, F;Lin, S;Liddle, C;Mill, J;Zandstra, PW;Nichols, J;Guo, G;
Cell stem cell
Species: Human
Sample Types: Embryo
Applications: Immunohistochemistry -
One-step cell biomanufacturing platform: porous gelatin microcarrier beads promote human embryonic stem cell-derived midbrain dopaminergic progenitor cell differentiation in vitro and survival after transplantation in vivo
Authors: Lin Feng, Da Li, Yao Tian, Chengshun Zhao, Yun Sun, Xiaolong Kou et al.
Neural Regeneration Research
-
Generation of two hiPSCs lines of two patients carrying truncating mutations in the dimerization domain of filamin C
Authors: Daya, NM;Döring, K;Zhuge, H;Volke, L;Stab, V;Dietz, J;Athamneh, M;Roos, A;Zaehres, H;Güttsches, AK;Mavrommatis, L;Vorgerd, M;
Stem cell research
Species: Human
Sample Types: Whole Cells
Applications: Flow Cytometry, Immunocytochemistry -
Secretome Analyses Identify FKBP4 as a GBA1-Associated Protein in CSF and iPS Cells from Parkinson's Disease Patients with GBA1 Mutations
Authors: Kojima, R;Paslawski, W;Lyu, G;Arenas, E;Zhang, X;Svenningsson, P;
International journal of molecular sciences
Species: Human
Sample Types: Whole Cells
Applications: Immunocytochemistry -
Enhanced production of mesencephalic dopaminergic neurons from lineage-restricted human undifferentiated stem cells
Authors: Maimaitili, M;Chen, M;Febbraro, F;Ucuncu, E;Kelly, R;Niclis, JC;Christiansen, JR;Mermet-Joret, N;Niculescu, D;Lauritsen, J;Iannielli, A;Klæstrup, IH;Jensen, UB;Qvist, P;Nabavi, S;Broccoli, V;Nykjær, A;Romero-Ramos, M;Denham, M;
Nature communications
Species: Human, Xenograft
Sample Types: Whole Cells, Whole Tissue
Applications: Immunohistochemistry, Immunocytochemistry -
In depth characterization of midbrain organoids derived from wild type iPSC lines
Authors: Pavlinov, I;Tambe, M;Abbott, J;Nguyen, HN;Xu, M;Pradhan, M;Farkhondeh, A;Zheng, W;
PloS one
Species: Human
Sample Types: Organoids
-
Generation of two human iPSC lines (HIMRi002-A and HIMRi003-A) derived from Caveolinopathy patients with rippling muscle disease
Authors: Boeing, A;Mavrommatis, L;Daya, NM;Zhuge, H;Volke, L;Kocabas, A;Kneifel, M;Athamneh, M;Krause, K;Südkamp, N;Döring, K;Theiss, C;Roos, A;Zaehres, H;Güttsches, AK;Vorgerd, M;
Stem cell research
Species: Human
Sample Types: Whole Cells
Applications: ICC -
Generation and characterization of novel human induced pluripotent stem cell (iPSC) lines originating from five asymptomatic individuals carrying the PLN-R14del pathogenic variant and a non-carrier relative
Authors: Balducci, V;Scardigli, F;Harakalova, M;Peter van Tintelen, J;Doevendans, PA;Costa, KD;Turnbull, IC;P G Sluijter, J;Stillitano, F;
Stem cell research
Species: Human
Sample Types: Whole Cells
Applications: ICC -
Truncated vitronectin with E-cadherin enables the xeno-free derivation of human embryonic stem cells
Authors: Souralova, T;Hulinova, D;Jeseta, M;Ventruba, P;Hampl, A;Koutna, I;
Scientific reports
Species: Human
Sample Types: Whole Cells
Applications: Immunocytochemistry -
A protocol for the differentiation of human embryonic stem cells into midbrain dopaminergic neurons
Authors: Kaneyasu Nishimura, Emilía Sif Ásgrímsdóttir, Shanzheng Yang, Ernest Arenas
STAR Protocols
-
Protocol for generating reproducible miniaturized controlled midbrain organoids
Authors: Muwan Chen, Jonathan Christos Niclis, Mark Denham
STAR Protocols
-
Generation of an induced pluripotent stem cell line (ESi107-A) from a transthyretin amyloid cardiomyopathy (ATTR-CM) patient carrying a p.Ser43Asn mutation in the TTR gene
Authors: Montero-Calle, P;Flandes-Iparraguirre, M;Kuebler, B;Arán, B;Larequi, E;Anaut, I;Coppiello, G;Aranguren, XL;Veiga, A;Elorz, MTB;de Yébenes, MG;Gavira, JJ;Prósper, F;Iglesias-García, O;Vega, MMM;
Stem cell research
Species: Human
Sample Types: Whole Cells
Applications: ICC -
Expression and role of nicotinic acetylcholine receptors during midbrain dopaminergic neuron differentiation from human induced pluripotent stem cells
Authors: Takeshi Kato, Kaneyasu Nishimura, Masahiro Hirao, Shun Shimohama, Kazuyuki Takata
Neuropsychopharmacology Reports
-
Post-translational proteomics platform identifies neurite outgrowth impairments in Parkinson's disease GBA-N370S dopamine neurons
Authors: H Bogetofte, BJ Ryan, P Jensen, SI Schmidt, DLE Vergoossen, MB Barnkob, LN Kiani, U Chughtai, R Heon-Rober, MC Caiazza, W McGuinness, R Márquez-Gó, J Vowles, FS Bunn, J Brandes, P Kilfeather, JP Connor, HJR Fernandes, TM Caffrey, M Meyer, SA Cowley, MR Larsen, R Wade-Marti
Cell Reports, 2023-03-03;42(3):112180.
Species: Human
Sample Types: Whole Cells
Applications: ICC -
CRISPR/Cas9-mediated generation of hESC lines with homozygote and heterozygote p.R331W mutation in CTBP1 to model HADDTS syndrome
Authors: EY Akda?, S Turan, D Guhathakur, A Ekici, S Salar, DC Lie, B Winner, A Fejtova
Stem Cell Research, 2022-12-30;67(0):103012.
Species: Human
Sample Types: Whole Cells
Applications: Flow Cytometry, ICC -
Generation of human elongating multi-lineage organized cardiac gastruloids
Authors: Zachary T. Olmsted, Maria Belen Paredes-Espinosa, Janet L. Paluh
STAR Protocols
-
Generation of an induced pluripotent stem cell line (IPCASi001-A) from an autism spectrum disorder individual without intellectual disability
Authors: L Yang, S Lu, Z Yang, J Yao, P Zhou, M Zhao
Stem Cell Research, 2022-12-05;66(0):102994.
Species: Human
Sample Types: Whole Cells
Applications: ICC -
A reference human induced pluripotent stem cell line for large-scale collaborative studies
Authors: CB Pantazis, A Yang, E Lara, JA McDonough, C Blauwendra, L Peng, H Oguro, J Kanaujiya, J Zou, D Sebesta, G Pratt, E Cross, J Blockwick, P Buxton, L Kinner-Bib, C Medura, C Tompkins, S Hughes, M Santiana, F Faghri, MA Nalls, D Vitale, S Ballard, YA Qi, DM Ramos, KM Anderson, J Stadler, P Narayan, J Papademetr, L Reilly, MP Nelson, S Aggarwal, LU Rosen, P Kirwan, V Pisupati, SL Coon, SW Scholz, T Priebe, M Öttl, J Dong, M Meijer, LJM Janssen, VS Lourenco, R van der Ka, D Crusius, D Paquet, AC Raulin, G Bu, A Held, BJ Wainger, RMC Gabriele, JM Casey, S Wray, D Abu-Bonsra, CL Parish, MS Beccari, DW Cleveland, E Li, IVL Rose, M Kampmann, C Calatayud, P Verstreken, L Heinrich, MY Chen, B Schüle, D Dou, ELF Holzbaur, MC Zanellati, R Basundra, M Deshmukh, S Cohen, R Khanna, M Raman, ZS Nevin, M Matia, J Van Lent, V Timmerman, BR Conklin, K Johnson Ch, K Zhang, S Funes, DA Bosco, L Erlebach, M Welzer, D Kronenberg, G Lyu, E Arenas, E Coccia, L Sarrafha, T Ahfeldt, JC Marioni, WC Skarnes, MR Cookson, ME Ward, FT Merkle
Cell Stem Cell, 2022-12-01;29(12):1685-1702.e22.
Species: Human
Sample Types: Transfected Whole Cells
Applications: ICC -
Analysis of Influenza A virus infection in human induced pluripotent stem cells (hiPSCs) and their derivatives
Authors: K Ruangrung, W Chakritbud, S Thongon, S Rungarunle, M Wattanapan, C Boonarkart, O Suptawiwat, N Sirinontha, DR Smith, P Auewarakul
Virus research, 2022-11-19;323(0):199009.
Species: Human
Sample Types: Whole Tissue
Applications: IHC -
Induced Pluripotent Stem Cell (iPSC) Lines from a Family with Resistant Epileptic Encephalopathy Caused by Compound Heterozygous Mutations in SZT2 Gene
Authors: C Cattelani, I Battistell, F Di Leva, G Fioravanti, F Benedicent, F Stanzial, C Schwienbac, F Fanelli, PP Pramstalle, AA Hicks, L Conti, C Corti
International Journal of Molecular Sciences, 2022-10-28;23(21):.
Species: Human
Sample Types: Whole Cells
Applications: ICC -
A scalable and tunable thermoreversible polymer for 3D human pluripotent stem cell biomanufacturing
Authors: Hunter J. Johnson, Saheli Chakraborty, Riya J. Muckom, Nitash P. Balsara, David V. Schaffer
iScience
-
The Manufacture of Xeno- and Feeder-Free Clinical-Grade Human Embryonic Stem Cell Lines: First Step for Cell Therapy
Authors: Tereza Souralova, Daniela Rehakova, Michal Jeseta, Lenka Tesarova, Jindrich Beranek, Pavel Ventruba et al.
International Journal of Molecular Sciences
-
A combined human gastruloid model of cardiogenesis and neurogenesis
Authors: Olmsted ZT, Paluh JL.
iScience
-
Transplantation of a human induced pluripotent stem cell-derived airway epithelial cell sheet into the middle ear of rats
Authors: T Tada, H Ohnishi, N Yamamoto, F Kuwata, Y Hayashi, H Okuyama, T Morino, Y Kasai, H Kojima, K Omori
Regenerative Therapy, 2022-01-14;19(0):77-87.
Species: Human
Sample Types: Whole Cells
Applications: ICC -
A novel two-factor monosynaptic TRIO tracing method for assessment of circuit integration of hESC-derived dopamine transplants
Authors: P Aldrin-Kir, M Åkerblom, T Cardoso, S Nolbrant, AF Adler, X Liu, A Heuer, M Davidsson, M Parmar, T Björklund
Stem Cell Reports, 2021-12-30;17(1):159-172.
Species: Human, Rat, Transgenic Rat
Sample Types: Whole Cells, Whole Tissue
Applications: ICC, IHC -
Pharmacological targeting of Sam68 functions in colorectal cancer stem cells
Authors: Angelique N. Masibag, Christopher J. Bergin, Joshua R. Haebe, Aïcha Zouggar, Muhammad S. Shah, Tamara Sandouka et al.
iScience
-
Biofunctionalised bacterial cellulose scaffold supports the patterning and expansion of human embryonic stem cell-derived dopaminergic progenitor cells
Authors: Miranda Robbins, Venkat Pisupati, Roberta Azzarelli, Samer I. Nehme, Roger A. Barker, Ljiljana Fruk et al.
Stem Cell Research & Therapy
Species: Human
Sample Types: Whole Cells
Applications: Immunocytochemistry -
Sequence logic at enhancers governs a dual mechanism of endodermal organ fate induction by FOXA pioneer factors
Authors: RJ Geusz, A Wang, DK Lam, NK Vinckier, KD Alysandrat, DA Roberts, J Wang, S Kefalopoul, A Ramirez, Y Qiu, J Chiou, KJ Gaulton, B Ren, DN Kotton, M Sander
Nature Communications, 2021-11-17;12(1):6636.
Species: Human
Sample Types: Cell Lysates, Whole Cells
Applications: ChIP, IHC -
Functional human iPSC-derived alveolar-like cells cultured in a miniaturized 96?Transwell air-liquid interface model
Authors: T Bluhmki, S Traub, AK Müller, S Bitzer, E Schruf, MT Bammert, M Leist, F Gantner, JP Garnett, R Heilker
Scientific Reports, 2021-08-23;11(1):17028.
Species: Human
Sample Types: Whole Cells
Applications: IHC -
Impaired stem cell differentiation and somatic cell reprogramming in DIDO3 mutants with altered RNA processing and increased R-loop levels
Authors: A Fütterer, A Talavera-G, T Pons, J de Celis, J Gutiérrez, V Domínguez, C Martínez-A
Cell Death & Disease, 2021-06-21;12(7):637.
Species: Human
Sample Types: Whole Cells
Applications: IHC -
SARS-CoV-2 Infection Causes Dopaminergic Neuron Senescence
Authors: S Chen, Y Han, L Yang, T Kim, M Nair, O Harschnitz, P Wang, J Zhu, SY Koo, X Tang, L Lacko, V Chandar, Y Bram, T Zhang, W Zhang, F He, J Caicedo, Y Huang, T Evans, P van der Va, MJ Titulaer, JKH Spoor, RL Furler, P Canoll, J Goldman, S Przedborsk, R Schwartz, D Ho, L Studer
Research square, 2021-05-21;0(0):.
Species: Human
Sample Types: Whole Cells
Applications: IHC -
Airway basal stem cells generate distinct subpopulations of PNECs
Authors: H Mou, Y Yang, MA Riehs, J Barrios, M Shivaraju, AL Haber, DT Montoro, K Gilmore, EA Haas, B Paunovic, J Rajagopal, SO Vargas, RL Haynes, A Fine, WV Cardoso, X Ai
Cell Reports, 2021-04-20;35(3):109011.
Species: Human
Sample Types: Whole Cells, Whole Tissue
Applications: ICC, IHC -
Human naive epiblast cells possess unrestricted lineage potential
Authors: G Guo, GG Stirparo, SE Strawbridg, D Spindlow, J Yang, J Clarke, A Dattani, A Yanagida, MA Li, S Myers, BN Özel, J Nichols, A Smith
Cell Stem Cell, 2021-04-07;0(0):.
Species: Human
Sample Types: Whole Cells
Applications: ICC -
Autologous transplant therapy alleviates motor and depressive behaviors in parkinsonian monkeys
Authors: Y Tao, SC Vermilyea, M Zammit, J Lu, M Olsen, JM Metzger, L Yao, Y Chen, S Phillips, JE Holden, V Bondarenko, WF Block, TE Barnhart, N Schultz-Da, K Brunner, H Simmons, BT Christian, ME Emborg, SC Zhang
Nature Medicine, 2021-03-01;0(0):.
Species: Primate - Rhesus macaque
Sample Types: Whole Cells, Whole Tissue
Applications: ICC, IHC -
Biphasic Activation of WNT Signaling Facilitates the Derivation of Midbrain Dopamine Neurons from hESCs for Translational Use
Authors: TW Kim, J Piao, SY Koo, S Kriks, SY Chung, D Betel, ND Socci, SJ Choi, S Zabierowsk, BN Dubose, EJ Hill, EV Mosharov, S Irion, MJ Tomishima, V Tabar, L Studer
Cell Stem Cell, 2021-02-04;28(2):343-355.e5.
Species: Human
Sample Types: Whole Cells
Applications: ICC -
Preclinical Efficacy and Safety of a Human Embryonic Stem Cell-Derived Midbrain Dopamine Progenitor Product, MSK-DA01
Authors: J Piao, S Zabierowsk, BN Dubose, EJ Hill, M Navare, N Claros, S Rosen, K Ramnarine, C Horn, C Fredrickso, K Wong, B Safford, S Kriks, A El Maarouf, U Rutishause, C Henchcliff, Y Wang, I Riviere, S Mann, V Bermudez, S Irion, L Studer, M Tomishima, V Tabar
Cell Stem Cell, 2021-02-04;28(2):217-229.e7.
Species: Human, Mouse
Sample Types: Whole Cells, Whole Tissue
Applications: Flow Cytometry, ICC, IHC -
Derivation of induced pluripotent stem cells (iPSCs) by retroviral transduction of skin fibroblasts from four patients suffering 7q11.23 microduplication syndrome
Authors: B Kuebler, B Aran, R Flores, LA Pérez-Jura, A Veiga, I Cuscó, R Corominas
Stem Cell Res, 2020-11-19;49(0):102092.
Species: Human
Sample Types: Whole Cells
Applications: ICC -
Generation of induced pluripotent stem cells (iPSCs) by retroviral transduction of skin fibroblasts from four patients suffering Williams-Beuren syndrome (7q11.23 deletion)
Authors: B Kuebler, B Aran, R Flores, LA Pérez-Jura, A Veiga, R Corominas, I Cuscó
Stem Cell Research, 2020-11-16;49(0):102087.
Species: Human
Sample Types: Whole Cells
Applications: Flow Cytometry -
Generation, establishment and characterization of a pluripotent stem cell line (CVTTHi001-A) from primary fibroblasts isolated from a patient with activated PI3 kinase delta syndrome (APDS2)
Authors: M Inglés-Fer, M Martin-Ina, L Herrera, M Villaverde, S Santos, MA Vesga, E Garreta, I Martín-Rui, AM Aransay, J Anguita, B Barreña, LM Allende, LI Gonzalez-G, C Eguizabal
Stem Cell Res, 2020-11-07;49(0):102082.
Species: Human
Sample Types: Whole Cells
Applications: ICC -
Accelerated differentiation of human pluripotent stem cells into neural lineages via an early intermediate ectoderm population
Authors: Patrick Walsh, Vincent Truong, Sushmita Nayak, Marietta Saldías Montivero, Walter C. Low, Ann M. Parr et al.
Stem Cells
-
Direct On-Chip Differentiation of Intestinal Tubules from Induced Pluripotent Stem Cells
Authors: E Naumovska, G Aalderink, C Wong Valen, K Kosim, A Nicolas, S Brown, P Vulto, KS Erdmann, D Kurek
Int J Mol Sci, 2020-07-14;21(14):.
Species: Human
Sample Types: Whole Cells
Applications: ICC -
HDAC3-dependent transcriptional repression of FOXA2 regulates FTO/m6A/MYC signaling to contribute to the development of gastric cancer
Authors: Z Yang, X Jiang, Z Zhang, Z Zhao, W Xing, Y Liu, X Jiang, H Zhao
Cancer Gene Ther., 2020-07-13;0(0):.
Species: Mouse
Sample Types: Whole Cells
Applications: Immunoprecipitation -
A Human Pluripotent Stem Cell-based Platform to Study SARS-CoV-2 Tropism and Model Virus Infection in Human Cells and Organoids
Authors: L Yang, Y Han, BE Nilsson-Pa, V Gupta, P Wang, X Duan, X Tang, J Zhu, Z Zhao, F Jaffré, T Zhang, TW Kim, O Harschnitz, D Redmond, S Houghton, C Liu, A Naji, G Ciceri, S Guttikonda, Y Bram, DT Nguyen, M Cioffi, V Chandar, DA Hoagland, Y Huang, J Xiang, H Wang, D Lyden, A Borczuk, HJ Chen, L Studer, FC Pan, DD Ho, BR tenOever, T Evans, RE Schwartz, S Chen
Cell Stem Cell, 2020-06-19;27(1):125-136.e7.
Species: Human
Sample Types: Organoids, Whole Cells
Applications: ICC, IHC -
Generation of intestinal organoids derived from human pluripotent stem cells for drug testing
Authors: S Yoshida, H Miwa, T Kawachi, S Kume, K Takahashi
Sci Rep, 2020-04-06;10(1):5989.
Species: Human
Sample Types: Whole Cells
Applications: ICC -
Effects of Natural Progesterone and Synthetic Progestin on Germ Layer Gene Expression in a Human Embryoid Body Model
Authors: YY Kim, H Kim, CS Suh, HC Liu, Z Rosenwaks, SY Ku
Int J Mol Sci, 2020-01-24;21(3):.
Species: Human
Sample Types: Whole Cells
Applications: ICC -
Hepatic TET3 contributes to type-2 diabetes by inducing the HNF4alpha fetal isoform
Authors: Da Li, T Cao, X Sun, S Jin, Di Xie, X Huang, X Yang, GG Carmichael, HS Taylor, S Diano, Y Huang
Nat Commun, 2020-01-17;11(1):342.
Species: Mouse
Sample Types: Cell Lysates
Applications: ChIP -
Generation of three induced pluripotent cell lines (iPSCs) from an Aicardi-Gouti�res syndrome (AGS) patient harboring a deletion in the genomic locus of the sterile alpha motif and HD domain containing protein 1 (SAMHD1)
Authors: NV Fuchs, M Schieck, M Neuenkirch, C Tondera, H Schmitz, L Wendeburg, D Steinemann, C Elpers, F Rutsch, R König
Stem Cell Res, 2020-01-09;43(0):101697.
Species: Human
Sample Types: Whole Cells
Applications: ICC -
Hepatic TET3 contributes to type-2 diabetes by inducing the HNF4alpha fetal isoform
Authors: Da Li, T Cao, X Sun, S Jin, Di Xie, X Huang, X Yang, GG Carmichael, HS Taylor, S Diano, Y Huang
Nat Commun, 2020;11(1):342.
Species: Mouse
Sample Types: Cell Lysates
Applications: ChIP -
A Human Pluripotent Stem Cell-based Platform to Study SARS-CoV-2 Tropism and Model Virus Infection in Human Cells and Organoids
Authors: L Yang, Y Han, BE Nilsson-Pa, V Gupta, P Wang, X Duan, X Tang, J Zhu, Z Zhao, F Jaffré, T Zhang, TW Kim, O Harschnitz, D Redmond, S Houghton, C Liu, A Naji, G Ciceri, S Guttikonda, Y Bram, DT Nguyen, M Cioffi, V Chandar, DA Hoagland, Y Huang, J Xiang, H Wang, D Lyden, A Borczuk, HJ Chen, L Studer, FC Pan, DD Ho, BR tenOever, T Evans, RE Schwartz, S Chen
Cell Stem Cell, 2020;27(1):125-136.e7.
Species: Human
Sample Types: Organoids
Applications: IHC -
Wnt Inhibition Facilitates RNA-Mediated Reprogramming of Human Somatic Cells to Naive Pluripotency
Authors: N Bredenkamp, J Yang, J Clarke, GG Stirparo, F von Meyenn, S Dietmann, D Baker, R Drummond, Y Ren, D Li, C Wu, M Rostovskay, S Eminli-Mei, A Smith, G Guo
Stem Cell Reports, 2019-11-07;13(6):1083-1098.
Species: Human
Sample Types: Whole Cells
Applications: ICC -
Loss of SATB1 Induces p21-Dependent Cellular Senescence in Post-mitotic Dopaminergic Neurons
Authors: M Riessland, B Kolisnyk, TW Kim, J Cheng, J Ni, JA Pearson, EJ Park, K Dam, D Acehan, LS Ramos-Espi, W Wang, J Zhang, JW Shim, G Ciceri, L Brichta, L Studer, P Greengard
Cell Stem Cell, 2019-09-19;25(4):514-530.e8.
Species: Human
Sample Types: Whole Cells
Applications: ICC -
Distinct Molecular Trajectories Converge to Induce Naive Pluripotency
Authors: Hannah T. Stuart, Giuliano G. Stirparo, Tim Lohoff, Lawrence E. Bates, Masaki Kinoshita, Chee Y. Lim et al.
Cell Stem Cell
-
FOXA2 Is Required for Enhancer Priming during Pancreatic Differentiation
Authors: K Lee, H Cho, RW Rickert, QV Li, J Pulecio, CS Leslie, D Huangfu
Cell Rep, 2019-07-09;28(2):382-393.e7.
Species: Human
Sample Types: Cell Lysates, Chromatin
Applications: Immunoprecipitation, Western Blot -
An integrated transcriptomics and proteomics analysis reveals functional endocytic dysregulation caused by mutations in LRRK2
Authors: Natalie Connor-Robson, Heather Booth, Jeffrey G. Martin, Benbo Gao, Kejie Li, Natalie Doig et al.
Neurobiology of Disease
-
Impact of Sleep-Wake-Associated Neuromodulators and Repetitive Low-Frequency Stimulation on Human iPSC-Derived Neurons
Authors: R Yokoi, M Okabe, N Matsuda, A Odawara, A Karashima, I Suzuki
Front Neurosci, 2019-05-29;13(0):554.
Species: Human
Sample Types: Whole Cells
Applications: ICC -
CRISPR/Cas9-mediated generation of a tyrosine hydroxylase reporter iPSC line for live imaging and isolation of dopaminergic neurons
Authors: C Calatayud, G Carola, I Fernández-, M Valtorta, S Jiménez-De, M Díaz, J Soriano-Fr, G Cappellett, J García-San, Á Raya, A Consiglio
Sci Rep, 2019-05-02;9(1):6811.
Species: Human
Sample Types: Whole Cells
Applications: ICC -
A hPSC-based platform to discover gene-environment interactions that impact human ?-cell and dopamine neuron survival
Authors: T Zhou, TW Kim, CN Chong, L Tan, S Amin, Z Sadat Badi, S Mukherjee, Z Ghazizadeh, H Zeng, M Guo, M Crespo, T Zhang, R Kenyon, CL Robinson, E Apostolou, H Wang, JZ Xiang, T Evans, L Studer, S Chen
Nat Commun, 2018-11-16;9(1):4815.
Species: Human
Sample Types: Whole Cells
Applications: ICC -
Establishment of a rapid and footprint-free protocol for differentiation of human embryonic stem cells into pancreatic endocrine cells with synthetic mRNAs encoding transcription factors
Authors: H Ida, T Akiyama, K Ishiguro, SK Goparaju, Y Nakatake, N Chikazawa-, S Sato, H Kimura, Y Yokoyama, M Nagino, MSH Ko, SBH Ko
Stem Cell Res Ther, 2018-10-25;9(1):277.
Species: Human
Sample Types: Whole Cells
Applications: ICC -
AAVvector-mediated in vivo reprogramming into pluripotency
Authors: E Senís, L Mosteiro, S Wilkening, E Wiedtke, A Nowrouzi, S Afzal, R Fronza, H Landerer, M Abad, D Niopek, M Schmidt, M Serrano, D Grimm
Nat Commun, 2018-07-09;9(1):2651.
Species: Mouse
Sample Types: Whole Cells
Applications: ICC -
MYC Controls Human Pluripotent Stem Cell Fate Decisions through Regulation of Metabolic Flux
Authors: TS Cliff, T Wu, BR Boward, A Yin, H Yin, JN Glushka, JH Prestegaar, S Dalton
Cell Stem Cell, 2017-09-28;21(4):502-516.e9.
Species: Human
Sample Types: Whole Cells
Applications: Immunocytochemistry -
Generation of integration-free induced pluripotent stem cell lines derived from two patients with X-linked Alport syndrome (XLAS)
Authors: B Kuebler, B Aran, L Miquel-Ser, Y Muñoz, E Ars, G Bullich, M Furlano, R Torra, M Marti, A Veiga, A Raya
Stem Cell Res, 2017-09-09;0(0):.
Species: Human
Sample Types: Whole Cells
Applications: ICC -
Idiopathic Parkinson's disease patient‐derived induced pluripotent stem cells function as midbrain dopaminergic neurons in rodent brains
Authors: Tetsuhiro Kikuchi, Asuka Morizane, Daisuke Doi, Keisuke Okita, Masato Nakagawa, Hodaka Yamakado et al.
Journal of Neuroscience Research
Species: Human
Sample Types: Whole Tissue
Applications: Immunohistochemistry -
CryoPause: A New Method to Immediately Initiate Experiments after Cryopreservation of Pluripotent Stem Cells
Authors: KG Wong, SD Ryan, K Ramnarine, SA Rosen, SE Mann, A Kulick, E De Stanchi, FJ Müller, TJ Kacmarczyk, C Zhang, D Betel, MJ Tomishima
Stem Cell Reports, 2017-06-08;0(0):.
Species: Human
Sample Types: Whole Cells
Applications: ICC -
Generation of six multiple sclerosis patient-derived induced pluripotent stem cell lines
Authors: L Miquel-Ser, A Duarri, Y Muñoz, B Kuebler, B Aran, C Costa, M Martí, M Comabella, S Malhotra, X Montalban, A Veiga, A Raya
Stem Cell Res, 2017-06-07;24(0):155-159.
Species: Human
Sample Types: Whole Cells
Applications: ICC -
Identification of a small molecule that facilitates the differentiation of human iPSCs/ESCs and mouse embryonic pancreatic explants into pancreatic endocrine cells
Authors: Y Kondo, T Toyoda, R Ito, M Funato, Y Hosokawa, S Matsui, T Sudo, M Nakamura, C Okada, X Zhuang, A Watanabe, A Ohta, N Inagaki, K Osafune
Diabetologia, 2017-05-22;0(0):.
Species: Human, Mouse
Sample Types: Whole Cells
Applications: ICC -
Lineage-Specific Differentiation Is Influenced by State of Human Pluripotency
Authors: JH Lee, S Laronde, TJ Collins, Z Shapovalov, B Tanasijevi, JD McNicol, A Fiebig-Com, YD Benoit, JB Lee, RR Mitchell, M Bhatia
Cell Rep, 2017-04-04;19(1):20-35.
Species: Human
Sample Types: Whole Cells
Applications: Flow Cytometry, ICC -
Directed differentiation of human induced pluripotent stem cells into functional cholangiocyte-like cells
Authors: F Sampazioti, MC de Brito, I Geti, A Bertero, NR Hannan, L Vallier
Nat Protoc, 2017-03-23;12(4):814-827.
Species: Human
Sample Types: Whole Cells
Applications: Flow Cytometry -
Live Imaging Mitochondrial Transport in Neurons
Authors: Meredith M. Course, Chung-Han Hsieh, Pei-I Tsai, Jennifer A. Codding-Bui, Atossa Shaltouki, Xinnan Wang
Neuromethods
-
Generation of thalamic neurons from mouse embryonic stem cells
Authors: A Shiraishi, K Muguruma, Y Sasai
Development, 2017-02-20;0(0):.
Species: Mouse
Sample Types: Whole Cells
Applications: ICC -
Triple Staining Including FOXA2 Identifies Stem Cell Lineages Undergoing Hepatic and Biliary Differentiation in Cirrhotic Human Liver
Authors: Leslie E Rogler
J. Histochem. Cytochem., 2016-11-24;0(0):.
Species: Human
Sample Types: Whole Tissue
Applications: ICC -
Cell Expansion During Directed Differentiation Of Stem Cells Toward The Hepatic Lineage
Stem Cells Dev., 2016-11-01;0(0):.
Species: Human
Sample Types: Whole Cells
Applications: CyTof -
Microfabric Vessels for Embryoid Body Formation and Rapid Differentiation of Pluripotent Stem Cells
Sci Rep, 2016-08-10;6(0):31063.
Species: Mouse
Sample Types: Whole Cells
Applications: IHC -
Aberrant epigenome in iPSC ‐derived dopaminergic neurons from Parkinson's disease patients
Authors: Rubén Fernández‐Santiago, Iria Carballo‐Carbajal, Giancarlo Castellano, Roger Torrent, Yvonne Richaud, Adriana Sánchez‐Danés et al.
EMBO Molecular Medicine
-
A qPCR ScoreCard quantifies the differentiation potential of human pluripotent stem cells.
Authors: Tsankov A, Akopian V, Pop R, Chetty S, Gifford C, Daheron L, Tsankova N, Meissner A
Nat Biotechnol, 2015-10-26;33(11):1182-92.
Species: Human
Sample Types: Whole Tissue
Applications: IHC-P -
The nucleoporin Nup153 regulates embryonic stem cell pluripotency through gene silencing
Authors: Filipe V. Jacinto, Chris Benner, Martin W. Hetzer
Genes & Development
-
Derivation and long-term culture of transgene-free human induced pluripotent stem cells on synthetic substrates.
Authors: Villa-Diaz L, Kim J, Lahann J, Krebsbach P
Stem Cells Transl Med, 2014-10-13;3(12):1410-7.
Species: Human
Sample Types: Whole Cells
Applications: ICC -
Physiological characterisation of human iPS-derived dopaminergic neurons.
Authors: Hartfield, Elizabet, Yamasaki-Mann, Michiko, Ribeiro Fernandes, Hugo J, Vowles, Jane, James, William, Cowley, Sally A, Wade-Martins, Richard
PLoS ONE, 2014-02-21;9(2):e87388.
Species: Human
Sample Types: Whole Cells
Applications: IHC-Fr -
Profiling of transcriptional and epigenetic changes during directed endothelial differentiation of human embryonic stem cells identifies FOXA2 as a marker of early mesoderm commitment
Authors: Lynsey Howard, Ruth M Mackenzie, Nikolay A Pchelintsev, Tony McBryan, John D McClure, Martin W McBride et al.
Stem Cell Research & Therapy
-
Generation of induced pluripotent stem cells from human renal proximal tubular cells with only two transcription factors, oct4 and sox2.
Authors: Montserrat N, Ramirez-Bajo MJ, Xia Y, Sancho-Martinez I, Moya-Rull D, Miquel-Serra L, Yang S, Nivet E, Cortina C, Gonzalez F, Izpisua Belmonte JC, Campistol JM
J. Biol. Chem., 2012-05-21;287(29):24131-8.
Species: Human
Sample Types: Whole Cells
Applications: ICC -
Treatment with small molecules is an important milestone towards the induction of pluripotency in neural stem cells derived from human cord blood.
Authors: Szablowska-Gadomska, Ilona, Sypecka, Joanna, Zayat, Valery, Podobinska, Martyna, Pastwinska, Anna, Pienkowska-Grela, Barbara, Buzanska, Leonora
Acta Neurobiol Exp (Wars), 2012-01-01;72(4):337-50.
Species: Human
Sample Types: Whole Cells
Applications: ICC -
Generation of glucose-responsive, insulin-producing cells from human umbilical cord blood-derived mesenchymal stem cells.
Authors: Prabakar K, Dominguez-Bendala J, Molano R, Pileggi A, Villate S, Ricordi C, Inverardi L
Cell Transplant, 2011-12-21;21(6):1321-39.
Species: Human
Sample Types: Whole Cells
Applications: ICC -
Complete meiosis from human induced pluripotent stem cells.
Authors: Eguizabal C, Montserrat N, Vassena R, Barragan M, Garreta E, Garcia-Quevedo L, Vidal F, Giorgetti A, Veiga A, Belmonte JC
Stem Cells, 2011-08-01;29(8):1186-95.
Species: Human
Sample Types: Whole Cells
Applications: ICC -
A novel chemically directed route for the generation of definitive endoderm from human embryonic stem cells based on inhibition of GSK-3.
Authors: Bone HK, Nelson AS, Goldring CE, Tosh D, Welham MJ
J. Cell. Sci., 2011-05-24;124(0):1992-2000.
Species: Human
Sample Types: Whole Cells
Applications: ICC -
Recapitulation of premature ageing with iPSCs from Hutchinson–Gilford progeria syndrome
Authors: Guang-Hui Liu, Basam Z. Barkho, Sergio Ruiz, Dinh Diep, Jing Qu, Sheng-Lian Yang et al.
Nature
-
CD24: a novel surface marker for PDX1-positive pancreatic progenitors derived from human embryonic stem cells.
Authors: Jiang W, Sui X, Zhang D, Liu M, Ding M, Shi Y, Deng H
Stem Cells, 2011-04-01;29(4):609-17.
Species: Human
Sample Types: Whole Cells
Applications: ICC -
A defined glycosaminoglycan-binding substratum for human pluripotent stem cells.
Authors: Klim JR, Li L, Wrighton PJ
Nat. Methods, 2010-11-14;7(12):989-94.
Species: Human
Sample Types: Whole Cells
Applications: ICC -
Alginate microcapsule for propagation and directed differentiation of hESCs to definitive endoderm.
Authors: Chayosumrit M, Tuch B, Sidhu K
Biomaterials, 2009-10-14;31(3):505-14.
Species: Human
Sample Types: Cell Lysates, Whole Cells
Applications: ICC, Western Blot -
Linking the p53 tumour suppressor pathway to somatic cell reprogramming.
Authors: Kawamura T, Suzuki J, Wang YV, Menendez S, Morera LB, Raya A, Wahl GM, Belmonte JC
Nature, 2009-08-09;460(7259):1140-4.
Species: Mouse
Sample Types: Whole Cells
Applications: ICC -
Disease-corrected haematopoietic progenitors from Fanconi anaemia induced pluripotent stem cells.
Authors: Raya A, Rodriguez-Piza I, Guenechea G, Vassena R, Navarro S, Barrero MJ, Consiglio A, Castella M, RÃÂo P, Sleep E, Gonzalez F, Tiscornia G, Garreta E, Aasen T, Veiga A, Verma IM, Surralles J, Bueren J, Belmonte JC
Nature, 2009-05-31;460(7251):53-9.
Species: Human
Sample Types: Whole Cells
Applications: ICC -
Highly efficient differentiation of human ES cells and iPS cells into mature pancreatic insulin-producing cells.
Authors: Zhang D, Jiang W, Liu M, Sui X, Yin X, Chen S, Shi Y, Deng H
Cell Res., 2009-04-01;19(4):429-38.
Species: Human
Sample Types: Whole Cells
Applications: Flow Cytometry, ICC -
Generation of pluripotent stem cells from adult human testis.
Authors: Conrad S, Renninger M, Hennenlotter J, Wiesner T, Just L, Bonin M, Aicher W, Buhring HJ, Mattheus U, Mack A, Wagner HJ, Minger S, Matzkies M, Reppel M, Hescheler J, Sievert KD, Stenzl A, Skutella T
Nature, 2008-10-08;456(7220):344-9.
Species: Human
Sample Types: Whole Cells
Applications: ICC -
Directed induction of anterior and posterior primitive streak by Wnt from embryonic stem cells cultured in a chemically defined serum-free medium.
Authors: Nakanishi M, Kurisaki A, Hayashi Y, Warashina M, Ishiura S, Kusuda-Furue M, Asashima M
FASEB J., 2008-09-22;23(1):114-22.
Species: Human
Sample Types: Whole Cells
Applications: ICC -
Short-term BMP-4 treatment initiates mesoderm induction in human embryonic stem cells.
Authors: Zhang P, Li J, Tan Z, Wang C, Liu T, Chen L, Yong J, Jiang W, Sun X, DU L, Ding M, Deng H
Blood, 2007-11-27;111(4):1933-41.
Species: Human
Sample Types: Whole Cells
Applications: ICC -
Homogeneous differentiation of hepatocyte-like cells from embryonic stem cells: applications for the treatment of liver failure.
Authors: Cho CH, Parashurama N, Park EY, Suganuma K, Nahmias Y, Park J, Tilles AW, Berthiaume F, Yarmush ML
FASEB J., 2007-10-17;22(3):898-909.
Species: Rat
Sample Types: Whole Cells
Applications: Flow Cytometry, ICC -
Long-term self-renewal and directed differentiation of human embryonic stem cells in chemically defined conditions.
Authors: Yao S, Chen S, Clark J, Hao E, Beattie GM, Hayek A, Ding S
Proc. Natl. Acad. Sci. U.S.A., 2006-04-21;103(18):6907-12.
Species: Human
Sample Types: Whole Cells
Applications: ICC -
Carbon-nanotube reinforcement of DNA-silica nanocomposites yields programmable and cell-instructive biocoatings
Authors: Y Hu, CM Domínguez, J Bauer, S Weigel, A Schipperge, C Oelschlaeg, N Willenbach, S Keppler, M Bastmeyer, S Hei beta ler, C Wöll, T Scharnwebe, KS Rabe, CM Niemeyer
Nat Commun, 2019-12-04;10(1):5522.
-
Induced hepatic stem cells are suitable for human hepatocyte production
Authors: Yoshiki Nakashima, Chika Miyagi-Shiohira, Issei Saitoh, Masami Watanabe, Masayuki Matsushita, Masayoshi Tsukahara et al.
iScience
-
Changes in glycosaminoglycan structure on differentiation of human embryonic stem cells towards mesoderm and endoderm lineages.
Authors: Gasimli L, Hickey AM, Yang B et al.
BBA General Subjects.
FAQs
No product specific FAQs exist for this product, however you may
View all Antibody FAQsReviews for Human HNF-3 beta /FoxA2 Antibody
Average Rating: 5 (Based on 2 Reviews)
Have you used Human HNF-3 beta /FoxA2 Antibody?
Submit a review and receive an Amazon gift card.
$25/€18/£15/$25CAN/¥75 Yuan/¥2500 Yen for a review with an image
$10/€7/£6/$10 CAD/¥70 Yuan/¥1110 Yen for a review without an image
Filter by:
