Human BRCA1 C-Terminus Antibody Summary
Arg1634-Tyr1863
Accession # P38398
*Small pack size (-SP) is supplied either lyophilized or as a 0.2 µm filtered solution in PBS.
Applications
Please Note: Optimal dilutions should be determined by each laboratory for each application. General Protocols are available in the Technical Information section on our website.
Scientific Data
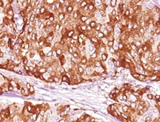
View Larger
BRCA1 in Human Breast Cancer Tissue. BRCA1 was detected in immersion fixed paraffin-embedded sections of human breast cancer tissue using Human BRCA1 Monoclonal Antibody (Catalog # MAB22101) at 5 µg/mL overnight at 4 °C. Before incubation with the primary antibody tissue was subjected to heat-induced epitope retrieval using Antigen Retrieval Reagent-Basic (CTS013). Tissue was stained using the Anti-Mouse HRP-DAB Cell & Tissue Staining Kit (brown; CTS002) and counterstained with hematoxylin (blue). View our protocol for Chromogenic IHC Staining of Paraffin-embedded Tissue Sections.
View Larger
BRCA1 in Human Breast. BRCA1 was detected in immersion fixed paraffin-embedded sections of human breast array using Human BRCA1 Monoclonal Antibody (Catalog # MAB22101) at 15 µg/mL overnight at 4 °C. Tissue was stained using the Anti-Mouse HRP-DAB Cell & Tissue Staining Kit (brown; CTS002) and counterstained with hematoxylin (blue). Lower panel shows a lack of labeling if primary antibodies are omitted and tissue is stained only with secondary antibody followed by incubation with detection reagents. View our protocol for Chromogenic IHC Staining of Paraffin-embedded Tissue Sections.
View Larger
Detection of Human BRCA1 by Western Blot. Western blot shows lysates of U2OS human osteosarcoma cell line and HeLa human cervical epithelial carcinoma cell line. PVDF membrane was probed with 1 µg/mL of Human BRCA1 Monoclonal Antibody (Catalog # MAB22101) followed by HRP-conjugated Anti-Mouse IgG Secondary Antibody (Catalog # HAF007). A specific band was detected for BRCA1 at approximately 240 kDa (as indicated). This experiment was conducted under reducing conditions and using Immunoblot Buffer Group 1.
View Larger
Detection of BRCA1 C-Terminus by Western Blot Microtubule-dependent nuclear deformations and DSBs mobility. A Immunoblot for BRCA1, CHK2 and phospho-CHK2 (P-CHK2) in p53-deleted (sg-P53) Brca1F/F Mouse Embryonic Fibroblasts (MEFs) 72 h after transduction with Hit&Run Cre and/or 6 h treatment with PARPi (0.5 μM). Actin is shown as loading control. b Examples of 10 min traces of mCherry-BP1-2 foci in Brca1F/F MEFs 72 h after Brca1 deletion, 6 h after PARPi addition in the absence or presence of taxol (1 h) or nocodazole (2 h). Scale bars: 10 μm. c MSD of mCherry-BP1-2 foci in the indicated MEFs as described in (b), with SD. Total foci analyzed: 1618 for DMSO, 1056 for taxol, and 1085 for nocodazole from 35, 30, 28 nuclei, respectively from n = 3 independent experiment. d Representative image of Brca1F/F MEFs without any treatment or 72 h after Cre-mediated deletion of Brca1, PARPi treatment for 6 h treatment and/or incubation with taxol for 1 h. Highlighted boxes indicate nuclear deformations as vertical invaginations (blue), light (green) and deep (yellow) lateral invaginations, and longitudinal invaginations (magenta). In black and gray boxes, the control nuclear edges and nuclear interior with no invaginations, respectively. Scale bars: 2 μm. Magnification ×4.25. (e) Quantification of nuclear deformations as in (d) from 40, 20 and 22 cells for each condition derived from one representative experiment. Statistical analysis by Kruskal–Wallis test for multiple comparisons. (*) P < 0.05 (p = 0.0381); P ≧ 0.05 are not significant. Source data are provided as a Source Data file. See also Supplementary Fig. 1. Image collected and cropped by CiteAb from the following open publication (https://pubmed.ncbi.nlm.nih.gov/40527886), licensed under a CC-BY license. Not internally tested by R&D Systems.
Reconstitution Calculator
Preparation and Storage
- 12 months from date of receipt, -20 to -70 °C as supplied.
- 1 month, 2 to 8 °C under sterile conditions after reconstitution.
- 6 months, -20 to -70 °C under sterile conditions after reconstitution.
Background: BRCA1
The BRCA1 (BReast CAncer gene 1) tumor suppressor protein has many reported functions. In addition to mediating signal transduction in DNA damage and repair responses, BRCA1 forms a heterodimer with BARD1 and regulates transcriptional activity, assisting in the preservation of chromosomal stability. BRCA1 is one of the first proteins recruited to sites of DNA double-strand breaks and serves as part of a scaffold for assembling other DNA damage response or repair factors, including MSH2, MLH1, ATM and PMS2.
Product Datasheets
Citations for Human BRCA1 C-Terminus Antibody
R&D Systems personnel manually curate a database that contains references using R&D Systems products. The data collected includes not only links to publications in PubMed, but also provides information about sample types, species, and experimental conditions.
11
Citations: Showing 1 - 10
Filter your results:
Filter by:
-
53BP1-RIF1-shieldin counteracts DSB resection through CST-and Pola-dependent fill-in.
Authors: Mirman Z, Lottersberger F, Takai H et al.
Nature.
-
Histone H2A ubiquitination resulting from Brap loss of function connects multiple aging hallmarks and accelerates neurodegeneration
Authors: Guo Y, Chomiak AA, Hong Y et al.
iScience
-
Nde1 is required for heterochromatin compaction and stability in neocortical neurons
Authors: Chomiak AA, Guo Y, Kopsidas CA et al.
iScience
-
BRCA1 Antibodies Matter
Authors: J Yang, L Qi, HC Chiang, B Yuan, R Li, Y Hu
International journal of biological sciences, 2021-07-25;17(12):3239-3254.
Species: Human, Mouse
Sample Types: Cell Lysates, Tissue Homogenates
Applications: Immunoprecipitation, Western Blot -
Tyrosine kinase inhibitor–induced defects in DNA repair sensitize FLT3(ITD)-positive leukemia cells to PARP1 inhibitors
Authors: Silvia Maifrede, Margaret Nieborowska-Skorska, Katherine Sullivan-Reed, Yashodhara Dasgupta, Paulina Podszywalow-Bartnicka, Bac Viet Le et al.
Blood
Species: Human
Sample Types: Cell Lysates
Applications: Western Blot -
IGH/MYC Translocation Associates with BRCA2 Deficiency and Synthetic Lethality to PARP1 Inhibitors
Authors: S Maifrede, K Martin, P Podszywalo, K Sullivan, SK Langer, R Nejadi, Y Dasgupta, M Hulse, D Gritsyuk, M Nieborowsk, LN Lupey-Gree, H Zhao, K Piwocka, MA Wasik, I Tempera, T Skorski
Mol. Cancer Res., 2017-06-20;0(0):.
Species: Human
Sample Types: Cell Lysates, Whole Cells
Applications: Flow Cytometry, Western Blot -
Gene expression and mutation-guided synthetic lethality eradicates proliferating and quiescent leukemia cells
Authors: M Nieborowsk, K Sullivan, Y Dasgupta, P Podszywalo, G Hoser, S Maifrede, E Martinez, D Di Marcant, E Bolton-Gil, K Cramer-Mor, J Lee, M Li, A Slupianek, D Gritsyuk, S Cerny-Reit, I Seferynska, T Stoklosa, L Bullinger, H Zhao, V Gorbunova, K Piwocka, P Valent, CI Civin, M Muschen, JE Dick, JC Wang, S Bhatia, R Bhatia, K Eppert, MD Minden, SM Sykes, T Skorski
J. Clin. Invest., 2017;127(6):2392-2406.
Species: Human
Sample Types: Cell Lysates
Applications: Western Blot -
Breast cancer 1 (BRCA1)-deficient embryos develop normally but are more susceptible to ethanol-initiated DNA damage and embryopathies☆
Authors: Aaron M. Shapiro, Lutfiya Miller-Pinsler, Peter G. Wells
Redox Biology
-
BRCA1 regulates microRNA biogenesis via the DROSHA microprocessor complex
Authors: Shinji Kawai, Atsuo Amano
Journal of Cell Biology
-
Expression of oncogenic kinase Bcr-Abl impairs mitotic checkpoint and promotes aberrant divisions and resistance to microtubule-targeting agents.
Authors: Wolanin K, Magalska A, Kusio-Kobialka M, Podszywalow-Bartnicka P, Vejda S, McKenna SL, Mosieniak G, Sikora E, Piwocka K
Mol. Cancer Ther., 2010-05-04;9(5):1328-38.
Species: Mouse
Sample Types: Cell Lysates
Applications: Western Blot -
53BP1-shieldin-dependent DSB processing in BRCA1-deficient cells requires CST-Polalpha-primase fill-in synthesis
Authors: Z Mirman, NK Sasi, A King, JR Chapman, T de Lange
Nature Cell Biology, 2022-01-13;24(1):51-61.
FAQs
No product specific FAQs exist for this product, however you may
View all Antibody FAQsReviews for Human BRCA1 C-Terminus Antibody
Average Rating: 5 (Based on 2 Reviews)
Have you used Human BRCA1 C-Terminus Antibody?
Submit a review and receive an Amazon gift card.
$25/€18/£15/$25CAN/¥75 Yuan/¥2500 Yen for a review with an image
$10/€7/£6/$10 CAD/¥70 Yuan/¥1110 Yen for a review without an image
Filter by:
