Human Neurophysin II Antibody Summary
Accession # P01186
Applications
Please Note: Optimal dilutions should be determined by each laboratory for each application. General Protocols are available in the Technical Information section on our website.
Scientific Data
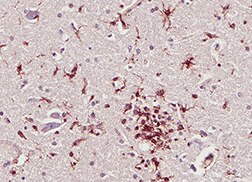
View Larger
Neurophysin II in Human Brain Hippocampus Tissue. Neurophysin II was detected in immersion fixed paraffin-embedded sections of human brain hippocampus tissue using Mouse Anti-Human Neurophysin II Monoclonal Antibody (Catalog # MAB009) at 5 µg/mL for 1 hour at room temperature followed by incubation with the Anti-Mouse IgG VisUCyte™ HRP Polymer Antibody (Catalog # VC001). Before incubation with the primary antibody, tissue was subjected to heat-induced epitope retrieval using Antigen Retrieval Reagent-Basic (Catalog # CTS013). Tissue was stained using DAB (brown) and counterstained with hematoxylin (blue). Specific staining was localized to neurons. View our protocol for IHC Staining with VisUCyte HRP Polymer Detection Reagents.
Reconstitution Calculator
Preparation and Storage
- 12 months from date of receipt, -20 to -70 °C as supplied.
- 1 month, 2 to 8 °C under sterile conditions after reconstitution.
- 6 months, -20 to -70 °C under sterile conditions after reconstitution.
Background: Neurophysin II
Arginine vasopressin (AVP)/Neurophysin 2 is a hormone synthesized in neurons in the hypothalamus that specifically binds vasopressin. Vasopressin has a direct antidiuretic action on the kidney and causes vasoconstriction of the peripheral vessels. Vasopressin regulates the tonicity of body fluid by causing the kidneys to reabsorb solute-free water and returning it to the circulation from the tubules of the nephron. AVP released in high concentrations may also raise blood pressure by inducing vasoconstriction. The stimulus for secretion of vasopressin is increased osmolality of the plasma which is monitored by the hypothalamus. Vasopressin is often used to manage anti-diuretic hormone deficiency.
Product Datasheets
FAQs
No product specific FAQs exist for this product, however you may
View all Antibody FAQsReviews for Human Neurophysin II Antibody
Average Rating: 5 (Based on 1 Review)
Have you used Human Neurophysin II Antibody?
Submit a review and receive an Amazon gift card.
$25/€18/£15/$25CAN/¥75 Yuan/¥2500 Yen for a review with an image
$10/€7/£6/$10 CAD/¥70 Yuan/¥1110 Yen for a review without an image
Filter by:
