Human CD43 Antibody Summary
Ser20-Pro400
Accession # P16150
Applications
Please Note: Optimal dilutions should be determined by each laboratory for each application. General Protocols are available in the Technical Information section on our website.
Scientific Data
View Larger
CD43 in Human PBMCs. CD43 was detected in immersion fixed human peripheral blood mononuclear cells (PBMCs) using Mouse Anti-Human CD43 Monoclonal Antibody (Catalog # MAB20381) at 8 µg/mL for 3 hours at room temperature. Cells were stained using the NorthernLights™ 557-conjugated Anti-Mouse IgG Secondary Antibody (red; Catalog # NL007) and counterstained with DAPI (blue). Specific staining was localized to cell surfaces. View our protocol for Fluorescent ICC Staining of Non-adherent Cells.
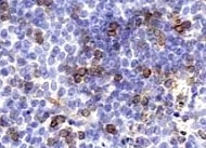
View Larger
CD43 in Human Tonsil. CD43 was detected in immersion fixed paraffin-embedded sections of human tonsil using Mouse Anti-Human CD43 Monoclonal Antibody (Catalog # MAB20381) at 1.7 µg/mL for 1 hour at room temperature followed by incubation with the Anti-Mouse IgG VisUCyte™ HRP Polymer Antibody (Catalog # VC001). Before incubation with the primary antibody, tissue was subjected to heat-induced epitope retrieval using Antigen Retrieval Reagent-Basic (Catalog # CTS013). Tissue was stained using DAB (brown) and counterstained with hematoxylin (blue). Specific staining was localized to cell surfaces in lymphocytes. View our protocol for IHC Staining with VisUCyte HRP Polymer Detection Reagents.
Reconstitution Calculator
Preparation and Storage
- 12 months from date of receipt, -20 to -70 °C as supplied.
- 1 month, 2 to 8 °C under sterile conditions after reconstitution.
- 6 months, -20 to -70 °C under sterile conditions after reconstitution.
Background: CD43
CD43, also known as Leukosialin and Sialophorin and Ly-48 in mouse, is a 100-105 kDa type I transmembrane sialylated mucin that is expressed on most leukocytes and some tumor cells. Notably, the membrane expression of CD43 seems to be a characteristic of leukocytes, while cytoplasmic expression without membrane insertion occurs in endothelium and select epithelia. While CD43 restricts leukocyte adhesion and modulates T cell activation, these activities are context specific. CD43 can both induce and protect against apoptosis, and can either promote or block cell adhesion. Mature CD43 shows 49% amino (aa) sequence identity between human and mouse.
Product Datasheets
FAQs
No product specific FAQs exist for this product, however you may
View all Antibody FAQsReviews for Human CD43 Antibody
Average Rating: 5 (Based on 2 Reviews)
Have you used Human CD43 Antibody?
Submit a review and receive an Amazon gift card.
$25/€18/£15/$25CAN/¥75 Yuan/¥2500 Yen for a review with an image
$10/€7/£6/$10 CAD/¥70 Yuan/¥1110 Yen for a review without an image
Filter by:
