Human CFL1 Antibody Summary
Accession # P23528
Applications
Please Note: Optimal dilutions should be determined by each laboratory for each application. General Protocols are available in the Technical Information section on our website.
Scientific Data
View Larger
Detection of Human, Mouse and Rat CFL1 by Western Blot. Western Blot shows lysates of Jurkat human acute T cell leukemia cell line, MCF‑7 human breast cancer cell line, NIH‑3T3 mouse embryonic fibroblast cell line and C6 rat glioma cell line. PVDF membrane was probed with 0.5 µg/ml of Mouse Anti-Human CFL1 Monoclonal Antibody (Catalog # MAB11669) followed by HRP-conjugated Anti-Mouse IgG Secondary Antibody (Catalog # HAF018). A specific band was detected for CFL1 at approximately 17 kDa (as indicated). This experiment was conducted under reducing conditions and using Western Blot Buffer Group 1.
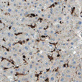
View Larger
Detection of CFL1 in Liver CFL1 was detected in immersion fixed paraffin-embedded sections of liver using Mouse Anti-Human CFL1 Monoclonal Antibody (Catalog # MAB11669) at 5 µg/ml for 1 hour at room temperature followed by incubation with the Anti-Mouse IgG VisUCyte™ HRP Polymer Antibody (Catalog # VC001) or the HRP-conjugated Anti-Mouse IgG Secondary Antibody (Catalog # HAF007). Before incubation with the primary antibody, tissue was subjected to heat-induced epitope retrieval using VisUCyte Antigen Retrieval Reagent-Basic (Catalog # VCTS021). Tissue was stained using DAB (brown) and counterstained with hematoxylin (blue). Specific staining was localized to the nucleus and cytoplasm. View our protocol for IHC Staining with VisUCyte HRP Polymer Detection Reagents.
View Larger
Detection of CFL1 in MCF‑7 Human Cell Line. CFL1 was detected in immersion fixed MCF‑7 human breast cancer cell line using Mouse Anti-Human CFL1 Monoclonal Antibody (Catalog # MAB11669) at 8 µg/ml for 3 hours at room temperature. Cells were stained using the NorthernLights™ 557-conjugated Anti-Mouse IgG Secondary Antibody (red; Catalog # NL007) and counterstained with DAPI (blue). Specific staining was localized to the nucleus and cytoplasm. View our protocol for Fluorescent ICC Staining of Cells on Coverslips.
View Larger
Detection of Human CFL1 by Simple WesternTM. Simple Western shows lysates of Exosome Standards (LNCaP) (NBP3-11687), Exosome Standards (PC‑3) (NBP2-49856) and MCF‑7 human breast cancer cell line, loaded at 0.5 mg/ml. A specific band was detected for CFL1 at approximately 24 kDa (as indicated) using 10-100 µg/mL of Mouse Anti-Human CFL1 Monoclonal Antibody (Catalog # MAB11669). This experiment was conducted under reducing conditions and using the 2-40 kDa separation system.
Reconstitution Calculator
Preparation and Storage
- 12 months from date of receipt, -20 to -70 °C as supplied.
- 1 month, 2 to 8 °C under sterile conditions after reconstitution.
- 6 months, -20 to -70 °C under sterile conditions after reconstitution.
Background: CFL1
Cofilin-1 (CFL1) is an 18.5 kDa protein that is a member of the actin deploy family (ADF). It is involved in the biological activities of various malignancies, including infiltration, metastasis, and chemotherapy resistance. Overexpression of CFL is associated with aggressive features and poor prognosis in malignancies. CFL1 also plays a crucial role in B cell, T cell infiltration, cytokine and NF-kappa B signaling pathways and can serve as a useful biomarker for diagnosis of inflammatory diseases.
- Yin X, Li X, Jiang H, Lin X, Ma Z, Chen X, Teng Q, Zhang J, Jin J. CFL1 is Implicated in Chronic Myeloid Leukemia Response during Imatinib Therapy. J Cancer. 2024 Mar 4;15(8):2424-2430. doi: 10.7150/jca.92202. PMID: 38495482; PMCID: PMC10937266.
- Xing J, Wang Y, Peng A, Li J, Niu X, Zhang K. The role of actin cytoskeleton CFL1 and ADF/cofilin superfamily in inflammatory response. Front Mol Biosci. 2024 Jul 24;11:1408287. doi: 10.3389/fmolb.2024.1408287. PMID: 39114368; PMCID: PMC11303188.
Product Datasheets
FAQs
No product specific FAQs exist for this product, however you may
View all Antibody FAQsReviews for Human CFL1 Antibody
There are currently no reviews for this product. Be the first to review Human CFL1 Antibody and earn rewards!
Have you used Human CFL1 Antibody?
Submit a review and receive an Amazon gift card.
$25/€18/£15/$25CAN/¥75 Yuan/¥2500 Yen for a review with an image
$10/€7/£6/$10 CAD/¥70 Yuan/¥1110 Yen for a review without an image
