Human FOXL2 Antibody Summary
Accession # P58012
Applications
Please Note: Optimal dilutions should be determined by each laboratory for each application. General Protocols are available in the Technical Information section on our website.
Scientific Data
View Larger
FOXL2 in PANC-1 Human Cell Line. FOXL2 was detected in immersion fixed PANC-1 human pancreatic carcinoma cell line (positive) and MCF-7 human breast cancer cell line (negative) using Mouse Anti-Human FOXL2 Monoclonal Antibody (Catalog # MAB10396) at 8 µg/mL for 3 hours at room temperature. Cells were stained using the NorthernLights™ 557-conjugated Anti-Mouse IgG Secondary Antibody (red; Catalog # NL007) and counterstained with DAPI (blue). Specific staining was localized to cell nuclei. View our protocol for Fluorescent ICC Staining of Cells on Coverslips.
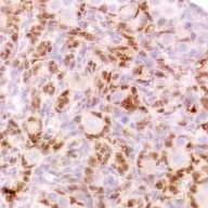
View Larger
FOXL2 in Ovarian Cancer Tissue. FOXL2 was detected in immersion fixed paraffin-embedded sections of ovarian cancer tissue using Mouse Anti-Human FOXL2 Monoclonal Antibody (Catalog # MAB10396) at 5 µg/mL for 1 hour at room temperature followed by incubation with the Anti-Mouse IgG VisUCyte™ HRP Polymer Antibody (Catalog # VC001). Before incubation with the primary antibody, tissue was subjected to heat-induced epitope retrieval using Antigen Retrieval Reagent-Basic (Catalog # CTS013). Tissue was stained using DAB (brown) and counterstained with hematoxylin (blue). Specific staining was localized to cell nuclei. View our protocol for IHC Staining with VisUCyte HRP Polymer Detection Reagents.
Reconstitution Calculator
Preparation and Storage
- 12 months from date of receipt, -20 to -70 °C as supplied.
- 1 month, 2 to 8 °C under sterile conditions after reconstitution.
- 6 months, -20 to -70 °C under sterile conditions after reconstitution.
Background: FOXL2
FOXL2 is a forkhead transcription factor which plays a role in ovarian development and function. It is transcribed very early in somatic cells of the developing gonad (before sex determination) and its expression persists in the follicular cells of the adult ovary. Females missing the FOXL2 gene appear to be male. FOXL2 prevents transdifferentiation of an adult ovary to a testis. Overexpression of FOXL2 has been implicated in endometriosis with 3-fold higher mRNA expression in endometriosis than in healthy endometrium.
Product Datasheets
FAQs
No product specific FAQs exist for this product, however you may
View all Antibody FAQsReviews for Human FOXL2 Antibody
Average Rating: 4.7 (Based on 3 Reviews)
Have you used Human FOXL2 Antibody?
Submit a review and receive an Amazon gift card.
$25/€18/£15/$25CAN/¥75 Yuan/¥2500 Yen for a review with an image
$10/€7/£6/$10 CAD/¥70 Yuan/¥1110 Yen for a review without an image
Filter by:
E18.5 Ovary. IHC-P. 1:100
Concentration 1:100, paraffin section
