Human OX40 Ligand/TNFSF4 Antibody Summary
Gln51-Leu183
Accession # Q6FGS4
Applications
Please Note: Optimal dilutions should be determined by each laboratory for each application. General Protocols are available in the Technical Information section on our website.
Scientific Data
View Larger
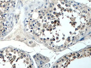
OX40 Ligand/TNFRSF4 in Human Testis. OX40 Ligand/TNFRSF4 was detected in immersion fixed paraffin-embedded sections of human testis using Mouse Anti-Human OX40 Ligand/TNFRSF4 Monoclonal Antibody (Catalog # MAB10656) at 5 µg/mL for 1 hour at room temperature followed by incubation with the Anti-Mouse IgG VisUCyte™ HRP Polymer Antibody (VC001). Before incubation with the primary antibody, tissue was subjected to heat-induced epitope retrieval using Antigen Retrieval Reagent-Basic (CTS013). Tissue was stained using DAB (brown) and counterstained with hematoxylin (blue). Specific staining was localized to cell surface in sperm cells. Staining was performed using our protocol for IHC Staining with VisUCyte HRP Polymer Detection Reagents.
Reconstitution Calculator
Preparation and Storage
- 12 months from date of receipt, -20 to -70 °C as supplied.
- 1 month, 2 to 8 °C under sterile conditions after reconstitution.
- 6 months, -20 to -70 °C under sterile conditions after reconstitution.
Background: OX40 Ligand/TNFSF4
OX40 Ligand (OX40L), also known as gp34, is a type II transmembrane glycoprotein belonging to the TNF superfamily. Human OX40L cDNA encodes a 183 amino acids (aa) polypeptide with an amino-terminal cytoplasmic domain (aa 1¬23) and a carboxy¬terminal extracellular domain (aa 51-183). It shares 46% aa sequence identity with the mouse counterpart. OX40L is expressed on the surface of activated B cells, T cells, dendritic cells and endothelial cells. Similarly to other TNF superfamily members, membrane-bound OX40 Ligand exists as a homotrimer. OX40L binds to OX40 (CD134), a member of the TNF receptor superfamily that is expressed predominantly on activated CD4+ T cells. OX40 Ligand is one of the co¬stimulatory molecules in the immune system that includes B7, CD40 Ligand, CD30 Ligand, CD27 Ligand and 4¬1BB Ligand. Because OX40 appears as a late activation-induced T cell surface antigen, it has been speculated that the major function of OX40-OX40L interaction is to transmit a late co-stimulatory signal to promote the survival and proliferation of activated CD4+ T cells and prolong the immune response. Engagement of OX40 on activated T cells in situ in tumors has been shown to augment immune responses and subsequent tumor regression.
- Godfrey, W.R. et al. (1994) J. Exp. Med. 180:757
- Baum, P.R. et al. (1994) EMBO J. 13:3992.
- AlShamkhani, A. et al. (1997) J. Biol. Chem. 272:5275.
- Kjaergaard, J. et al. (2000) Cancer Res. 60:5514.
Product Datasheets
FAQs
No product specific FAQs exist for this product, however you may
View all Antibody FAQsReviews for Human OX40 Ligand/TNFSF4 Antibody
Average Rating: 5 (Based on 1 Review)
Have you used Human OX40 Ligand/TNFSF4 Antibody?
Submit a review and receive an Amazon gift card.
$25/€18/£15/$25CAN/¥75 Yuan/¥2500 Yen for a review with an image
$10/€7/£6/$10 CAD/¥70 Yuan/¥1110 Yen for a review without an image
Filter by:
