Human CGRP2 Antibody Summary
Accession # P10092
Applications
Please Note: Optimal dilutions should be determined by each laboratory for each application. General Protocols are available in the Technical Information section on our website.
Scientific Data
View Larger
Human CGRP2 ELISA Standard Curve. Recombinant Human CGRP2 protein was serially diluted 2-fold and captured by Mouse Anti-Human CGRP2 Monoclonal Antibody (MAB11382) coated on a Clear Polystyrene Microplate (Catalog # DY990). Mouse Anti-Human Procalcitonin Monoclonal Antibody (Catalog # MAB11323) was biotinylated and incubated with the protein captured on the plate. Detection of the standard curve was achieved by incubating Streptavidin-HRP (Catalog # DY998) followed by Substrate Solution (Catalog # DY999) and stopping the enzymatic reaction with Stop Solution (Catalog # DY994).
View Larger
Detection of Procalcitonin in TT cell line (positive) and absent in THP‑1 cell line (negative). Procalcitonin was detected in immersion fixed TT human medullary thyroid cancer cell line (positive) and absent in THP‑1 human acute monocytic leukemia cell line (negative) using Mouse Anti-Human Procalcitonin Monoclonal Antibody (Catalog # MAB11323) at 8 µg/mL for 3 hours at room temperature. Cells were stained using the NorthernLights™ 557-conjugated Anti-Mouse IgG Secondary Antibody (red; Catalog # NL007) and counterstained with DAPI (blue). Specific staining was localized to cell surface. View our protocol for Fluorescent ICC Staining of Cells on Coverslips.
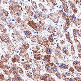
View Larger
Detection of Procalcitonin in Human Liver. Procalcitonin was detected in immersion fixed paraffin-embedded sections of human liver using Mouse Anti-Human Procalcitonin Monoclonal Antibody (Catalog # MAB11323) at 5 µg/mL for 1 hour at room temperature followed by incubation with the Anti-Mouse IgG VisUCyte™ HRP Polymer Antibody (Catalog # VC001). Before incubation with the primary antibody, tissue was subjected to heat-induced epitope retrieval using VisUCyte Antigen Retrieval Reagent-Basic (Catalog # VCTS021). Tissue was stained using DAB (brown) and counterstained with hematoxylin (blue). Specific staining was localized to cytoplasm in hepatocytes. View our protocol for IHC Staining with VisUCyte HRP Polymer Detection Reagents.
Reconstitution Calculator
Preparation and Storage
- 12 months from date of receipt, -20 to -70 °C as supplied.
- 1 month, 2 to 8 °C under sterile conditions after reconstitution.
- 6 months, -20 to -70 °C under sterile conditions after reconstitution.
Background: CGRP2
Calcitonin gene-related peptide or CGRP is a 37-amino acid neuropeptide formed by alternative splicing of the calcitonin/CGRP gene. CGRP is a member of the calcitonin family of peptides consisting of calcitonin, amylin, adrenomedullin, adrenomedullin 2 (intermedin) and calcitonin‑receptor‑stimulating peptide. CGRP is produced in both peripheral and central neurons and induces vasodilation of a variety of
vessels including the coronary, cerebral and systemic vasculature. Its
abundance in the CNS also points toward a neurotransmitter or
neuromodulator role.
Product Datasheets
FAQs
No product specific FAQs exist for this product, however you may
View all Antibody FAQsReviews for Human CGRP2 Antibody
There are currently no reviews for this product. Be the first to review Human CGRP2 Antibody and earn rewards!
Have you used Human CGRP2 Antibody?
Submit a review and receive an Amazon gift card.
$25/€18/£15/$25CAN/¥75 Yuan/¥2500 Yen for a review with an image
$10/€7/£6/$10 CAD/¥70 Yuan/¥1110 Yen for a review without an image
