Human Siglec-3/CD33 Antibody Summary
Asp18-His259
Accession # P20138
Applications
Please Note: Optimal dilutions should be determined by each laboratory for each application. General Protocols are available in the Technical Information section on our website.
Scientific Data
View Larger
Detection of Human Siglec‑3/CD33 by Western Blot. Western blot shows lysates of U937 human histiocytic lymphoma cell line. PVDF membrane was probed with 2 µg/mL of Mouse Anti-Human Siglec-3/CD33 Monoclonal Antibody (Catalog # MAB11371) followed by HRP-conjugated Anti-Mouse IgG Secondary Antibody (Catalog # HAF018). A specific band was detected for Siglec-3/CD33 at approximately 55 kDa (as indicated). This experiment was conducted under reducing conditions and using Immunoblot Buffer Group 1.
View Larger
Siglec‑3/CD33 in U937 and MOLT-4 Human Cell Lines. Siglec-3/CD33 was detected in immersion fixed U937 human histiocytic lymphoma cell line (left panel; positive stain) and MOLT-4 human acute lymphoblastic leukemia cell line (right panel; negative stain) using Mouse Anti-Human Siglec-3/CD33 Monoclonal Antibody (Catalog # MAB11371) at 8 µg/mL for 3 hours at room temperature. Cells were stained using the NorthernLights™ 557-conjugated Anti-Mouse IgG Secondary Antibody (red; Catalog # NL007) and counterstained with DAPI (blue). Specific staining was localized to cell surfaces. View our protocol for Fluorescent ICC Staining of Cells on Coverslips.
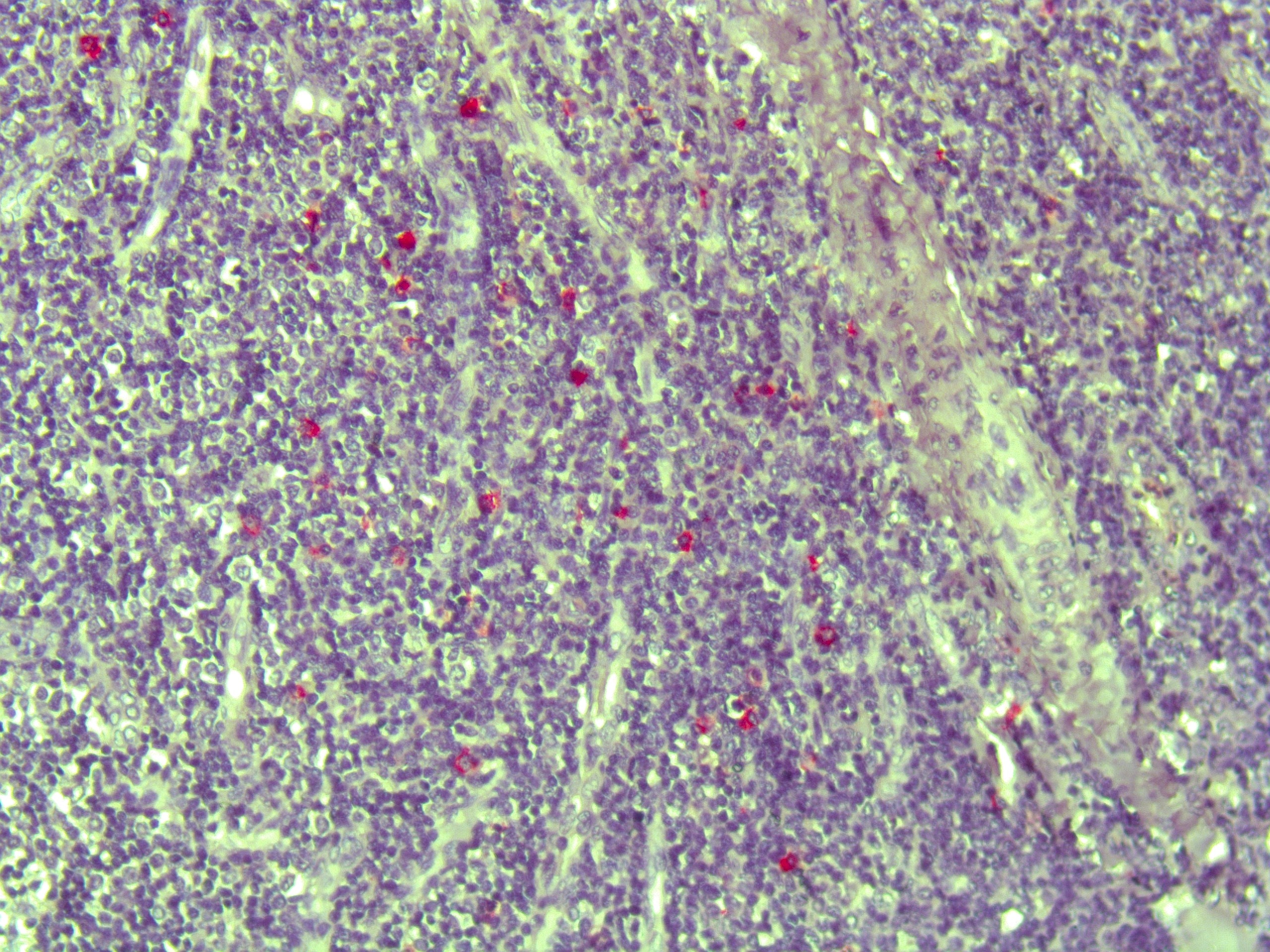
View Larger
Siglec‑3/CD33 in Human Tonsil. Siglec-3/CD33 was detected in immersion fixed paraffin-embedded sections of human tonsil using Mouse Anti-Human Siglec-3/CD33 Monoclonal Antibody (Catalog # MAB11371) at 5 µg/mL for 1 hour at room temperature followed by incubation with the Anti-Mouse IgG VisUCyte™ HRP Polymer Antibody (Catalog # VC001). Before incubation with the primary antibody, tissue was subjected to heat-induced epitope retrieval using Antigen Retrieval Reagent-Basic (Catalog # CTS013). Tissue was stained using DAB (brown) and counterstained with hematoxylin (blue). Specific staining was localized to lymphocytes. View our protocol for IHC Staining with VisUCyte HRP Polymer Detection Reagents.
Reconstitution Calculator
Preparation and Storage
- 12 months from date of receipt, -20 to -70 °C as supplied.
- 1 month, 2 to 8 °C under sterile conditions after reconstitution.
- 6 months, -20 to -70 °C under sterile conditions after reconstitution.
Background: Siglec-3/CD33
Siglecs (sialic acid binding Ig-like lectins) are I-type (Ig-type) lectins belonging to the Ig superfamily. They are characterized by an N‑terminal Ig-like V-type domain which mediates sialic acid binding, followed by varying numbers of Ig-like C2-type domains (1, 2). Eleven human Siglecs have been cloned and characterized. They are sialoadhesin/CD169/Siglec-1, CD22/Siglec-2, CD33/Siglec-3, Myelin-Associated Glycoprotein (MAG/Siglec-4a) and Siglecs 5 to 11 (1‑3). To date, no Siglec has been shown to recognized any cell surface ligand other than sialic acids, suggesting that interactions with glycans containing this carbohydrate are important in mediating the biological functions of Siglecs. Siglecs 5 to 11 share a high degree of sequence similarity with CD33/Siglec-3 both in their extracellular and intracellular regions. They are collectively referred to as CD33-related Siglecs. One remarkable feature of the CD33-related Siglecs is their differential expression pattern within the hematopoietic system (1, 2). This fact, together with the presence of two conserved immunoreceptor tyrosine-based inhibition motifs (ITIMs) in their cytoplasma tails, suggests that CD33-related Siglecs are involved in the regulation of cellular activation within the immune system.
Human Siglec-3 is alternatively known as myeloid cell surface antigen CD33 and GP67. Human Siglec-3 cDNA encodes a 364 amino acid (aa) polypeptide with a hydrophobic signal peptide, an N-terminal Ig-like V-type domain, one Ig-like C2-type domains, a transmembrane region and a cytoplasmic tail (1, 4). Siglec-3 expression is restricted to cells of myelomonocytic lineage (2). It binds sialic acid preferring alpha 2,3- linkage over alpha 2,6- linkage (5). Studies indicated that Siglec-3 recruits SHP-1 and SHP-2 to its ITIMs (6, 7). When co-crosslinking with Fc gamma R1, Siglec-3 inhibits tyrosine phosphorylation and calcium mobilization, suggesting Siglec-3 can mediate inhibitory signals (7).
- Crocker, P.R. and A. Varki (2001) Trends Immunol. 22:337.
- Crocker, P.R. and A. Varki (2001) Immunology 103:137.
- Angata, T. et al. (2002) J. Biol. Chem. 277:24466.
- Simmons, D. and B. Seed (1988) J. Immunol. 141:2797.
- Freeman, S.D. et al. (1995) Blood 85:2002.
- Taylor, V.C. et al. (1999) J. Biol. Chem. 274:11505.
- Ulyanova, T. et al. (1999) Eur. J. Immunol. 29:3440.
Product Datasheets
Citations for Human Siglec-3/CD33 Antibody
R&D Systems personnel manually curate a database that contains references using R&D Systems products. The data collected includes not only links to publications in PubMed, but also provides information about sample types, species, and experimental conditions.
2
Citations: Showing 1 - 2
Filter your results:
Filter by:
-
Prognostic stratification based on the levels of tumor-infiltrating myeloid-derived suppressor cells and PD-1/PD-L1 axis in locally advanced rectal cancer
Authors: Lim YJ, Koh J, Choi M et al.
Frontiers in Oncology
-
Prognostic stratification based on the levels of tumor-infiltrating myeloid-derived suppressor cells and PD-1/PD-L1 axis in locally advanced rectal cancer
Authors: Lim YJ, Koh J, Choi M et al.
Frontiers in Oncology
FAQs
No product specific FAQs exist for this product, however you may
View all Antibody FAQsReviews for Human Siglec-3/CD33 Antibody
Average Rating: 5 (Based on 3 Reviews)
Have you used Human Siglec-3/CD33 Antibody?
Submit a review and receive an Amazon gift card.
$25/€18/£15/$25CAN/¥75 Yuan/¥2500 Yen for a review with an image
$10/€7/£6/$10 CAD/¥70 Yuan/¥1110 Yen for a review without an image
Filter by:
