Human/Mouse/Rat alpha -Smooth Muscle Actin Antibody
Human/Mouse/Rat alpha -Smooth Muscle Actin Antibody Summary
*Small pack size (-SP) is supplied either lyophilized or as a 0.2 µm filtered solution in PBS.
Applications
Please Note: Optimal dilutions should be determined by each laboratory for each application. General Protocols are available in the Technical Information section on our website.
Scientific Data
View Larger
Detection of alpha-Smooth Muscle Actin in Human Breast Tumor via seqIF™ Staining on COMET™ ACTA2 was detected in immersion fixed paraffin-embedded sections of human breast tumor using Mouse Anti-Human/Mouse/Rat alpha-Smooth Muscle Actin Monoclonal Antibody (Catalog # MAB1420) at 0.5ug/mL at 37° Celsius for 4 minutes. Before incubation with the primary antibody, tissue underwent an all-in-one dewaxing and antigen retrieval preprocessing using PreTreatment Module (PT Module) and Dewax and HIER Buffer H (pH 9; Epredia Catalog # TA-999-DHBH). Tissue was stained using the Alexa Fluor™ 555 Goat anti-Mouse IgG Secondary Antibody at 1:100 at 37 ° Celsius for 2 minutes. (Yellow; Lunaphore Catalog # DR555MS) and counterstained with DAPI (blue; Lunaphore Catalog # DR100).. Specific staining was localized to the cytoplasm of smooth muscle cells. Protocol available in available in COMET™ Panel Builder.
View Larger
Detection of Human alpha ‑Smooth Muscle Actin by Western Blot. Western blot shows lysates of human heart tissue and iBJ6 human induced pluripotent stem cell line undifferentiated or cardiac differentiated. PVDF membrane was probed with 0.25 µg/mL of Mouse Anti-Human/ Mouse/Rat a-Smooth Muscle Actin Monoclonal Antibody (Catalog # MAB1420) followed by HRP-conjugated Anti-Mouse IgG Secondary Antibody (HAF018). A specific band was detected for a-Smooth Muscle Actin at approximately 40 kDa (as indicated). This experiment was conducted under reducing conditions and using Immunoblot Buffer Group 1.
View Larger
Detection of Mouse and Rat alpha ‑Smooth Muscle Actin by Western Blot. Western blot shows lysates of mouse colon tissue, C2C12 mouse myoblast cell line, NIH-3T3 mouse embryonic fibroblast cell line, and rat colon tissue. PVDF membrane was probed with 0.1 µg/mL of Mouse Anti-Human/Mouse/Rat a-Smooth Muscle Actin Monoclonal Antibody (Catalog # MAB1420) followed by HRP-conjugated Anti-Mouse IgG Secondary Antibody (HAF018). A specific band was detected for a-Smooth Muscle Actin at approximately 42 kDa (as indicated). This experiment was conducted under reducing conditions and using Immunoblot Buffer Group 1.
View Larger
alpha ‑Smooth Muscle Actin in BG01V Human Embryonic Stem Cells. a-Smooth Muscle Actin was detected in immersion fixed BG01V human embryonic stem cells differentiated to cardiomyocytes using Mouse Anti-Human/Mouse/ Rat a-Smooth Muscle Actin Monoclonal Antibody (Catalog # MAB1420) at 10 µg/mL for 3 hours at room temperature. Cells were stained using the NorthernLights™ 557-conjugated Anti-Mouse IgG Secondary Antibody (red; NL007) and counterstained with DAPI (blue). Specific staining was localized to cytoplasm and cytoskeleton. View our protocol for Fluorescent ICC Staining of Cells on Coverslips.
View Larger
alpha -Smooth Muscle Actin in Human Breast Cancer Tissue. a-Smooth Muscle Actin was detected in immersion fixed paraffin-embedded sections of human breast cancer tissue using Mouse Anti-Human/ Mouse/Rat a-Smooth Muscle Actin Monoclonal Antibody (Catalog # MAB1420) at 8 µg/mL overnight at 4 °C. Tissue was stained using the Anti-Mouse HRP-DAB Cell & Tissue Staining Kit (brown; CTS002) and counterstained with hematoxylin (blue). View our protocol for Chromogenic IHC Staining of Paraffin-embedded Tissue Sections.
View Larger
Detection of Human alpha ‑Smooth Muscle Actin by Simple WesternTM. Simple Western lane view shows lysates of iBJ6 human induced pluripotent stem cell line untreated (-) or differentiated to cardiomyocytes (+), loaded at 0.2 mg/mL. A specific band was detected for alpha ‑Smooth Muscle Actin at approximately 49 kDa (as indicated) using 10 µg/mL of Mouse Anti-Human/Mouse/Rat alpha ‑Smooth Muscle Actin Monoclonal Antibody (Catalog # MAB1420). This experiment was conducted under reducing conditions and using the 12-230 kDa separation system.
View Larger
alpha-Smooth Muscle Actin in Human Breast Cancer Tissue Using Dual RNAscope®ISH and IHC. alpha-Smooth Muscle Actin mRNA was detected (top image) in formalin-fixed paraffin-embedded tissue sections of human breast cancer tissue probed with ACD RNAScope® Probe (Catalog # 444771-C2) and stained using ACD RNAscope® 2.5 HD Duplex Detection Reagents (red, Catalog # 322500). Adjacent tissue section (bottom image) was processed for immunohistochemistry using R&D Systems Mouse Anti-Human/Mouse/Rat alpha-Smooth Muscle Actin Monoclonal Antibody (Catalog # MAB1420) at 0.5 μg/mL for 1 hour at room temperature followed by incubation with the Anti-Mouse IgG VisUCyte HRP Polymer Antibody (VC001) and DAB chromogen (brown). Tissues were counterstained with hematoxylin (blue).
View Larger
Detection of alpha ‑Smooth Muscle Actin in Human Blood Monocytes by Flow Cytometry. Human peripheral blood monocytes were stained with Mouse Anti-Human/Mouse/Rat a-Smooth Muscle Actin Monoclonal Antibody (Catalog # MAB1420, filled histogram) or isotype control antibody (MAB003, open histogram), followed by Allophycocyanin-conjugated Anti-Mouse IgG Secondary Antibody (F0101B). To facilitate intracellular staining, cells were fixed with Flow Cytometry Fixation Buffer (FC004) and permeabilized with Flow Cytometry Permeabilization/Wash Buffer I (Catalog # FC005). View our protocol for Staining Intracellular Molecules.
View Larger
Detection of Human alpha-Smooth Muscle Actin by Immunocytochemistry/Immunofluorescence Overview of Multi-dimensional Microscopic Molecular Profiling (MMMP).The overall MMMP approach is depicted using an example tissue section from normal human duodenum (sample #1.9.7). (a) Slides were subjected to repeated cycles of staining and imaging with fluorescent primary antibodies and DAPI. At the end of each cycle, fluorescent signal was removed by a chemical bleaching process, and slides were again imaged, before proceeding to the next round of this iterative procedure. After the final antibody stain (#15 Sma), slides were analyzed with a series of histochemical stains. (b) A set of tiling images spanning each tissue section was initially generated by the microscope system. The tiling images were then computationally ‘stitched’ together to produce a single image per staining cycle for each sample. (c) Image registration was performed to align images from the same tissue section across cycles. Mean intensities of the DAPI signal from all immuno-fluorescence images are shown from before (Unregistered) and after (Registered) the image registration procedure was completed. (d) Following registration, signal intensities from the relevant channels for each image (columns) in the MMMP series were extracted for each pixel (rows) within the tissue section and compiled into a large data matrix of in situ molecular profiles. Image collected and cropped by CiteAb from the following publication (https://dx.plos.org/10.1371/journal.pone.0128975), licensed under a CC-BY license. Not internally tested by R&D Systems.
View Larger
Detection of Human alpha-Smooth Muscle Actin by Immunocytochemistry/Immunofluorescence Functional glycosylation of alpha ‐dystroglycan and characterization of dystroglycanopathy patient‐specific iPSCsCurrent model of the core M3 functional glycan structure on alpha ‐dystroglycan and enzymes involved in its synthesis. ECM ligands, such as laminins, bind to the Xyl‐GlucA disaccharide repeats (IIH6 epitope). Man, mannose; GlcNAc, N‐acetylglucosamine; GalNAc, N‐acetylgalactosamine; Rbo5P, ribitol‐5‐phosphate; Xyl, xylose; GlcA, glucuronic acid.Representative images of immunostaining demonstrate that FKRP‐iPSCs express specific pluripotency‐associated markers, including NANOG, OCT4, Tra‐1‐60, and SSEA4.FKRP‐iPSCs have a normal karyotype.In vitro differentiation of FKRP‐iPSCs to cells representing ectoderm ( beta ‐III Tubulin, Tuj1), mesoderm (SMA, smooth muscle actin), and endoderm (AFP, alpha ‐fetoprotein).Data information: Scale bars, 50 μm. Image collected and cropped by CiteAb from the following publication (https://pubmed.ncbi.nlm.nih.gov/31566294), licensed under a CC-BY license. Not internally tested by R&D Systems.
View Larger
Detection of Human Human/Mouse/Rat alpha-Smooth Muscle Actin Antibody by Immunohistochemistry Overview of Multi-dimensional Microscopic Molecular Profiling (MMMP).The overall MMMP approach is depicted using an example tissue section from normal human duodenum (sample #1.9.7). (a) Slides were subjected to repeated cycles of staining and imaging with fluorescent primary antibodies and DAPI. At the end of each cycle, fluorescent signal was removed by a chemical bleaching process, and slides were again imaged, before proceeding to the next round of this iterative procedure. After the final antibody stain (#15 Sma), slides were analyzed with a series of histochemical stains. (b) A set of tiling images spanning each tissue section was initially generated by the microscope system. The tiling images were then computationally ‘stitched’ together to produce a single image per staining cycle for each sample. (c) Image registration was performed to align images from the same tissue section across cycles. Mean intensities of the DAPI signal from all immuno-fluorescence images are shown from before (Unregistered) and after (Registered) the image registration procedure was completed. (d) Following registration, signal intensities from the relevant channels for each image (columns) in the MMMP series were extracted for each pixel (rows) within the tissue section and compiled into a large data matrix of in situ molecular profiles. Image collected and cropped by CiteAb from the following publication (https://pubmed.ncbi.nlm.nih.gov/26176839), licensed under a CC-BY license. Not internally tested by R&D Systems.
View Larger
Detection of Human Human/Mouse/Rat alpha-Smooth Muscle Actin Antibody by Immunocytochemistry/ Immunofluorescence Functional glycosylation of alpha ‐dystroglycan and characterization of dystroglycanopathy patient‐specific iPSCsCurrent model of the core M3 functional glycan structure on alpha ‐dystroglycan and enzymes involved in its synthesis. ECM ligands, such as laminins, bind to the Xyl‐GlucA disaccharide repeats (IIH6 epitope). Man, mannose; GlcNAc, N‐acetylglucosamine; GalNAc, N‐acetylgalactosamine; Rbo5P, ribitol‐5‐phosphate; Xyl, xylose; GlcA, glucuronic acid.Representative images of immunostaining demonstrate that FKRP‐iPSCs express specific pluripotency‐associated markers, including NANOG, OCT4, Tra‐1‐60, and SSEA4.FKRP‐iPSCs have a normal karyotype.In vitro differentiation of FKRP‐iPSCs to cells representing ectoderm ( beta ‐III Tubulin, Tuj1), mesoderm (SMA, smooth muscle actin), and endoderm (AFP, alpha ‐fetoprotein).Data information: Scale bars, 50 μm. Image collected and cropped by CiteAb from the following publication (https://pubmed.ncbi.nlm.nih.gov/31566294), licensed under a CC-BY license. Not internally tested by R&D Systems.
View Larger
Detection of Human alpha-Smooth Muscle Actin by Immunocytochemistry/ Immunofluorescence Functional glycosylation of alpha ‐dystroglycan and characterization of dystroglycanopathy patient‐specific iPSCsCurrent model of the core M3 functional glycan structure on alpha ‐dystroglycan and enzymes involved in its synthesis. ECM ligands, such as laminins, bind to the Xyl‐GlucA disaccharide repeats (IIH6 epitope). Man, mannose; GlcNAc, N‐acetylglucosamine; GalNAc, N‐acetylgalactosamine; Rbo5P, ribitol‐5‐phosphate; Xyl, xylose; GlcA, glucuronic acid.Representative images of immunostaining demonstrate that FKRP‐iPSCs express specific pluripotency‐associated markers, including NANOG, OCT4, Tra‐1‐60, and SSEA4.FKRP‐iPSCs have a normal karyotype.In vitro differentiation of FKRP‐iPSCs to cells representing ectoderm ( beta ‐III Tubulin, Tuj1), mesoderm (SMA, smooth muscle actin), and endoderm (AFP, alpha ‐fetoprotein).Data information: Scale bars, 50 μm. Image collected and cropped by CiteAb from the following open publication (https://pubmed.ncbi.nlm.nih.gov/31566294), licensed under a CC-BY license. Not internally tested by R&D Systems.
View Larger
Detection of Rat alpha-Smooth Muscle Actin by Western Blot Effect of media composition on RBEC barrier formation&characteristics. (a) Comparison of the effects of the DMEM/MVGS&EBM-2/EGM-2 media formulations on the TEER of RBECs grown for 14 days on cell culture inserts. Data is presented as mean ± SEM&was analysed using an unpaired, two-tailed students t-test, ***P < 0.0001; n = 5 independent cell culture experiments in 24-well plates, with 3 inserts per experiment, equivalent to 15 inserts total. (b) Calculated permeability coefficients for the paracellular passage of 100 μM (50 μg/mL) Lucifer yellow over a 90 minute period at 37°C across RBEC monolayers on cell culture inserts cultured in DMEM/MVGS&EBM-2/EGM-2 media formulations. Data is presented as mean ± SEM&was analysed using an unpaired, two-tailed students t-test, ***P < 0.0001; n = 5 independent cell culture experiments, with 3 inserts per experiment, equivalent to 15 inserts total. Fluorescence microscope images of RBECs stained with an antibody raised against the tight junction protein claudin-5 following culture in (c) DMEM/MVGS supplement, or (d) EBM-2/EGM-2. White arrows indicate regions of discontinuous claudin-5 staining. Images are representative of 3 independent cultures, with five fields of view taken from each individual preparation of cells using the 20× objective on an Olympus IX81 microscope. (e) WB analysis of claudin-5 protein expression levels in RBECs cultured in DMEM/MVGS&EBM-2/EGM-2. Blots reprobed with anti-actin antibodies as a control for equal loading of cell lysates. (f) Densitometry analysis of claudin-5 band intensity, normalised to actin levels, for RBECs grown in DMEM/MVGS vs. EBM-2/EGM-2. Data is presented as mean ± SEM&was analysed using an unpaired, two-tailed students t-test, *P < 0.01; n = 3 independent experiments. Image collected&cropped by CiteAb from the following open publication (https://pubmed.ncbi.nlm.nih.gov/23773766), licensed under a CC-BY license. Not internally tested by R&D Systems.
View Larger
Detection of Human alpha-Smooth Muscle Actin by Immunohistochemistry Overview of Multi-dimensional Microscopic Molecular Profiling (MMMP).The overall MMMP approach is depicted using an example tissue section from normal human duodenum (sample #1.9.7). (a) Slides were subjected to repeated cycles of staining and imaging with fluorescent primary antibodies and DAPI. At the end of each cycle, fluorescent signal was removed by a chemical bleaching process, and slides were again imaged, before proceeding to the next round of this iterative procedure. After the final antibody stain (#15 Sma), slides were analyzed with a series of histochemical stains. (b) A set of tiling images spanning each tissue section was initially generated by the microscope system. The tiling images were then computationally ‘stitched’ together to produce a single image per staining cycle for each sample. (c) Image registration was performed to align images from the same tissue section across cycles. Mean intensities of the DAPI signal from all immuno-fluorescence images are shown from before (Unregistered) and after (Registered) the image registration procedure was completed. (d) Following registration, signal intensities from the relevant channels for each image (columns) in the MMMP series were extracted for each pixel (rows) within the tissue section and compiled into a large data matrix of in situ molecular profiles. Image collected and cropped by CiteAb from the following open publication (https://pubmed.ncbi.nlm.nih.gov/26176839), licensed under a CC-BY license. Not internally tested by R&D Systems.
View Larger
Detection of Human alpha-Smooth Muscle Actin by Immunocytochemistry/ Immunofluorescence Overview of Multi-dimensional Microscopic Molecular Profiling (MMMP).The overall MMMP approach is depicted using an example tissue section from normal human duodenum (sample #1.9.7). (a) Slides were subjected to repeated cycles of staining and imaging with fluorescent primary antibodies and DAPI. At the end of each cycle, fluorescent signal was removed by a chemical bleaching process, and slides were again imaged, before proceeding to the next round of this iterative procedure. After the final antibody stain (#15 Sma), slides were analyzed with a series of histochemical stains. (b) A set of tiling images spanning each tissue section was initially generated by the microscope system. The tiling images were then computationally ‘stitched’ together to produce a single image per staining cycle for each sample. (c) Image registration was performed to align images from the same tissue section across cycles. Mean intensities of the DAPI signal from all immuno-fluorescence images are shown from before (Unregistered) and after (Registered) the image registration procedure was completed. (d) Following registration, signal intensities from the relevant channels for each image (columns) in the MMMP series were extracted for each pixel (rows) within the tissue section and compiled into a large data matrix of in situ molecular profiles. Image collected and cropped by CiteAb from the following open publication (https://pubmed.ncbi.nlm.nih.gov/26176839), licensed under a CC-BY license. Not internally tested by R&D Systems.
View Larger
Detection of alpha-Smooth Muscle Actin in Mouse Lung. IF staining with a-sma in mouse lung tissue to visualize vessels, 10x. Image from a verified customer review.
View Larger
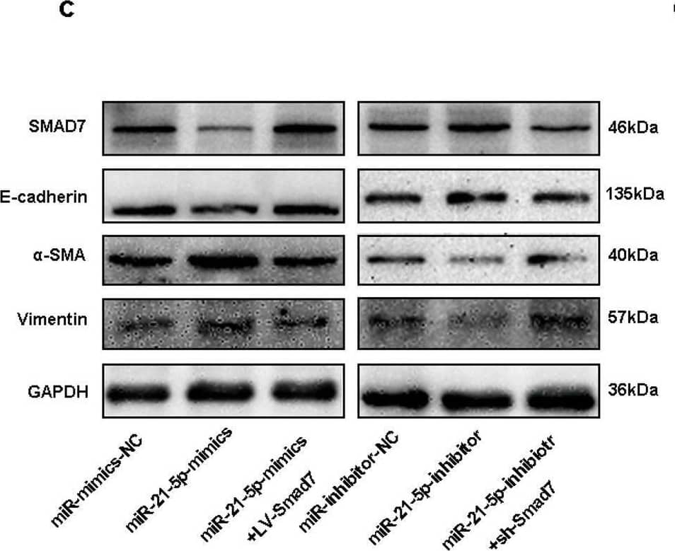
Detection of alpha -Smooth Muscle Actin by Western Blot MiR-21-5p promotes MMT of HMrSV5 via targeting SMAD7.a, b To investigate the rescue function of SMAD7, adhesion (Scale bar = 100 µm) and invasion (Scale bar = 100 µm) assays were performed in HMrSV5-miR-21-5p-mimics or HMrSV5-miR-21-5p-inhibitor cells which were transfected with LV-SMAD7 or sh-SMAD7 without its 3’UTR. The negative controls for miR-21-5p-mimics + LV-SMAD7 and miR-21-5p-inhibitor + sh-SMAD7 were miR-21-5p-mimics and miR-21-5p-inhibitor, respectively. c, d The alteration of protein levels (including SMAD7, E-cadherin, alpha -SMA and Vimentin) were measured by western blot. GAPDH was used as a loading control. Each experiment was repeated at least three times. All the data were expressed as the mean ± SEM, and the results of multiple comparisons were corrected with Bonferroni method (Student’s t-test *P < 0.05, **P < 0.01, ***P < 0.001) Image collected and cropped by CiteAb from the following open publication (https://pubmed.ncbi.nlm.nih.gov/30154401), licensed under a CC-BY license. Not internally tested by R&D Systems.
View Larger
Detection of Rat alpha -Smooth Muscle Actin by Western Blot Effect of media composition on RBEC barrier formation & characteristics. (a) Comparison of the effects of the DMEM/MVGS & EBM-2/EGM-2 media formulations on the TEER of RBECs grown for 14 days on cell culture inserts. Data is presented as mean ± SEM & was analysed using an unpaired, two-tailed students t-test, ***P < 0.0001; n = 5 independent cell culture experiments in 24-well plates, with 3 inserts per experiment, equivalent to 15 inserts total. (b) Calculated permeability coefficients for the paracellular passage of 100 μM (50 μg/mL) Lucifer yellow over a 90 minute period at 37°C across RBEC monolayers on cell culture inserts cultured in DMEM/MVGS & EBM-2/EGM-2 media formulations. Data is presented as mean ± SEM & was analysed using an unpaired, two-tailed students t-test, ***P < 0.0001; n = 5 independent cell culture experiments, with 3 inserts per experiment, equivalent to 15 inserts total. Fluorescence microscope images of RBECs stained with an antibody raised against the tight junction protein claudin-5 following culture in (c) DMEM/MVGS supplement, or (d) EBM-2/EGM-2. White arrows indicate regions of discontinuous claudin-5 staining. Images are representative of 3 independent cultures, with five fields of view taken from each individual preparation of cells using the 20× objective on an Olympus IX81 microscope. (e) Western blot analysis of claudin-5 protein expression levels in RBECs cultured in DMEM/MVGS & EBM-2/EGM-2. Blots were reprobed with anti-actin antibodies as a control for equal loading of cell lysates. (f) Densitometry analysis of claudin-5 band intensity, normalised to actin levels, for RBECs grown in DMEM/MVGS vs. EBM-2/EGM-2. Data is presented as mean ± SEM & was analysed using an unpaired, two-tailed students t-test, *P < 0.01; n = 3 independent experiments. Image collected & cropped by CiteAb from the following open publication (https://pubmed.ncbi.nlm.nih.gov/23773766), licensed under a CC-BY license. Not internally tested by R&D Systems.
View Larger
Detection of alpha -Smooth Muscle Actin by Western Blot MiR-21-5p promotes GC peritoneal metastasis by inducing MMT in vivo. A Western blot was performed to analyse the expression levels of SMAD7, E-cadherin, alpha -SMA, and Vimentin in peritoneal tissues from different groups. GAPDH was used as a loading control. b, d Bioluminescence images of tumor peritoneal dissemination in different groups, and the luciferase activity was analyzed. c, e Representative images were captured from different groups, and tumors were outlined in white. f HE stain for tumor tissues from each groups (Scale bar = 50 µm, 100X magnification; Scale bar = 100 µm, 400X magnification). Each experiment was repeated at least three times. All the data were expressed as mean ± SEM (Student’s t-test *P < 0.05, **P < 0.01, ***P < 0.001) Image collected and cropped by CiteAb from the following open publication (https://pubmed.ncbi.nlm.nih.gov/30154401), licensed under a CC-BY license. Not internally tested by R&D Systems.
View Larger
Detection of Human alpha -Smooth Muscle Actin by Immunohistochemistry Overview of Multi-dimensional Microscopic Molecular Profiling (MMMP).The overall MMMP approach is depicted using an example tissue section from normal human duodenum (sample #1.9.7). (a) Slides were subjected to repeated cycles of staining and imaging with fluorescent primary antibodies and DAPI. At the end of each cycle, fluorescent signal was removed by a chemical bleaching process, and slides were again imaged, before proceeding to the next round of this iterative procedure. After the final antibody stain (#15 Sma), slides were analyzed with a series of histochemical stains. (b) A set of tiling images spanning each tissue section was initially generated by the microscope system. The tiling images were then computationally ‘stitched’ together to produce a single image per staining cycle for each sample. (c) Image registration was performed to align images from the same tissue section across cycles. Mean intensities of the DAPI signal from all immuno-fluorescence images are shown from before (Unregistered) and after (Registered) the image registration procedure was completed. (d) Following registration, signal intensities from the relevant channels for each image (columns) in the MMMP series were extracted for each pixel (rows) within the tissue section and compiled into a large data matrix of in situ molecular profiles. Image collected and cropped by CiteAb from the following open publication (https://pubmed.ncbi.nlm.nih.gov/26176839), licensed under a CC-BY license. Not internally tested by R&D Systems.
View Larger
Detection of alpha -Smooth Muscle Actin by Western Blot GC-derived exosomes induce MMT of HMrSV5 cells in vivo and promote peritoneal metastasis. A Invasion assays of HMrSV5 cells which were pretreated with 200 µg exosomes isolated from culture supernatant of four GC cells and GES-1 cells. Scale bar = 100 µm. b Adhesion assays of HMrSV5 cells which were pretreated with 200 µg exosomes. Scale bar = 100 µm. Calcein AM labeled BGC823 cells were added to investigate the adhesion ability of HMrSV5. c Bioluminescence images of tumor peritoneal dissemination. d MMT protein markers (Vimentin and alpha -SMA) were identified by immunofluorescence assays in exosomes-treated group and control group. Scale bar = 50 µm. e Western blot was performed to further confirm the MMT protein markers (including E-cadherin, alpha -SMA, and Vimentin). GES-1 cells-derived exosomes were used as the negative control in vivo and in vitro. GAPDH was used as an internal reference for western blot. Each experiment was repeated at least three times. All the data were expressed as mean ± SEM, and the results of multiple comparisons were corrected with Bonferroni method (Student’s t-test *P < 0.05, **P < 0.01, ***P < 0.001) Image collected and cropped by CiteAb from the following open publication (https://pubmed.ncbi.nlm.nih.gov/30154401), licensed under a CC-BY license. Not internally tested by R&D Systems.
View Larger
Detection of alpha -Smooth Muscle Actin by Western Blot 9-ING-41 blocks TGF-beta mediated fibroblast to myofibroblast transition. Fibroblasts (normal, A,B and IPF, C,D) were treated with various doses of 9-ING-41 (10-0.5 µM) in serum free media. Cells were then treated with TGF-beta for 48 h. Conditioned medias and cell lysates were then resolved by SDS-PAGE and immunoblotted for collagen (Col-1), alpha -SMA, GSK-3 beta, and tyrosine-216 phosphorylated GSK-3 beta. Under control conditions, TGF-beta induced Col-1 and alpha -SMA protein in NF and IPF fibroblasts (A and C). 9-ING-41 (10 and 5 µM) significantly blocked TGF-beta mediated induction of alpha -SMA and Col-1 in NF and IPF cells. Tyr-216 phosphorylation of GSK-3 beta (pGSKt) was likewise reduced by pretreatment with 9-ING-41 in both NF and IPF fibroblasts. Graphed data are the means of n = 3 independent experiments. Images are representative of 3–4 independent experiments. Total RNA was isolated from TGF-beta treated cells in the presence or absence varying doses 9-ING-41 (10–0.5 µM). Changes in alpha -SMA and collagen 1 expression were then determined by qPCR analyses (B and D). GAPDH was used as the reference gene. Data are expressed as mean ± SEM. n = 3 independent experiments. *Denotes p < 0.05 compared to TGF-beta control. Normal (E) and IPF (F) fibroblasts were treated with varying doses of TDZD-8 (40-5 µM) prior to the addition of TGF-beta. Cell lysates and conditioned media were then resolved via SDS-PAGE and probed for changes alpha -SMA and collagen. beta -actin was the loading control. TDZD-8 modestly reduced alpha -SMA and collagen induction by TGF-beta at the highest dose (40 µM). Images are representative of two independent experiments. Image collected and cropped by CiteAb from the following open publication (https://pubmed.ncbi.nlm.nih.gov/31831767), licensed under a CC-BY license. Not internally tested by R&D Systems.
View Larger
Detection of Human alpha -Smooth Muscle Actin by Western Blot Restoration of RAR beta expression by RA. (A) mRNA expression levels of RAR beta are significantly increased in LAM cell lines (n=4) compared to controls BSMC and NHLF after 2 μM RA treatment for 24 h. Significant changes are marked as ★ (P<0.05). (B, C), Protein expression levels of RAR beta using immunofluorescence staining in LAM cell lines compared to controls (BSMC and NHLF) after 2 μM RA treatment for 24 h. Immunofluorescence staining RAR beta green, DAPI blue, magnification 40x, size-bar 40 μm. (D, E) Western blot analysis of RAR beta protein levels in LAM cell lines and control cells (NHLF and BSMC). (F, G) Western blot analysis of RAR beta, S6 and pS6 protein levels in S102 cell line compared to S103. WB protein expression levels were quantified by ImageJ and are presented as percentage compared to controls. Changes are marked as N.S. (Non Significant) or significant ★, ★★, ★★★ and ★★★★ (P<0.05, P<0.001, P<0.0002 and P<0.0001, respectively). Image collected and cropped by CiteAb from the following open publication (https://pubmed.ncbi.nlm.nih.gov/34178631), licensed under a CC-BY license. Not internally tested by R&D Systems.
View Larger
Detection of Human alpha -Smooth Muscle Actin by Western Blot Restoration of RAR beta expression by RA. (A) mRNA expression levels of RAR beta are significantly increased in LAM cell lines (n=4) compared to controls BSMC and NHLF after 2 μM RA treatment for 24 h. Significant changes are marked as ★ (P<0.05). (B, C), Protein expression levels of RAR beta using immunofluorescence staining in LAM cell lines compared to controls (BSMC and NHLF) after 2 μM RA treatment for 24 h. Immunofluorescence staining RAR beta green, DAPI blue, magnification 40x, size-bar 40 μm. (D, E) Western blot analysis of RAR beta protein levels in LAM cell lines and control cells (NHLF and BSMC). (F, G) Western blot analysis of RAR beta, S6 and pS6 protein levels in S102 cell line compared to S103. WB protein expression levels were quantified by ImageJ and are presented as percentage compared to controls. Changes are marked as N.S. (Non Significant) or significant ★, ★★, ★★★ and ★★★★ (P<0.05, P<0.001, P<0.0002 and P<0.0001, respectively). Image collected and cropped by CiteAb from the following open publication (https://pubmed.ncbi.nlm.nih.gov/34178631), licensed under a CC-BY license. Not internally tested by R&D Systems.
View Larger
Detection of Mouse alpha -Smooth Muscle Actin by Western Blot PAI-1 regulates the activation of LX-2 cells involving EMT pathway. (A) Relative mRNA expression of PAI-1 in LX-2 cells when treated with eupatilin (mean ± SD, n = 3). (B) Western blot analysis of PAI-1 in LX-2 cells. (C) Relative protein signal intensity of Figure 4B was quantified as mean ± standard deviation (mean ± SD, n = 3). (D) Protein levels of PAI-1, N-cadherin, COL1 alpha 1 and alpha -SMA detected by Western blotting. LX-2 cells were transfected with control (shRNA-Ctrl) or shRNA targeting PAI-1 (shRNA-PAI-1 1 and shRNA-PAI-1 2) for 48 h. (E) Relative protein signal intensity of Figure 4D was quantified as mean ± standard deviation (mean ± SD, n = 3). (F) Cell viability of LX-2 cells transfected with shRNA-Ctrl or shRNA-PAI-1 detected by CCK8 assay (mean ± SD, n = 4). p values are calculated by one-way ANOVA followed by the Tukey’s test. ** p < 0.01 and *** p < 0.001 vs. 0 μM EUP group. #p < 0.05, ##p < 0.01 and ###p < 0.001 vs. shRNA-Ctrl group. EUP: Eupatilin; alpha -SMA: alpha -smooth muscle actin; COL1 alpha 1: Collagen type I alpha 1; PAI-1: Plasminogen activator inhibitor-1; GAPDH: Glyceraldehyde-3-phosphate dehydrogenase. Image collected and cropped by CiteAb from the following open publication (https://www.mdpi.com/1422-0067/24/6/5933), licensed under a CC-BY license. Not internally tested by R&D Systems.
View Larger
Detection of Mouse alpha -Smooth Muscle Actin by Western Blot Eupatilin represses the activation of LX-2 cells. (A) Chemical structure of eupatilin. (B) Protein expression of COL1 alpha 1, alpha -SMA detected 48 h after eupatilin treatment by Western blotting. (C) Relative protein signal intensity was quantified as mean ± standard deviation (mean ± SD, n = 3). p values are calculated by one-way ANOVA followed by the Tukey’s test. * p < 0.05, ** p < 0.01 and *** p < 0.001 vs. 0 μM EUP group. (D) Heatmap showing expression level of collagens evaluated by transcriptome analysis (n = 3). (E) The top five reactome pathways of the DEGs in transcriptome analysis. EUP: Eupatilin; alpha -SMA: alpha -smooth muscle actin; COL1 alpha 1: Collagen type I alpha 1; COL1 alpha 2: Collagen type I alpha 2; COL8 alpha 1: Collagen type VIII alpha 1; COL9 alpha 2: Collagen type IX alpha 2; COL12 alpha 1: Collagen type XII alpha 1; COL11 alpha 1: Collagen type XI alpha 1; COL17 alpha 1: Collagen type X VII alpha 1; GAPDH: Glyceraldehyde-3-phosphate dehydrogenase. Image collected and cropped by CiteAb from the following open publication (https://www.mdpi.com/1422-0067/24/6/5933), licensed under a CC-BY license. Not internally tested by R&D Systems.
View Larger
Detection of Mouse alpha -Smooth Muscle Actin by Western Blot Eupatilin inhibits expression of COL1 alpha 1, alpha -SMA, PAI-1, N-cadherin, and beta -catenin in the liver tissues of model group treated with the high-dose eupatilin. (A) Western blot analysis of COL1 alpha 1, alpha -SMA, PAI-1, N-cadherin and beta -catenin in CCl4-induced mice liver tissues treated with eupatilin (40 mg/kg). (B) Relative protein signal intensity was quantified as mean ± standard deviation (mean ± SD, n = 6). ##p < 0.01 and ###p < 0.001 vs. control group. ** p < 0.01 and *** p < 0.001 vs. model group. p values are calculated by one-way ANOVA followed by the Tukey’s test. H-EUP: High-dose eupatilin; COL1 alpha 1: Collagen type I alpha 1; alpha -SMA: alpha -smooth muscle actin; PAI-1: Plasminogen activator inhibitor-1; GAPDH: Glyceraldehyde-3-phosphate dehydrogenase; EMT: Epithelial–mesenchymal transition; ECM: Extracellular matrix. Image collected and cropped by CiteAb from the following open publication (https://www.mdpi.com/1422-0067/24/6/5933), licensed under a CC-BY license. Not internally tested by R&D Systems.
Reconstitution Calculator
Preparation and Storage
- 12 months from date of receipt, -20 to -70 °C as supplied.
- 1 month, 2 to 8 °C under sterile conditions after reconstitution.
- 6 months, -20 to -70 °C under sterile conditions after reconstitution.
Background: alpha-Smooth Muscle Actin
alpha ‑Smooth Muscle Actin has been frequently used as a marker of smooth muscle differentiation (1, 2).
- Skalli, O. et al. (1986) J. Cell Biol. 103:2787.
- Oishi, K. et al. (2002) J. Physiol. 540:139.
Product Datasheets
Citations for Human/Mouse/Rat alpha -Smooth Muscle Actin Antibody
R&D Systems personnel manually curate a database that contains references using R&D Systems products. The data collected includes not only links to publications in PubMed, but also provides information about sample types, species, and experimental conditions.
139
Citations: Showing 1 - 10
Filter your results:
Filter by:
-
Astragaloside IV regulates NF-kappa B mediated cellular senescence and apoptosis of hepatic stellate cells to suppress PDGF BB induced activation
Authors: Chen Z, Yao L, Liu Y et al.
Exp Ther Med
-
Structural Remodeling of the Human Colonic Mesenchyme in Inflammatory Bowel Disease.
Authors: Kinchen J, Chen HH, Parikh K et al.
Cell
-
Engineered Fibroblast Extracellular Vesicles Attenuate Pulmonary Inflammation and Fibrosis in Bleomycin-Induced Lung Injury
Authors: Abdulrahman Ibrahim, Alessandra Ciullo, Chang Li, Akbarshakh Akhmerov, Kiel Peck, K. C. Jones-Ungerleider et al.
Frontiers in Cell and Developmental Biology
-
Fetal and trophoblast PI3K p110 alpha have distinct roles in regulating resource supply to the growing fetus in mice
Authors: Jorge López-Tello, Vicente Pérez-García, Jaspreet Khaira, Laura C Kusinski, Wendy N Cooper, Adam Andreani et al.
eLife
-
Downregulation of syndecan?1 expression induces activation of hepatic stellate cells via the TGF??1/Smad3 signaling pathway
Authors: M Deng, L Xu, X Xie, X Sheng, Z Zou, M Yao
Mol Med Rep, 2019-05-09;0(0):.
-
Generation of a gene-corrected human isogenic iPSC line from an Alzheimer's disease iPSC line carrying the London mutation in APP (V717I)
Authors: D Hernández, S Morgan Sch, M Daniszewsk, CM Karch, Dominantly, AM Goate, A Pébay
Stem Cell Research, 2021-04-30;53(0):102373.
-
Evolution of nasal and olfactory infection characteristics of SARS-CoV-2 variants
Authors: Chen M, Pekosz A, Villano JS et al.
bioRxiv : the preprint server for biology
-
Eupatilin Ameliorates Hepatic Fibrosis and Hepatic Stellate Cell Activation by Suppressing beta-catenin/PAI-1 Pathway
Authors: J Hu, Y Liu, Z Pan, X Huang, J Wang, W Cao, Z Chen
International Journal of Molecular Sciences, 2023-03-21;24(6):.
-
Comparison of Tumor- and Bone Marrow-Derived Mesenchymal Stromal/Stem Cells from Patients with High-Grade Osteosarcoma
Authors: LR Le Nail, M Brennan, P Rosset, F Deschaseau, P Piloquet, O Pichon, C Le Caignec, V Crenn, P Layrolle, O Hérault, G De Pinieux, V Trichet
Int J Mol Sci, 2018-03-01;19(3):.
-
EPHB2 promotes diet-induced MASH liver fibrosis
Authors: Yoshigi, M;Kamdem, SD;Kameni, EM;Atiogue, E;Pellizzari, S;Sprouse, F;Evason, KJ;Helms, MN;Goodman, M;Wang, S;So, J;Roh, HC;Boudina, S;Henkemeyer, M;Mimche, PN;
bioRxiv : the preprint server for biology
Species: Human
Sample Types: Whole Cells, Transfected Whole Cells
Applications: Immunocytochemistry -
Endothelial remodeling in osteosarcomas: insights from patient samples and in vitro studies
Authors: Legrand, M;Renault, S;de Pinieux, G;Bourreau, C;Brion, R;Le Nail, LR;Blandin, S;Hulin, P;Verrecchia, F;Rédini, F;Trichet, V;Corre, I;
American journal of cancer research
Species: Human
Sample Types: Whole Tissue
Applications: Immunohistochemistry -
Myofibroblast-Targeting Extracellular Vesicles: A Promising Platform for Cardiac Fibrosis Drug Delivery
Authors: Wang, Y;Jiang, H;Chen, Q;Guo, F;Zhang, B;Hu, L;Huang, X;Shen, W;Gao, J;Chen, W;Xu, W;Cai, Z;Wei, L;Li, M;
Biomaterials research
Species: Mouse
Sample Types: Tissue Homogenates, Extracellular Vesicle Lysates, Whole Tissue
Applications: Immunohistochemistry, Western Blot -
Complex wound analysis using AI
Authors: Robinson, CJ;Dickie, B;Lindner, C;Herrera, J;Dingle, L;Reid, AJ;Wong, JKF;Hiebert, P;Cootes, TF;Kurinna, S;
Computers in biology and medicine
Species: Mouse
Sample Types: Whole Tissue
Applications: Immunohistochemistry -
Piezo1 overexpression in the uterus contributes to myometrium contraction and inflammation-associated preterm birth
Authors: Bi, Y;Li, H;Diao, M;Liu, Q;Huang, L;Tao, Y;Wan, Y;Lin, X;
Journal of translational medicine
Species: Mouse
Sample Types: Whole Tissue
Applications: Immunohistochemistry -
Cancer-associated fibroblasts derived fibronectin extra domain A promotes sorafenib resistance in hepatocellular carcinoma cells by activating SHMT1
Authors: Dong, Y;Chen, Y;Wang, Y;Zhao, X;Zi, R;Hao, J;Ding, Q;Jiang, H;Wang, X;Lu, F;Liang, H;Wei, Z;Li, J;
Genes & diseases
Species: Human
Sample Types: Whole Cells
Applications: Immunocytochemistry -
Generation of a gene-corrected human isogenic iPSC line from an Alzheimer's disease iPSC line carrying the PSEN1 H163R mutation
Authors: Hernández, D;Morgan Schlicht, S;Elli Clarke, J;Daniszewski, M;Karch, CM;Dominantly Inherited Alzheimer Network (DIAN), ;Goate, AM;Pébay, A;
Stem cell research
Species: Human
Sample Types: Whole Cells
Applications: Immunocytochemistry -
A secreted proteomic footprint for stem cell pluripotency
Authors: Lewis, PA;Silajdi?, E;Smith, H;Bates, N;Smith, CA;Mancini, FE;Knight, D;Denning, C;Brison, DR;Kimber, SJ;
PloS one
Species: Transgenic Mouse
Sample Types: Whole Tissue
Applications: Immunohistochemistry -
Vascular architecture regulates mesenchymal stromal cell heterogeneity via P53-PDGF signaling in the mouse incisor
Authors: Guo, T;Pei, F;Zhang, M;Yamada, T;Feng, J;Jing, J;Ho, TV;Chai, Y;
Cell stem cell
Species: Transgenic Mouse
Sample Types: Whole Tissue
Applications: Immunohistochemistry -
Smooth muscle cell-derived Cxcl12 directs macrophage accrual and sympathetic innervation to control thermogenic adipose tissue
Authors: Lee, D;Benvie, AM;Steiner, BM;Kolba, NJ;Ford, JG;McCabe, SM;Jiang, Y;Berry, DC;
Cell reports
Species: Mouse
Sample Types: Whole Tissue
Applications: Immunohistochemistry -
Generation and characterization of two Vervet monkey induced pluripotent stem cell lines derived from fibroblasts
Authors: Jocher, J;Edenhofer, FC;Müller, S;Janssen, P;Briem, E;Geuder, J;Enard, W;
Stem cell research
Species: Human
Sample Types: Whole Cells
Applications: ICC -
Generation and characterization of two fibroblast-derived Baboon induced pluripotent stem cell lines
Authors: Jocher, J;Edenhofer, FC;Müller, S;Janssen, P;Briem, E;Geuder, J;Enard, W;
Stem cell research
Species: Primate - Papio anubis (Olive Baboon)
Sample Types: Embryoid Bodies
Applications: Immunocytochemistry -
Establishment and characterization of matched immortalized human frontal and occipital scalp dermal papilla cell lines from androgenetic alopecia
Authors: Kwack, MH;Hamida, OB;Kim, MK;Kim, MK;Sung, YK;
Scientific reports
Species: Human
Sample Types: Whole Cells
Applications: Immunocytochemistry/ Immunofluorescence -
Iguratimod attenuated fibrosis in systemic sclerosis via targeting early growth response 1 expression
Authors: Shen, L;Yin, H;Sun, L;Zhang, Z;Jin, Y;Cao, S;Fu, Q;Fan, C;Bao, C;Lu, L;Zhan, Y;Xu, X;Chen, X;Yan, Q;
Arthritis research & therapy
Species: Mouse
Sample Types: Whole Tissue
Applications: IHC -
An integrated organoid omics map extends modeling potential of kidney disease
Authors: Lassé, M;El Saghir, J;Berthier, CC;Eddy, S;Fischer, M;Laufer, SD;Kylies, D;Hutzfeldt, A;Bonin, LL;Dumoulin, B;Menon, R;Vega-Warner, V;Eichinger, F;Alakwaa, F;Fermin, D;Billing, AM;Minakawa, A;McCown, PJ;Rose, MP;Godfrey, B;Meister, E;Wiech, T;Noriega, M;Chrysopoulou, M;Brandts, P;Ju, W;Reinhard, L;Hoxha, E;Grahammer, F;Lindenmeyer, MT;Huber, TB;Schlüter, H;Thiel, S;Mariani, LH;Puelles, VG;Braun, F;Kretzler, M;Demir, F;Harder, JL;Rinschen, MM;
Nature communications
Species: Human
Sample Types: Whole Cells
Applications: ICC/IF -
Single-Cell RNA Sequencing Unifies Developmental Programs of Esophageal and Gastric Intestinal Metaplasia
Authors: Karol Nowicki-Osuch, Lizhe Zhuang, Tik Shing Cheung, Emily L. Black, Neus Masqué-Soler, Ginny Devonshire et al.
Cancer Discovery
Species: Human
Sample Types: Whole Tissue
Applications: Immunohistochemistry -
Combinatorial Microgels for 3D ECM Screening and Heterogeneous Microenvironmental Culture of Primary Human Hepatic Stellate Cells
Authors: Ryoo, H;Underhill, GH;
bioRxiv : the preprint server for biology
-
An unbiased proteomics approach to identify the senescence-associated secretory phenotype of human bone marrow-derived mesenchymal stem cells
Authors: RM Samsonraj, SF Law, A Chandra, RJ Pignolo
Bone Reports, 2023-03-21;18(0):101674.
Species: Human
Sample Types: Cell Culture Supernates
Applications: Western Blot -
Co-culture models of endothelial cells, macrophages, and vascular smooth muscle cells for the study of the natural history of atherosclerosis
Authors: M Liu, S Samant, CH Vasa, RM Pedrigi, UM Oguz, S Ryu, T Wei, DR Anderson, DK Agrawal, YS Chatzizisi
PLoS ONE, 2023-01-20;18(1):e0280385.
Species: Human
Sample Types: Protein, Whole Cells
Applications: ICC, Western Blot -
Targeting Periostin Expression Makes Pancreatic Cancer Spheroids More Vulnerable to Natural Killer Cells
Authors: D Karakas, M Erkisa, RO Akar, G Akman, EY Senol, E Ulukaya
Biomedicines, 2023-01-19;11(2):.
Species: Human
Sample Types: Whole Cells
Applications: ICC -
Dietary oxidized frying oil activates hepatic stellate cells and accelerates the severity of carbon tetrachloride- and thioacetamide-induced liver fibrosis in mice
Authors: FM Suk, FY Hsu, YC Lee, TL Chen, WC Chiu, YJ Liao
The Journal of nutritional biochemistry, 2023-01-11;0(0):109267.
Species: Mouse
Sample Types: Cell Lysates
Applications: IHC, Western Blot -
Human theca arises from ovarian stroma and is comprised of three discrete subtypes
Authors: Nicole Lustgarten Guahmich, Limor Man, Jerry Wang, Laury Arazi, Eleni Kallinos, Ariana Topper-Kroog et al.
Communications Biology
-
Regeneration difficulties in patients with FQAD can limit the use of iPSc-based cell therapy
Authors: Dagmara Grot, Katarzyna Wasiak, Jerzy Tyszkowski, Ewelina Stoczynska-Fidelus, Tomasz P. Ochedalski, Piotr Rieske
Stem Cell Research & Therapy
-
CCL18 signaling from tumor-associated macrophages activates fibroblasts to adopt a chemoresistance-inducing phenotype
Authors: W Zeng, L Xiong, W Wu, S Li, J Liu, L Yang, L Lao, P Huang, M Zhang, H Chen, N Miao, Z Lin, Z Liu, X Yang, J Wang, P Wang, E Song, Y Yao, Y Nie, J Chen, D Huang
Oncogene, 2022-11-22;0(0):.
Species: Human
Sample Types: Cell Lysates
Applications: Western Blot -
Biomimetic nanoparticles drive the mechanism understanding of shear-wave elasticity stiffness in triple negative breast cancers to predict clinical treatment
Authors: D Zheng, J Zhou, L Qian, X Liu, C Chang, S Tang, H Zhang, S Zhou
Bioactive materials, 2022-11-03;22(0):567-587.
Species: Human
Sample Types: Cell Lysates
Applications: Western Blot -
Inhibition of ROCK ameliorates pulmonary fibrosis by suppressing M2 macrophage polarisation through phosphorylation of STAT3
Authors: Qingfang Li, Yuan Cheng, Zhe Zhang, Zhenfei Bi, Xuelei Ma, Yuquan Wei et al.
Clinical and Translational Medicine
-
Alcohol and HIV-Derived Hepatocyte Apoptotic Bodies Induce Hepatic Stellate Cell Activation
Authors: M New-Aaron, RS Dagur, SS Koganti, M Ganesan, W Wang, E Makarov, M Ogunnaike, KK Kharbanda, LY Poluektova, NA Osna
Biology, 2022-07-14;11(7):.
Species: Human
Sample Types: Whole Cells
Applications: ICC -
Establishment of a human induced pluripotent stem cell line (TAUi008-A) derived from a multiple sclerosis patient
Authors: J Lotila, T Hyvärinen, H Skottman, L Airas, S Narkilahti, S Hagman
Oncogene, 2022-07-11;63(0):102865.
Species: Human
Sample Types: Whole Cells
Applications: Flow Cytometry, ICC -
AAV2-mediated gene therapy for Bietti crystalline dystrophy provides functional CYP4V2 in multiple relevant cell models
Authors: JH Wang, GE Lidgerwood, M Daniszewsk, ML Hu, GE Roberts, RCB Wong, SSC Hung, ME McClements, AW Hewitt, A Pébay, DG Hickey, TL Edwards
Oncogene, 2022-06-09;12(1):9525.
Species: Human
Sample Types: Whole Tissue
Applications: IHC -
Histochemical examination of blood vessels in murine femora with intermittent PTH administration
Authors: H Maruoka, S Zhao, H Yoshino, M Abe, T Yamamoto, H Hongo, M Haraguchi-, A Nasoori, H Ishizu, Y Nakajima, M Omaki, T Shimizu, N Iwasaki, PH Luiz de Fr, M Li, T Hasegawa
Journal of oral biosciences, 2022-05-15;0(0):.
Species: Mouse
Sample Types: Whole Tissue
Applications: IHC -
Myo5b Transports Fibronectin-Containing Vesicles and Facilitates FN1 Secretion from Human Pleural Mesothelial Cells
Authors: T Sakai, YY Choo, O Sato, R Ikebe, A Jeffers, S Idell, T Tucker, M Ikebe
International Journal of Molecular Sciences, 2022-04-27;23(9):.
Species: Human
Sample Types: Cell Culture Supernates
Applications: Western Blot -
Generation of a human induced pluripotent stem cell line derived from a patient with dilated cardiomyopathy carrying LMNA nonsense mutation
Authors: Y Shimoda, N Murakoshi, H Mori, D Xu, K Tajiri, Y Hemmi, I Sato, M Noguchi, Y Nakamura, Y Hayashi, M Ieda
Stem Cell Research, 2022-04-27;62(0):102793.
Species: Human
Sample Types: Spheroid
Applications: ICC -
Signature of the vascular tumor microenvironment as a marker of the therapeutic response to doxorubicin in a preclinical model of osteosarcoma
Authors: V Crenn, J Amiaud, A Gomez-Brou, V Potiron, F Gouin, P Rosset, LL Nail, L Vidal, H Bertin, R Brion, G Tran, F Verrecchia, I Corre, F Redini
American journal of cancer research, 2022-04-15;12(4):1843-1854.
Species: Mouse
Sample Types: Whole Tissue
Applications: IHC -
A vasculature niche orchestrates stromal cell phenotype through PDGF signaling: Importance in human fibrotic disease
Authors: TB Layton, L Williams, N Yang, M Zhang, C Lee, M Feldmann, G Trujillo, D Furniss, J Nanchahal
Proceedings of the National Academy of Sciences of the United States of America, 2022-03-23;119(13):e2120336119.
Species: Human
Sample Types: Whole Cells, Whole Tissue
Applications: CyTof, IHC -
CRISPR/Cas9-engineered human ES cells harboring heterozygous and homozygous c-KIT knockout
Authors: MAS de Toledo, X Fu, F Kluge, K Götz, S Schmitz, P Wanek, HM Schüler, K Pannen, N Chatain, S Koschmiede, TH Brümmendor, M Zenke
Stem Cell Research, 2022-03-01;60(0):102732.
Species: Human
Sample Types: Whole Cells
Applications: ICC -
Systemic deficiency of vitronectin is associated with aortic inflammation and plaque progression in ApoE‐Knockout mice
Authors: Devasmita Chakravarty, Aleepta Guha Ray, Vivek Chander, Ulaganathan Mabalirajan, Prakash Chandra Mondal, Khawer N. Siddiqui et al.
FASEB BioAdvances
-
Switching in the expression pattern of actin isoforms marks the onset of contractility and distinct mechanodynamic behavior during cardiomyocyte differentiation
Authors: RH Pires, TH Dau, E Manu, N Shree, O Otto
Physiological Reports, 2022-02-01;10(3):e15171.
Species: Human
Sample Types: Cell Lysates, Whole Cells
Applications: ICC, Western Blot -
Mirodenafil ameliorates skin fibrosis in bleomycin-induced mouse model of systemic sclerosis
Authors: Jong Seong Roh, Hoim Jeong, Beomgu Lee, Byung Wook Song, Seung Jin Han, Dong Hyun Sohn et al.
Animal Cells and Systems
-
Engagement of the CXCL12-CXCR4 Axis in the Interaction of Endothelial Progenitor Cell and Smooth Muscle Cell to Promote Phenotype Control and Guard Vascular Homeostasis
Authors: SF Mause, E Ritzel, A Deck, F Vogt, EA Liehn
International Journal of Molecular Sciences, 2022-01-14;23(2):.
Species: Human
Sample Types: Whole Cells
Applications: ICC -
Dermal Papilla Cell-Derived Extracellular Vesicles Increase Hair Inductive Gene Expression in Adipose Stem Cells via beta-Catenin Activation
Authors: T Kazi, A Nagata, T Nakagawa, T Matsuzaki, S Inui
Cells, 2022-01-07;11(2):.
Species: Mouse
Sample Types: Spheroids
Applications: ICC -
Cyclo(Val-Pro) and Cyclo(Leu-Hydroxy-Pro) from Pseudomonas sp. (ABS-36) alleviates acute and chronic renal injury under in vitro and in vivo models (Ischemic reperfusion and unilateral ureter obstruction)
Authors: K Hira, P Sharma, A Mahale, O Prakash Ku, A Sajeli Beg
International immunopharmacology, 2021-12-29;103(0):108494.
Species: Mouse, Rat
Sample Types: Cell Lysates, Whole Cells
Applications: ICC, Western Blot -
Pharmacological targeting of Sam68 functions in colorectal cancer stem cells
Authors: Angelique N. Masibag, Christopher J. Bergin, Joshua R. Haebe, Aïcha Zouggar, Muhammad S. Shah, Tamara Sandouka et al.
iScience
-
Adult spiny mice (Acomys) exhibit endogenous cardiac recovery in response to myocardial infarction
Authors: Hsuan Peng, Kazuhiro Shindo, Renée R. Donahue, Erhe Gao, Brooke M. Ahern, Bryana M. Levitan et al.
npj Regenerative Medicine
-
Generation of an induced pluripotent stem cell line GZHMCi008-A derived from a patient with SRY-positive 46,XX testicular disorder of sex development
Authors: Y Luo, Y Chen, M Zhang, X Ma, D Zhu, Y Chen
Stem Cell Research, 2021-10-22;57(0):102583.
Species: Human
Sample Types: Whole Cells
Applications: Flow Cytometry, ICC -
Synthetic VSMCs induce BBB disruption mediated by MYPT1 in ischemic stroke
Authors: Hailan Meng, Lizhen Fan, Cun-Jin Zhang, Liwen Zhu, Pinyi Liu, Jian Chen et al.
iScience
-
Synergistic effects of silver nanoparticles and cisplatin in combating inflammation and hyperplasia of airway stents
Authors: Z Li, C Tian, D Jiao, J Li, Y Li, X Zhou, H Zhao, Y Zhao, X Han
Bioactive materials, 2021-07-29;9(0):266-280.
Species: Rabbit
Sample Types: Whole Tissue
Applications: IHC -
Normalization of Enzyme Expression and Activity Regulating Vitamin A Metabolism Increases RAR-Beta Expression and Reduces Cellular Migration and Proliferation in Diseases Caused by Tuberous Sclerosis Gene Mutations
Authors: Elhusseiny Mohamed Mahmoud Abdelwahab, Judit Bovari-Biri, Gabor Smuk, Tunde Harko, Janos Fillinger, Judit Moldvay et al.
Frontiers in Oncology
Species: Human
Sample Types: Whole Cells
Applications: Immunocytochemistry -
SAA1/TLR2 axis directs chemotactic migration of hepatic stellate cells responding to injury
Authors: Anteneh Getachew, Nasir Abbas, Kai You, Zhen Yang, Muzammal Hussain, Xinping Huang et al.
iScience
-
Generation of three induced pluripotent stem cell lines, SCVIi003-A, SCVIi004-A, SCVIi005-A, from patients with ARVD/C caused by heterozygous mutations in the PKP2 gene
Authors: JWS Jahng, KE Black, L Liu, HR Bae, M Perez, EA Ashley, K Sallam, JC Wu
Stem Cell Research, 2021-03-12;53(0):102284.
Species: Human
Sample Types: Whole Cells
Applications: Flow Cytometry, ICC -
Cancer-associated fibroblast-derived SDF-1 induces epithelial-mesenchymal transition of lung adenocarcinoma via CXCR4/&beta-catenin/PPAR&delta signalling
Authors: Y Wang, W Lan, M Xu, J Song, J Mao, C Li, X Du, Y Jiang, E Li, R Zhang, Q Wang
Cell Death & Disease, 2021-02-26;12(2):214.
Species: Human
Sample Types: Whole Cells
Applications: ICC, Neutralization -
A non-invasive method to generate induced pluripotent stem cells from primate urine
Authors: J Geuder, LE Wange, A Janjic, J Radmer, P Janssen, JW Bagnoli, S Müller, A Kaul, M Ohnuki, W Enard
Scientific Reports, 2021-02-10;11(1):3516.
Species: Human
Sample Types: Whole Cells
Applications: ICC -
Cohort Analysis of ADAM8 Expression in the PDAC Tumor Stroma
Authors: C Jaworek, Y Verel-Yilm, S Driesch, S Ostgathe, L Cook, S Wagner, DK Bartsch, EP Slater, JW Bartsch
Journal of personalized medicine, 2021-02-10;11(2):.
Species: Human
Sample Types: Whole Tissue
Applications: IHC -
Generation of induced pluripotent stem cell (iPSC) lines carrying a heterozygous (UKWMPi002-A-1) and null mutant knockout (UKWMPi002-A-2) of Cadherin 13 associated with neurodevelopmental disorders using CRISPR/Cas9
Authors: MR Vitale, JEM Zöller, C Jansch, A Janz, F Edenhofer, E Klopocki, D van den Ho, T Vanmierlo, O Rivero, N Nadif Kasr, GC Ziegler, KP Lesch
Stem Cell Research, 2021-01-11;51(0):102169.
Species: Human
Sample Types: Cell Lysates, Whole Cells
Applications: ICC, Western Blot -
STRAP regulates alternative splicing fidelity during lineage commitment of mouse embryonic stem cells
Authors: L Jin, Y Chen, DK Crossman, A Datta, T Vu, JA Mobley, MK Basu, M Scarduzio, H Wang, C Chang, PK Datta
Nat Commun, 2020-11-23;11(1):5941.
Species: Mouse
Sample Types: Whole Tissue
Applications: IHC -
Thrombospondin‑2 is upregulated in patients with aortic dissection and enhances angiotensin II‑induced smooth muscle cell apoptosis
Authors: Liping Qi, Kui Wu, Shutian Shi, Qingwei Ji, Huangtai Miao, Que Bin
Experimental and Therapeutic Medicine
Species: Human
Sample Types: Whole Tissue
Applications: Immunohistochemistry -
Initiation of reticular and spider veins, incompetent perforantes and varicose veins in the saphenous vein network of the rat
Authors: BB Patai, G Dornyei, AM Tokes, JR Hetthessy, A Fees, GL Nadasy
Scientific Reports, 2020-09-21;10(1):15381.
Species: Rat
Sample Types: Whole Tissue
Applications: IHC -
SB772077B (SB77) Alleviated the Aqueous Outflow Resistance Mediated by Cyclic Mechanical Stress in Perfused Human Cadaveric Eyes
Authors: S Ashwinbala, R Haribalaga, S Krishnadas, V Muthukkaru, S Senthilkum
Sci Rep, 2020-06-23;10(1):10202.
Species: Human
Sample Types: Whole Tissues
Applications: IHC -
Acetyl-CoA Carboxylase inhibition improves multiple dimensions of NASH pathogenesis in model systems
Authors: TT Ross, C Crowley, KL Kelly, A Rinaldi, DA Beebe, MP Lech, RV Martinez, S Carvajal-G, M Boucher, D Hirenallur, J Morin, AC Opsahl, SR Vargas, KK Bence, JA Pfefferkor, WP Esler
Cell Mol Gastroenterol Hepatol, 2020-06-09;0(0):.
Species: Rat
Sample Types: Whole Tissues
Applications: IHC -
Reconstruction of the human blood-brain barrier in vitro reveals a pathogenic mechanism of APOE4 in pericytes
Authors: JW Blanchard, M Bula, J Davila-Vel, LA Akay, L Zhu, A Frank, MB Victor, JM Bonner, H Mathys, YT Lin, T Ko, DA Bennett, HP Cam, M Kellis, LH Tsai
Nat. Med., 2020-06-08;26(6):952-963.
Species: Human
Sample Types: Cell Lysates, Whole Cells
Applications: ICC, Western Blot -
Cellular census of human fibrosis defines functionally distinct stromal cell types and states
Authors: TB Layton, L Williams, F McCann, M Zhang, M Fritzsche, H Colin-York, M Cabrita, MTH Ng, M Feldmann, SN Sansom, D Furniss, W Xie, J Nanchahal
Nat Commun, 2020-06-02;11(1):2768.
Species: Human
Sample Types: Whole Cells
Applications: CyTof -
CD8+ T-cell plasticity regulates vascular regeneration in type-2 diabetes
Authors: C Liang, KY Yang, VW Chan, X Li, THW Fung, Y Wu, XY Tian, Y Huang, L Qin, JYW Lau, KO Lui
Theranostics, 2020-03-04;10(9):4217-4232.
Species: Mouse
Sample Types: Whole Tissue
Applications: IHC -
Dynamic Changes in Function and Proteomic Composition of Extracellular Vesicles from Hepatic Stellate Cells during Cellular Activation
Authors: X Li, R Chen, S Kemper, DR Brigstock
Cells, 2020-01-25;9(2):.
Species: Mouse
Sample Types: Whole Cells
Applications: ICC -
Generation of Human‐Induced Pluripotent Stem Cells From Anterior Cruciate Ligament
Authors: Steven Woods, Nicola Bates, Sara L. Dunn, Ferdinand Serracino‐Inglott, Tim E. Hardingham, Susan J. Kimber
Journal of Orthopaedic Research
-
Optimal stimulation toward the dermal papilla lineage can be promoted by combined use of osteogenic and adipogenic inducers
Authors: T Kazi, I Niibe, A Nishikawa, T Matsuzaki
FEBS Open Bio, 2019-12-28;0(0):.
Species: Mouse
Sample Types: Whole Cells
Applications: ICC -
Empagliflozin reduces high glucose-induced oxidative stress and miR-21-dependent TRAF3IP2 induction and RECK suppression, and inhibits human renal proximal tubular epithelial cell migration and epithelial-to-mesenchymal transition
Authors: NA Das, AJ Carpenter, A Belenchia, AR Aroor, M Noda, U Siebenlist, B Chandrasek, VG DeMarco
Cell. Signal., 2019-12-17;68(0):109506.
Species: Human
Sample Types: Cell Lysates
Applications: Western Blot -
Fibroblast-like synovial cell production of extra domain A fibronectin associates with inflammation in osteoarthritis
Authors: TW Kragstrup, DH Sohn, CM Lepus, K Onuma, Q Wang, WH Robinson, J Sokolove
BMC Rheumatol, 2019-12-02;3(0):46.
Species: Human
Sample Types: Whole Cells, Whole Tissue
Applications: ICC, IHC-Fr -
Adipose Mesenchymal Cells-Derived EVs Alleviate DOCA-Salt-Induced Hypertension by Promoting Cardio-Renal Protection
Authors: RS Lindoso, JA Lopes, R Binato, E Abdelhay, CM Takiya, KR Miranda, LS Lara, A Viola, B Bussolati, A Vieyra, F Collino
Mol Ther Methods Clin Dev, 2019-11-15;16(0):63-77.
Species: Rat
Sample Types: Tissue Homogenates
Applications: Western Blot -
A new patient‐derived iPSC model for dystroglycanopathies validates a compound that increases glycosylation of alpha ‐dystroglycan
Authors: Jihee Kim, Beatrice Lana, Silvia Torelli, David Ryan, Francesco Catapano, Pierpaolo Ala et al.
EMBO reports
Species: Human
Sample Types: Whole Cells
Applications: Immunocytochemistry -
Pathological Study on Epithelial-Mesenchymal Transition in Silicotic Lung Lesions in Rat
Authors: M Komai, K Mihira, A Shimada, I Miyamoto, K Ogihara, Y Naya, T Morita, K Inoue, H Takano
Vet Sci, 2019-08-30;6(3):.
Species: Rat
Sample Types: Tissue Homogenates, Whole Tissue
Applications: IHC-P, Western Blot -
Myocardin Is Involved in Mesothelial–Mesenchymal Transition of Human Pleural Mesothelial Cells
Authors: Torry Tucker, Yoshikazu Tsukasaki, Tsuyoshi Sakai, Shinya Mitsuhashi, Satoshi Komatsu, Ann Jeffers et al.
American Journal of Respiratory Cell and Molecular Biology
-
Human induced pluripotent stem cell line HMUi001-A derived from corneal stromal cells
Authors: T Bikkuzin, Y Shi, B Sun, Y Guo, X Jin, Z Han, V Pavlov, H Zhang
Stem Cell Res, 2019-02-15;37(0):101409.
Species: Human
Sample Types: Whole Cells
Applications: ICC -
Single-cell analysis reveals fibroblast heterogeneity and myeloid-derived adipocyte progenitors in murine skin wounds
Authors: CF Guerrero-J, PH Dedhia, S Jin, R Ruiz-Vega, D Ma, Y Liu, K Yamaga, O Shestova, DL Gay, Z Yang, K Kessenbroc, Q Nie, WS Pear, G Cotsarelis, MV Plikus
Nat Commun, 2019-02-08;10(1):650.
Species: Mouse
Sample Types: Whole Tissue
Applications: IHC-P -
Inhibition of PAI-1 limits chemotherapy resistance in lung cancer through suppressing myofibroblast characteristics of cancer-associated fibroblasts
Authors: T Masuda, T Nakashima, M Namba, K Yamaguchi, S Sakamoto, Y Horimasu, S Miyamoto, H Iwamoto, K Fujitaka, Y Miyata, H Hamada, M Okada, N Hattori
J. Cell. Mol. Med., 2019-02-07;0(0):.
Species: Human
Sample Types: Whole Tissue
Applications: IHC -
TGF-?-SNAIL axis induces M�ller glial-mesenchymal transition in the pathogenesis of idiopathic epiretinal membrane
Authors: A Kanda, K Noda, I Hirose, S Ishida
Sci Rep, 2019-01-24;9(1):673.
Species: Human
Sample Types: Cell Lysates, Whole Cells
Applications: ICC, Western Blot -
Small non-coding RNA landscape of extracellular vesicles from human stem cells
Authors: S Kaur, AG Abu-Shahba, RO Paananen, H Hongisto, H Hiidenmaa, H Skottman, R Seppänen-K, B Mannerströ
Sci Rep, 2018-10-19;8(1):15503.
-
Ebola Virus Causes Intestinal Tract Architectural Disruption and Bacterial Invasion in Non-Human Primates
Authors: RB Reisler, X Zeng, CW Schellhase, JJ Bearss, TK Warren, JC Trefry, GW Christophe, MG Kortepeter, S Bavari, AP Cardile
Viruses, 2018-09-20;10(10):.
Applications: IHC-P -
Exosomal miR-21-5p derived from gastric cancer promotes peritoneal metastasis via mesothelial-to-mesenchymal transition
Authors: Q Li, B Li, Q Li, S Wei, Z He, X Huang, L Wang, Y Xia, Z Xu, Z Li, W Wang, L Yang, D Zhang, Z Xu
Cell Death Dis, 2018-08-28;9(9):854.
Species: Human
Sample Types: Tissue Homogenates, Whole Tissue
Applications: IHC, Western Blot -
Modeling the neuropsychiatric manifestations of Lowe syndrome using induced pluripotent stem cells: defective F-actin polymerization and WAVE-1 expression in neuronal cells
Authors: J Barnes, F Salas, R Mokhtari, H Dolstra, E Pedrosa, HM Lachman
Mol Autism, 2018-08-15;9(0):44.
Species: Human
Sample Types: Organoids
Applications: IHC -
Triiodothyronine alleviates alcoholic liver disease injury through the negative regulation of the NLRP3 signaling pathway
Authors: Xiang Dong, Hongmei Yang, Cong Li, Qi Liu, Qinglin Bai, Zhaoran Zhang
Experimental and Therapeutic Medicine
-
Implication of molecular vascular smooth muscle cell heterogeneity among arterial beds in arterial calcification
Authors: O Espitia, M Chatelais, M Steenman, C Charrier, B Maurel, S Georges, R Houlgatte, F Verrecchia, B Ory, F Lamoureux, D Heymann, Y Gouëffic, T Quillard
PLoS ONE, 2018-01-26;13(1):e0191976.
Species: Human
Sample Types: Whole Tissue
Applications: IHC -
Establishment and characterization of five immortalized human scalp dermal papilla cell lines
Authors: MH Kwack, JM Yang, GH Won, MK Kim, JC Kim, YK Sung
Biochem. Biophys. Res. Commun., 2018-01-10;0(0):.
Species: Human
Sample Types: Whole Cells
Applications: ICC -
Wnt inhibition promotes vascular specification of embryonic cardiac progenitors
Authors: DE Reichman, L Park, L Man, D Redmond, K Chao, RP Harvey, MM Taketo, Z Rosenwaks, D James
Development, 2018-01-08;145(1):.
Species: Human
Sample Types: Whole Cells
Applications: ICC -
Buyang Huanwu Tang improves denervation-dependent muscle atrophy by increasing ANGPTL4, and increases NF-?B and MURF1 levels
Authors: L Zhou, Y Huang, H Xie, X Mei
Mol Med Rep, 2017-12-19;0(0):.
Species: Rat
Sample Types: Tissue Homogenates
Applications: Western Blot -
P2X7 receptor antagonism modulates IL-1? and MMP9 in human atherosclerotic vessels
Authors: M Lombardi, ME Mantione, D Baccellier, D Ferrara, R Castellano, R Chiesa, O Alfieri, C Foglieni
Sci Rep, 2017-07-07;7(1):4872.
Species: Human
Sample Types: Whole Tissue
Applications: IHC -
KIF5A transports collagen vesicles of myofibroblasts during pleural fibrosis
Authors: H Kamata, Y Tsukasaki, T Sakai, R Ikebe, J Wang, A Jeffers, J Boren, S Owens, T Suzuki, M Higashihar, S Idell, TA Tucker, M Ikebe
Sci Rep, 2017-07-04;7(1):4556.
Species: Human
Sample Types: Cell Lysates, Whole Tissue
Applications: IHC, Western Blot -
Generation of a human induced pluripotent stem cell line CERAi001-A-6 using episomal vectors
Authors: RCB Wong, SS Hung, S Jackson, V Singh, S Khan, HH Liang, LS Kearns, T Nguyen, A Conquest, M Daniszewsk, AW Hewitt, A Pébay
Stem Cell Res, 2017-05-19;22(0):13-15.
Species: Human
Sample Types: Whole Cells
Applications: ICC -
Mitochondrial replacement in an iPSC model of Leber's hereditary optic neuropathy
Authors: RCB Wong, SY Lim, SSC Hung, S Jackson, S Khan, NJ Van Bergen, E De Smit, HH Liang, LS Kearns, L Clarke, DA Mackey, AW Hewitt, IA Trounce, A Pébay
Aging (Albany NY), 2017-04-01;9(4):1341-1350.
Species: Human
Sample Types: Whole Cells
Applications: ICC -
Cancer-associated mesenchymal stroma fosters the stemness of osteosarcoma cells in response to intratumoral acidosis via NF-?B acivation
Authors: Sofia Avnet
Int. J. Cancer, 2017-03-15;0(0):.
Species: Canine
Sample Types: Whole Tissue
Applications: IHC -
Pathologic Roles of Receptor-Associated Prorenin System in Idiopathic Epiretinal Membrane
Authors: Y Dong, A Kanda, K Noda, W Saito, S Ishida
Sci Rep, 2017-03-09;7(0):44266.
Species: Human
Sample Types: Whole Tissue
Applications: IHC-P -
NOTCH1-dependent nitric oxide signaling deficiency in hypoplastic left heart syndrome revealed through patient-specific phenotypes detected in bioengineered cardiogenesis
Authors: SC Hrstka, X Li, TJ Nelson
Stem Cells, 2017-03-05;0(0):.
Species: Human
Sample Types: Whole Cells
Applications: ICC -
Cancer-associated fibroblasts promote an immunosuppressive microenvironment through the induction and accumulation of protumoral macrophages
Authors: H Takahashi, K Sakakura, T Kudo, M Toyoda, K Kaira, T Oyama, K Chikamatsu
Oncotarget, 2017-01-31;8(5):8633-8647.
Species: Human
Sample Types: Whole Tissue
Applications: IHC -
Neuropathogenesis of Zika Virus in a Highly Susceptible Immunocompetent Mouse Model after Antibody Blockade of Type I Interferon
Authors: DR Smith, B Hollidge, S Daye, X Zeng, C Blancett, K Kuszpit, T Bocan, JW Koehler, S Coyne, T Minogue, T Kenny, X Chi, S Yim, L Miller, C Schmaljohn, S Bavari, JW Golden
PLoS Negl Trop Dis, 2017-01-09;11(1):e0005296.
Species: Mouse
Sample Types: Whole Tissue
Applications: IHC-P -
Human pancreatic cancer cells induce a MyD88-dependent stromal response to promote a tumor-tolerant immune microenvironment
Cancer Res., 2016-11-18;0(0):.
Species: Human
Sample Types: Whole Cells
Applications: Flow Cytometry, ICC -
The influence of warm ischemia elimination on kidney injury during transplantation - clinical and molecular study
Sci Rep, 2016-11-03;6(0):36118.
Species: Human
Sample Types: Whole Tissue
Applications: IHC-P -
Generation of Induced Cardiospheres via Reprogramming of Skin Fibroblasts for Myocardial Regeneration
Authors: Jian-Yong Xu
Stem Cells, 2016-07-07;0(0):.
Species: Mouse
Sample Types: Whole Cells
Applications: IHC -
Exosomes in Human Breast Milk Promote EMT
Authors: W Qin, Y Tsukasaki, S Dasgupta, N Mukhopadhy, M Ikebe, ER Sauter
Clin Cancer Res, 2016-04-08;0(0):.
Species: Human
Sample Types: Whole Cells
Applications: IHC -
miR-142-5p and miR-130a-3p are regulated by IL-4 and IL-13 and control profibrogenic macrophage program
Authors: Shicheng Su, Qiyi Zhao, Chonghua He, Di Huang, Jiang Liu, Fei Chen et al.
Nature Communications
Species: Mouse
Sample Types: Whole Tissue
Applications: Immunohistochemistry -
Automated Analysis and Classification of Histological Tissue Features by Multi-Dimensional Microscopic Molecular Profiling.
Authors: Riordan D, Varma S, West R, Brown P
PLoS ONE, 2015-07-15;10(7):e0128975.
Species: Human
Sample Types: Whole Tissue
Applications: IHC-P -
CD105 expression on CD34-negative spindle-shaped stromal cells of primary tumor is an unfavorable prognostic marker in early breast cancer patients.
Authors: Martinez L, Labovsky V, Calcagno M, Davies K, Garcia Rivello H, Bianchi M, Wernicke A, Fernandez Vallone V, Chasseing N
PLoS ONE, 2015-03-24;10(3):e0121421.
Species: Human
Sample Types: Whole Tissue
Applications: IHC-P -
Establishment and characterization of an immortalized human hepatic stellate cell line for applications in co-culturing with immortalized human hepatocytes.
Authors: Pan X, Wang Y, Yu X, Li J, Zhou N, Du W, Zhang Y, Cao H, Zhu D, Chen Y, Li L
Int J Med Sci, 2015-02-08;12(3):248-55.
Species: Human
Sample Types: Whole Cells
Applications: ICC -
The bioactivity of composite Fmoc-RGDS-collagen gels
Authors: Ricardo M. Gouveia, Roanne R. Jones, Ian W. Hamley, Che J. Connon
Biomater. Sci.
-
Osteoprotegerin, pericytes and bone-like vascular calcification are associated with carotid plaque stability.
Authors: Davaine J, Quillard T, Brion R, Laperine O, Guyomarch B, Merlini T, Chatelais M, Guilbaud F, Brennan M, Charrier C, Heymann D, Goueffic Y, Heymann M
PLoS ONE, 2014-09-26;9(9):e107642.
Species: Human
Sample Types: Whole Tissue
Applications: IHC -
Association between PON1 rs662 polymorphism and coronary artery disease.
Authors: Liu T, Zhang X, Zhang J, Liang Z, Cai W, Huang M, Yan C, Zhu Z, Han Y
Eur J Clin Nutr, 2014-06-11;68(9):1029-35.
Species: Human
Sample Types: Whole Tissue
Applications: IHC-P -
Efficient generation of integration-free human induced pluripotent stem cells from keratinocytes by simple transfection of episomal vectors.
Authors: Piao Y, Hung S, Lim S, Wong R, Ko M
Stem Cells Transl Med, 2014-06-05;3(0):787-791.
Species: Human
Sample Types: Whole Cells
Applications: ICC -
Occurrence of tertiary lymphoid tissue is associated with T-cell infiltration and predicts better prognosis in early-stage colorectal cancers.
Authors: Di Caro G, Bergomas F, Grizzi F, Doni A, Bianchi P, Malesci A, Laghi L, Allavena P, Mantovani A, Marchesi F
Clin Cancer Res, 2014-02-12;20(8):2147-58.
Species: Human
Sample Types: Whole Tissue
Applications: IHC-P -
Modelling the endothelial blood-CNS barriers: a method for the production of robust in vitro models of the rat blood-brain barrier and blood-spinal cord barrier
Authors: P Marc D Watson, Judy C Paterson, George Thom, Ulrika Ginman, Stefan Lundquist, Carl I Webster
BMC Neuroscience
-
Quaking, an RNA-binding protein, is a critical regulator of vascular smooth muscle cell phenotype.
Authors: van der Veer E, de Bruin R, Kraaijeveld A, de Vries M, Bot I, Pera T, Segers F, Trompet S, van Gils J, Roeten M, Beckers C, van Santbrink P, Janssen A, van Solingen C, Swildens J, de Boer H, Peters E, Bijkerk R, Rousch M, Doop M, Kuiper J, Schalij M, van der Wal A, Richard S, van Berkel T, Pickering J, Hiemstra P, Goumans M, Rabelink T, de Vries A, Quax P, Jukema J, Biessen E, van Zonneveld A
Circ Res, 2013-08-20;113(9):1065-75.
Species: Mouse
Sample Types: Cell Lysates
Applications: Western Blot -
Transcriptional effects of 1,25 dihydroxyvitamin D(3) physiological and supra-physiological concentrations in breast cancer organotypic culture.
Authors: Milani C, Katayama M, de Lyra E, Welsh J, Campos L, Brentani M, Maciel M, Roela R, del Valle P, Goes J, Nonogaki S, Tamura R, Folgueira M
BMC Cancer, 2013-03-15;13(0):119.
Species: Human
Sample Types: Whole Cells
Applications: ICC -
Pharmacological Inhibition of Mitochondrial Carbonic Anhydrases Protects Mouse Cerebral Pericytes from High Glucose-Induced Oxidative Stress and Apoptosis
Authors: Gul N. Shah, Tulin O. Price, William A. Banks, Yoichi Morofuji, Andrej Kovac, Nuran Ercal et al.
Journal of Pharmacology and Experimental Therapeutics
-
Distinct transcriptional profiles of angioblasts derived from human embryonic stem cells.
Authors: Song S, Jung W, Kim K, Hong W, Kim H, Lee K, Lee K, Suh W
Exp Cell Res, 2013-02-28;319(8):1136-45.
Species: Human
Sample Types: Whole Cells
Applications: ICC -
Locally different endothelial nitric oxide synthase protein levels in ascending aortic aneurysms of bicuspid and tricuspid aortic valve.
Authors: Mohamed SA, Radtke A, Saraei R
Cardiol Res Pract, 2012-06-18;2012(0):165957.
Species: Human
Sample Types: Cell Lysates
Applications: Western Blot -
Human Periosteum Is a Source of Cells for Orthopaedic Tissue Engineering: A Pilot Study
Authors: Michael D. Ball, Ian C. Bonzani, Melissa J. Bovis, Andrew Williams, Molly M. Stevens
Clinical Orthopaedics & Related Research
-
High-Throughput Tracking of Pluripotent Human Embryonic Stem Cells with Dual Fluorescence Resonance Energy Transfer Molecular Beacons
Authors: Frank W. King, Walter Liszewski, Carissa Ritner, Harold S. Bernstein
Stem Cells and Development
Species: Human
Sample Types: Whole Cells
Applications: Immunocytochemistry -
An Engineered Cardiac Reporter Cell Line Identifies Human Embryonic Stem Cell-Derived Myocardial Precursors
Authors: Carissa Ritner, Sharon S. Y. Wong, Frank W. King, Shirley S. Mihardja, Walter Liszewski, David J. Erle et al.
PLoS ONE
Species: Human
Sample Types: Embryoid Bodies
Applications: Immunocytochemistry -
Timed inhibition of p38MAPK directs accelerated differentiation of human embryonic stem cells into cardiomyocytes
Authors: Meenakshi Gaur, Carissa Ritner, Rich Sievers, Anissa Pedersen, Megha Prasad, Harold S. Bernstein et al.
Cytotherapy
-
Subpopulations of Human Embryonic Stem Cells With Distinct Tissue-Specific Fates Can Be Selected From Pluripotent Cultures
Authors: Frank W. King, Carissa Ritner, Walter Liszewski, Helen C.K. Kwan, Anissa Pedersen, Andrew D. Leavitt et al.
Stem Cells and Development
Species: Mouse
Sample Types: Whole Cells
Applications: Immunocytochemistry -
Inhibition of caspase-3 differentially affects vascular smooth muscle cell apoptosis in the concave versus convex aortic sites in ascending aneurysms with a bicuspid aortic valve.
Authors: Mohamed SA, Misfeld M, Hanke T, Charitos EI, Bullerdiek J, Belge G, Kuehnel W, Sievers HH
Ann. Anat., 2010-04-11;192(3):145-50.
Species: Human
Sample Types: Whole Cells
Applications: ICC -
Effect of an antimicrobial agent on atherosclerotic plaques: assessment of metalloproteinase activity by molecular imaging.
Authors: Ohshima S, Fujimoto S, Petrov A, Nakagami H, Haider N, Zhou J, Tahara N, Osako MK, Fujimoto A, Zhu J, Murohara T, Edwards DS, Narula N, Wong ND, Chandrashekhar Y, Morishita R, Narula J
J. Am. Coll. Cardiol., 2010-03-23;55(12):1240-9.
Species: Rabbit
Sample Types: Whole Tissue
Applications: IHC-P -
Lysosome-dependent Ca(2+) release response to Fas activation in coronary arterial myocytes through NAADP: evidence from CD38 gene knockouts.
Authors: Zhang F, Xia M, Li PL
Am. J. Physiol., Cell Physiol., 2010-03-03;298(5):C1209-16.
Species: Mouse
Sample Types: Whole Cells
Applications: ICC -
Characterization of a novel embryonic stem cell line from an ICSI-derived blastocyst in the African green monkey
Authors: Nobuhiro Shimozawa, Shinichiro Nakamura, Ichiro Takahashi, Masanori Hatori, Tadashi Sankai
REPRODUCTION
-
The effect of VEGF on the myogenic differentiation of adipose tissue derived stem cells within thermosensitive hydrogel matrices.
Authors: Kim MH, Hong HN, Hong JP, Park CJ, Kwon SW, Kim SH, Kang G, Kim M
Biomaterials, 2009-11-14;31(6):1213-8.
Species: Human
Sample Types: Whole Cells
Applications: ICC -
Hypoxia-induced alveolar epithelial-mesenchymal transition requires mitochondrial ROS and hypoxia-inducible factor 1.
Authors: Zhou G, Dada LA, Wu M, Kelly A, Trejo H, Zhou Q, Varga J, Sznajder JI
Am. J. Physiol. Lung Cell Mol. Physiol., 2009-10-02;297(6):L1120-30.
Species: Rat
Sample Types: Whole Cells
Applications: ICC -
Molecular imaging of matrix metalloproteinase in atherosclerotic lesions: resolution with dietary modification and statin therapy.
Authors: Fujimoto S, Hartung D, Ohshima S, Edwards DS, Zhou J, Yalamanchili P, Azure M, Fujimoto A, Isobe S, Matsumoto Y, Boersma H, Wong N, Yamazaki J, Narula N, Petrov A, Narula J
J. Am. Coll. Cardiol., 2008-12-02;52(23):1847-57.
Species: Rabbit
Sample Types: Whole Tissue
Applications: IHC -
Role of matrix metalloprotease-9 in hyperoxic injury in developing lung.
Authors: Chetty A, Cao GJ, Severgnini M, Simon A, Warburton R, Nielsen HC
Am. J. Physiol. Lung Cell Mol. Physiol., 2008-07-25;295(4):L584-92.
Species: Mouse
Sample Types: Tissue Homogenates
Applications: Western Blot -
Breast carcinoma-associated fibroblasts and their counterparts display neoplastic-specific changes.
Authors: Hawsawi NM, Ghebeh H, Hendrayani SF, Tulbah A, Al-Eid M, Al-Tweigeri T, Ajarim D, Alaiya A, Dermime S, Aboussekhra A
Cancer Res., 2008-04-15;68(8):2717-25.
Species: Human
Sample Types: Whole Tissue
Applications: IHC -
Gadodiamide contrast agent 'activates' fibroblasts: a possible cause of nephrogenic systemic fibrosis.
Authors: Edward M, Quinn JA, Mukherjee S, Jensen MB, Jardine AG, Mark PB, Burden AD
J. Pathol., 2008-04-01;214(5):584-93.
Species: Human
Sample Types: Whole Cells
Applications: ICC -
Differentiation of human circulating fibrocytes as mediated by transforming growth factor-beta and peroxisome proliferator-activated receptor gamma.
Authors: Hong KM, Belperio JA, Keane MP, Burdick MD, Strieter RM
J. Biol. Chem., 2007-06-07;282(31):22910-20.
Species: Human
Sample Types: Cell Lysates, Whole Cells
Applications: ICC, Western Blot -
Bronchoalveolar lavage fluid from patients with acute lung injury/acute respiratory distress syndrome induces myofibroblast differentiation.
Authors: Synenki L, Chandel NS, Budinger GR, Donnelly HK, Topin J, Eisenbart J, Jovanovic B, Jain M
Crit. Care Med., 2007-03-01;35(3):842-8.
Species: Human
Sample Types: Whole Cells
Applications: ICC -
A comparative proteomics analysis identified differentially expressed proteins in pancreatic cancer-associated stellate cell small extracellular vesicles
Authors: Sarcar B, Fang B, Izumi V et al.
Molecular & Cellular Proteomics
-
Fibrin polymer on the surface of biomaterial implants drives the foreign body reaction
Authors: Arnat Balabiyev, Nataly P. Podolnikova, Jacquelyn A. Kilbourne, D. Page Baluch, David Lowry, Azadeh Zare et al.
Biomaterials
FAQs
-
Human/Mouse/Rat alpha-Smooth Muscle Actin Antibody, Catalog # MAB1420, is validated for Human/Mouse/Rat IHC, but the datasheet only has Human IHC examples. Was there testing on Mouse and Rat IHC samples?
Mouse and Rat samples were tested in Western Blot. We did not perform testing with Mouse or Rat IHC samples, however there are several citations for IHC using Mouse and Rat tissue on our webpage.
Reviews for Human/Mouse/Rat alpha -Smooth Muscle Actin Antibody
Average Rating: 4.9 (Based on 9 Reviews)
Have you used Human/Mouse/Rat alpha -Smooth Muscle Actin Antibody?
Submit a review and receive an Amazon gift card.
$25/€18/£15/$25CAN/¥75 Yuan/¥2500 Yen for a review with an image
$10/€7/£6/$10 CAD/¥70 Yuan/¥1110 Yen for a review without an image
Filter by:
Works well at a dilution of 1:500 for IF experiments
