821 results for "VEGFR2/KDR/Flk-1" in Products

VEGFR2/KDR/Flk-1 Products

VEGFR2/KDR/Flk-1 (vascular endothelial growth factor receptor 2) is a transmembrane receptor tyrosine kinase that mediates the angiogenic effects of VEGF-A and VEGF-C. It is expressed primarily on vascular endothelial cells and endothelial cell progenitors. It is also expressed on endometrial epithelium, hematopoietic stem cells, liver sinusoidal endothelial cells, Sertoli cells and Leydig cells, platelets and megakaryocytes, sensory and autonomic neurons, Schwann cells, Muller glial cells, retinal progenitors, and osteoblasts. VEGFR2 can associate with VEGFR1, and a soluble form of VEGFR2 can circulate in the serum.

Reactivity: Mouse
Details: Goat IgG Polyclonal
Applications: IHC, WB, B/N, Flow, Dual ISH-IHC, + 1 More
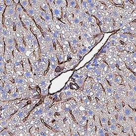
VEGFR2/KDR/Flk-1 antibody in Mouse Embryo by Immunohistochemistry (IHC-Fr).
(9)
Loading...
Reactivity: Human
Details: Goat IgG Polyclonal
Applications: IHC, WB, B/N
Detection of Human VEGFR2/KDR/Flk-1 antibody by Western Blot.
(9)
Loading...
Reactivity: Human
Source: NS0
Accession #: AAC16450
Applications: Bioactivity
R&D Systems Recombinant Proteins and Enzymes
Loading...
Reactivity: Human
Details: Mouse IgG1 Monoclonal Clone #89106
Applications: B/N, Flow, CyTOF-ready
Detection of VEGFR2/KDR/Flk-1 antibody in HUVEC Human Cells antibody by Flow Cytometry.
(3)
Loading...
Reactivity: Human
Details: Mouse IgG1 Monoclonal Clone #89115
Applications: IHC, WB, ICC/IF
VEGFR2/KDR/Flk-1 antibody in Human Placenta by Immunohistochemistry (IHC-P).
(3)
Loading...

Simple Plex Human VEGFR2/KDR/Flk-1 assay kit for use on Ella instrument. Contains cartridge, sample diluent SD13, and wash buffer.

Reactivity: Human
Applications: Simple Plex
Human VEGF R2 Simple Plex Assay
(3)

Customize My Cartridge on Bio-Techne

Simple Plex cartridges are custom built to fit your needs. Choose from over 350 assays spanning human, mouse, rat, and non-human primate. Just select your sample type, cartridge size (16, 32, or 72 samples), and up to 8 analytes per cartridge. Customize your cartridge on Bio-Techne.com


Reactivity: Human
Details: Rabbit IgG Polyclonal
Applications: WB, ICC/IF
Detection of Human Phospho-VEGFR2/KDR/Flk-1 (Y1214) antibody by Western Blot.
(3)
Loading...
Reactivity: Human
Details: Mouse IgG1 kappa Monoclonal Clone #1B6
Applications: IHC, WB, Flow, ICC/IF
Western Blot: VEGFR2/KDR/Flk-1 Antibody (1B6)BSA Free [NBP2-36428]
(8)
Loading...
Reactivity: Human, Mouse, Rat
Details: Rabbit IgG Polyclonal
Applications: IHC, WB, Flow, ICC/IF
Western Blot: VEGFR2/KDR/Flk-1 Antibody [NB100-530]
(6)
Loading...
Reactivity: Human
Details: Mouse IgG1 kappa Monoclonal Clone #2C6
Applications: IHC, WB, Flow, ICC/IF
Western Blot: VEGFR2/KDR/Flk-1 Antibody (2C6)BSA Free [NBP2-36429]
(8)
Loading...
Reactivity: Human
Details: Mouse IgG1 kappa Monoclonal Clone #1B6
Applications: IHC, WB, Flow, ICC/IF, CyTOF-ready
Western Blot: VEGFR2/KDR/Flk-1 Antibody (1B6)Azide and BSA Free [NBP2-81008]
(7)
Loading...
Reactivity: Human
Details: Mouse IgG1 kappa Monoclonal Clone #2C6
Applications: IHC, WB, Flow, ICC/IF
Western Blot: VEGFR2/KDR/Flk-1 Antibody (2C6)Azide and BSA Free [NBP2-81009]
(8)
Loading...
Reactivity: Mouse
Details: Rat IgG2A Monoclonal Clone #91202
Applications: ELISA(Cap), B/N
VEGFR2/KDR/Flk‑1 Inhibition of VEGF-dependent Cell Proliferation and Neutralization by Mouse VEGFR2/KDR/Flk‑1 Antibody.
Loading...
Reactivity: Mouse
Source: NS0
Accession #: P35918
Applications: Bioactivity
R&D Systems Recombinant Proteins and Enzymes
Loading...
Reactivity: Human
Details: Mouse IgG1 Monoclonal Clone #89109
Applications: WB, ELISA(Cap)
Loading...
Reactivity: Mouse
Details: Rat IgG1 Monoclonal Clone #91201
Applications: WB
Detection of VEGFR2/KDR/Flk-1 by Flow Cytometry
Loading...
Reactivity: Mouse
Details: Rat IgG1 Monoclonal Clone #522302
Applications: Flow, ICC/IF, CyTOF-ready
Detection of VEGFR2/KDR/Flk-1 antibody in bEnd.3 Mouse Cell Line antibody by Flow Cytometry.
(2)
Loading...
Reactivity: Human
Details: Mouse IgG1 Monoclonal Clone #89106
Applications: Flow
Detection of VEGF R2/KDR/Flk-1 antibody in HUVEC Human Cells antibody by Flow Cytometry.
(5)
Loading...

Recombinant Monoclonal Antibody.

Reactivity: Human
Details: Mouse IgG1 Monoclonal Clone #89106R
Applications: B/N, Flow, CyTOF-ready
Detection of VEGFR2/KDR/Flk-1 antibody in HUVEC Human Cells antibody by Flow Cytometry.
(2)
Loading...
Reactivity: Human, Mouse
Details: Rabbit Polyclonal
Applications: IHC, WB, ICC/IF
Immunocytochemistry/ Immunofluorescence: VEGFR2/KDR/Flk-1 Antibody - BSA Free [NBP3-05772]
(2)
Loading...
Reactivity: Human, Mouse
Details: Rabbit IgG Polyclonal
Applications: WB, ICC/IF
Western Blot: VEGFR2/KDR/Flk-1 Antibody [NB100-529]
(3)
Loading...
Reactivity: Mouse
Details: Rat IgG1 Monoclonal Clone #1101806
Applications: mIF, IHC
(3)
Loading...

Recombinant Monoclonal Antibody.

Reactivity: Mouse
Details: Rabbit IgG Monoclonal Clone #3319C
Applications: mIF, IHC
(3)
Loading...
Reactivity: Human
Details: Mouse IgG1 Monoclonal Clone #4H3
Applications: WB, ELISA, Flow, ICC/IF, CyTOF-ready
Immunocytochemistry/ Immunofluorescence: VEGFR2/KDR/Flk-1 Antibody (4H3) - Azide and BSA Free [NBP1-18644]
(5)
Loading...
Reactivity: Human
Details: Mouse IgG1 Monoclonal Clone #20I6
Applications: IHC, WB, ELISA, Flow, ICC/IF, + 1 More
Western Blot: VEGFR2/KDR/Flk-1 Antibody (20I6)Azide and BSA Free [NBP1-18646]
(4)
Loading...
Results Per Page
5 10 25 50