Unfolded Protein Response (UPR) and Endoplasmic Reticulum (ER) Stress FAQs

Endoplasmic reticulum (ER) stress occurs when the protein folding capacity of the ER can’t keep up with the protein synthesis requirements of the cell. The mis-folded proteins accumulate in the ER, which triggers the unfolded protein response (UPR) to restore ER homeostasis.

Find scientific technical answers on frequently asked questions (FAQs) relating to:

  • Endoplasmic reticulum (ER) stress
  • Unfolded protein response (UPR) signaling pathway
  • Troubleshooting tips for the immunoanalysis of UPR/ER stress markers (phospho-Ser724 IRE1 alpha, cleaved ATF6, phospho-PERK, GRP78 etc.)
  • IRE1 alpha as a positive control for ER stress
  • Inhibitors and inducers for ER stress
  1. What is the unfolded protein response?
  2. What are some key proteins in the UPR pathway?
  3. What is the role of IRE1 alpha in the UPR signaling?
  4. What is the significance of ATF6 in the UPR pathway?
  5. What is the role of PERK in the UPR signaling?
  6. What is the importance of Golgi complex in Endoplasmic Reticulum stress?
  7. What is the best method to measure ER Stress and the UPR?
  8. Why phospho-IRE1 alpha (Ser724) is important in UPR signaling experiments?
  9. I can't detect pIRE1 alpha in my Western. Is there something wrong with my antibody?
  10. What controls should I consider when detecting phospho-IRE1 alpha by Western blot?
  11. What percentage gel should I use to detect phopsho-IRE1 alpha by Western blot?
  12. Are there any tips for transfer step of phospho-IRE1 alpha’s Western blot analysis?
  13. What blocking buffer should I use when probing phopsho-IRE1 alpha expression by Western blot?
  14. What is the molecular weight of ATF6?
  15. What is the sub-cellular localization of ATF6?
  16. What fixative should I use for confocal staining of ATF6 in cultured cells?
  17. Which phosphorylation sites of PERK are important in ER stress?
  18. Do you suggest analyzing UPR markers in various sub-cellular fractions?
  19. Do you offer any inhibitors or inducers of UPR/ER stress?

What is the unfolded protein response?

The unfolded protein response (UPR) is a signaling mechanism activated in eukaryotic cells in response to endoplasmic reticulum/ER stress, an accumulation of unfolded proteins in the ER lumen. Conditions such as high protein demand, viral infection, mutant protein expression, hypoxia, energy deprivation, or exposure to excessive oxidative stress can trigger UPR or ER stress. UPR promotes cellular survival in response to stress in three ways: (i) blocking of protein translation for restoring homeostasis; (ii) positive regulation of protein folding related molecular chaperones; and (iii) up-regulation of signaling responsible for targeting mis-/un-folded proteins in ER for ubiquitination mediated degradation. In addition to promoting cellular survival, UPR can initiate apoptosis under conditions of chronic stress. A sustained over-activation of UPR has been documented to play an important role in many human diseases, including cancer, hyperglycemia, obesity, autoimmune conditions, hepatic disorders, retinopathies, acute lung injury, neurodegeneration, and cardiac diseases such as hypertrophy, myocardial infarction, cardiomyopathy, and atherosclerosis (Bahar et al, 2016, Hetz et al, 2013, Mahdi et al, 2016). Accordingly, a complete mechanistic understanding of UPR signaling is very critical for the evaluation of its biological effects in normal and/or disease conditions, and for developing preventive as well as therapeutic measures against UPR associated diseases.
 

What are some key proteins in the UPR pathway?

UPR is regulated via three major effector proteins, namely inositol-requiring enzyme 1 (IRE1)activating transcription factor 6 (ATF6) and protein kinase RNA-like ER kinase (PERK), which are maintained in their inactive/membrane bound state through binding with glucose response protein 78 (GRP78/BiP). Upon interaction with unfolded proteins, GRP78 is released from the UPR effector proteins, which leads to their activation. A schematic representation of UPR signaling in mammalian cells is shown below:

Unfolded Protein Response (UPR) signaling graphic

What is the role of IRE1α in the UPR signaling?

IRE1α is a single-pass type I membrane protein which localizes to ER lumen, and it interacts with several other proteins including GRP78DAB2IPTRAF2, and TAOK3/JIK. Upon UPR activation, IRE1α undergoes dimerization/auto-phosphorylation mediated activation (phospho-Ser724 IRE1α). The active form of IRE1α then induces the splicing of mRNA encoding the transcription factor, XBP1. Removal of an intron from XBP1 leads to the expression of the active form of XBP1 (XBP1-S, the spliced form) which positively regulates ER chaperones, as well as genes coding for the ER-associated protein degradation (ERAD) pathway and lipid metabolism. Through XBP1-independent pathways, IRE1 binds to tumor necrosis factor (TNF) receptor-associated factor 2 (TRAF2) and induces JUN amino-terminal kinase (JNK) activation. This interaction is known to modulate autophagic and apoptotic cell death. In addition to regulating cell survival and apoptosis, IRE1’s endo-ribonuclease activity has been demonstrated to induce Regulated IRE1-dependent mRNA Decay (RIDD) which is implicated in lipid anabolism and apoptosis. Moreover, IRE1α is involved in the processes of cell cycle arrest, response to glucose stimulus/insulin metabolism, transcriptional regulation, response to VEGF/angiogenesis, and regulation of macro-autophagy.

What is the significance of ATF6 in the UPR pathway?

ATF6 is a transmembrane glycoprotein and transcription activator, which functions to initiate the UPR signaling during ER stress. Upon sensing of unfolded proteins, the full length ATF6 (p90) gets transported to the Golgi apparatus, where it is processed/cleaved through site 1 protease (S1P) and S2P protease. The cleavage of p90 releases the N-terminal processed cAMP-dependent ATF-6 alpha form (p50) into the cytosol. Thereafter, p50 translocates to the nucleus of the cell, where it binds DNA on the ER stress response element (ERSE) and regulates ER-associated protein degradation (ERAD) and UPR genes. In addition to mediating the stress response through ERSE and ERAD, p50 also regulates transcription of the XBP1 protein, as well the induction of apoptosis, regulation of transcription from RNA polymerase II promoter, eye development and visual perception.
 

What is the role of PERK in the UPR signaling?

PERK is a transmembrane protein kinase belonging to the PEK family of proteins and is best known for its role in insulin processing. During ER stress responses and activation of the UPR, PERK functions to inhibit translation of new proteins. Specifically, ER stress causes oligomerization of the ER luminal domain (N-terminal) of PERK, which facilitates the trans-autophosphorylation of PERK’s cytoplasmic kinase domain (C-terminal) at Thr-982 (phospho-Thr982 PERK). Thus, the phosphorylated form of PERK at the Thr-982 site is often assessed as a measure of ER stress. In addition, activated PERK phosphorylates eukaryotic translation initiation factor 2 alpha (eIF2 alpha), which inhibits translation of proteins to maintain homeostasis. However, phospho-eIF2 alpha does not block the translation of ATF4. Upon accumulation, ATF4 translocates to the nucleus, where it induces the expression of ER chaperones, autophagy/apoptosis genes (especially CHOP), oxidative response genes, as well as amino acid metabolism signaling pathways.
 

What is the importance of Golgi complex in Endoplasmic Reticulum stress?

During UPR signaling, the Golgi apparatus facilitates the cleavage of ATF6 alpha. ATF6 is an ER stress sensor which regulates genes responsible for increasing ER protein folding capacity and restoring ER homeostasis. Upon sensing ER stress, ATF6 alpha is transported to the Golgi apparatus, where it undergoes cleavage through site-1 protease (SIP) and site-2 protease (S2P), respectively. The cleavage of ATF6 alpha releases its N-terminal domain from the membrane as a functional b-Zip transcription factor (ATF6 alpha -N) which then gets translocated to the nucleus of cell for activating the transcription of ATF6’s target genes.
 

What is the best method to measure ER Stress and the UPR?

Two main approaches are used to measure ER Stress and the UPR. First, RNA based methods are employed to analyze XBP1 splicing or the expression of other UPR genes. On the protein level, antibodies can be used to determine the expression of UPR markers. Often, the expression of IRE1αXBP1PERKATF6, and CHOP are determined by Western blot or staining based applications such as immunocytochemistry or immunohistochemistry. In any experiment involving UPR signaling, an induction or inhibition of individual marker proteins can provide an understanding of which signaling arm (i.e. IRE1α, PERK, ATF6) of the UPR pathway is being modulated. For example, an increase in phospho-IRE1α (Ser724) and/or XBP1-S levels indicates the activation of IRE1α mediated signaling. CHOP induction is an indication of ATF6 and PERK signaling activation, while the levels of GRP78 and ERp72 are more specific indicators of ATF6 activation. It should be noted however that the analysis of a single UPR markers should not be used to conclude the induction of ER stress. UPR is generally activated by an orchestrated interplay of all three arms of the ER stress signaling (IRE1, ATF6, and PERK), and it is critical to analyze multiple UPR signaling players with both RNA and protein based methods (Kennedy et al 2015).

Western blot detection of GRP78 expression in human, mouse, and rat liver tissue

HGRP78/SPA5 Antibody [NB100-56411]
WB analysis of lysates from HeLa cells (A), human liver (B), mouse liver (C), and rat liver (D) tissues using GPR78 antibody with detection employing HRP labelled secondary and PicoTect ECL substrate.

Why phospho-IRE1α (Ser724) is important in UPR signaling experiments?

IRE1 alpha is activated during ER stress and coordinates cellular adaptive responses to stress. Upon UPR activation and release from GRP78, IRE1 alpha undergoes auto-phosphorylation at Ser724 position (phospho-Ser724 IRE1α), and this kinase activity is required for activation of the endo-ribonuclease domain. IRE1 also gets ADP-ribosylated by PARP16 (upon ER stress) which increases its kinase as well as endonuclease activities. IRE1α senses unfolded proteins in the ER lumen via its N-terminal domain which leads to enzyme activation and thereafter, the active endo-ribonuclease domain splices XBP1 mRNA to generate a new C-terminus, converting it into a potent UPR transcriptional activator.

I cannot detect pIRE1α in my Western. Is there something wrong with my antibody?

It could be an antibody related issue, but before drawing that conclusion, there are few points you must consider. Phospho-IRE1α (Ser724) antibodies detect IRE1 alpha protein only when IRE1 alpha is phosphorylated at the Serine-724 site. If IRE1α is not activated (phosphorylated) in your samples, then the phosphorylation-specific antibody may result in weak or no signal by Western blot. Therefore, it is recommended you use a positive control from cells with high amounts of ER Stress. Stressed cells are a more ideal control than IRE1α overexpression lysates for the detection of the phosphorylated form of IRE1α, as they expess higher amount of the phosphorylated form of IRE1 alpha. Our in-house testing of phospho-IRE1α (Ser724) expression with phospho-IRE1α (Ser724) antibody (NB100-2323), has demonstrated that Min6 cells exposed to increasing concentrations of glucose (up to 20 nM for 3 h) serve as an excellent positive control to probe phospho-IRE1 expression by Western blot. Our team has also observed induction of phospho-IRE1α (Ser724) with Dithiothreitol (DTT) and found greater success in detecting phospho-IRE1α (Ser724) when fresh samples are used.

Western blot of pSer724 IRE1-alpha expression in Min6 cells

pSer724 IRE1α Antibody [NB100-2323]
Detection in Min6 cells which were treated with different concentrations of glucose for 3 hours prior to lysates preparation.

Western blot of IRE1-alpha expression in Min6 cell lysates transfected with GFP- or IRE1-siRNA


IRE1α Antibody [NB100-2324]
Western Blot detection of total IRE1α protein in lysates from Min6 cells which were transfected with GFP-siRNA or Ire1-siRNA.

What controls should I consider when detecting phospho-IRE1α by Western blot?

The levels of phosphorylated form of IRE1 alpha are generally low under unstressed conditions. Therefore, we recommend including a positive control from cells treated with an ER stress inducer, such as glucose, DTT, MG 132, Thapsigargin, Tunicamycin or Brefeldin A. Importantly, the samples should also be tested for total IRE1 alpha levels using antibodies, such as IRE1α Antibody [NB100-2324], which detect the un-phosphorylated as well as the phosphorylated form of this protein. Total IRE1α’s level can act as true normalization control in addition to the conventional loading controls, such as TubulinGAPDH or β-Actin.

What percentage gel should I use to detect phopsho-IRE1α by Western blot?

We recommend using a 6%, 8%, or a gradient gel to probe the expression of IRE1α by Western blot. IRE1’s molecular weight is approximately110 kDa, so a lower percentage gel will help achieve better separation. When using 6% gel, a loading control with relatively mid to high molecular weight, such as Tubulin, should be used. β-actin or GAPDH are not recommended as they may result in blurred bands in low percentage gels. This may affect the normalization process and skew quantification of phospho-IRE1α.
 

Are there any tips for transfer step of phospho-IRE1α’s Western blot analysis?

As for any other high molecular weight protein, the transfer of phospho-IRE1α also requires some optimization. When transferring proteins from gel to membrane in western blot, an extended transfer at 4˚C is recommended. Moreover, the transfer buffer may be supplemented with SDS (not more than 0.1%) for improving the transfer of proteins. Importantly, we recommend confirming protein transfer, particularly in the high molecular weight range (90-130 kDa). Proteins can be visualized and transfer confirmed by staining the membrane with Amido black or Ponceau S stains.

What blocking buffer should I use when probing phospho-IRE1α expression by Western blot?

High background is an issue often observed when working with phosphorylated proteins in Western blotting. To probe the expression of phosphorylated protein, including phospho-IRE1α , we recommend 5% BSA in TBST as a blocking buffer. When probing for phosphorylated protein, we do not recommend blocking the membrane with milk, as milk contains other proteins that can increase background signal. To determine if the source of the background is the primary or secondary antibody, part of the membrane can be removed and incubated with secondary antibody only (no primary antibody). Following immunoblotting, the detection step may require multiple exposures for obtaining a cleaner and quantifiable bands.

What is the molecular weight of ATF6?

ATF6 is an ER resident transmembrane glycoprotein which functions as a transcription activator and initiates the UPR during ER stress. It gets processed in Golgi via S1P/S2P during ER stress and the N-terminal processed cAMP-dependent ATF-6 alpha form translocates to the nuclei of the cells. Inside the nuclei, it binds DNA on the ER stress response element (ERSE) and it regulates UPR genes. The predicted molecular weight of ATF6’s canonical form is 74.5kDa, however, the glycosylated form of this protein may show up at 90kDa in Western blot. The 90 kDa form represents full length ATF6. The cleaved form is approximately 50kDa which is observed during UPR and this p50 fragment containing the cytoplasmic transcription factor domain released upon ATF6 cleavage through S1P/S2P (Ye et al 2000). However, ~60kDa and 36 kDa size cleaved forms of ATF6 have also been described in the nucleus (Mao et al, 2007).

Western blot of ATF6 expression

ATF6 Antibody (70B1413.1) [NBP1-40256] WB analysis of 293 cells transfected with full-length ATF6 (Lane 1), or with partial length amino acids 1-373 of ATF6 (Lane 2), and the non-transfected control cells (Lane 3).

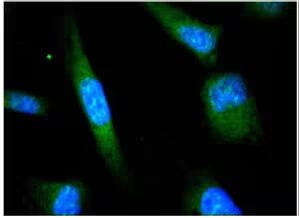
Immunochemistry/Immunofluorescence image of ATF6 expression in HeLa cells

ATF6 Antibody [NBP1-75478] ICC/IF analysis of HeLa cells using ATF6 antibody with detection employing FITC conjugated secondary antibody (green). Nuclei were counterstained with DAPI (blue).

What is the sub-cellular localization of ATF6?

ATF6, also called ATF6 alpha, is a type-II transmembrane protein which mainly localizes to the endoplasmic reticulum (ER) membrane. However, during UPR induction, it gets freed from GRP78 and translocates to the Golgi apparatus where it is processed via S1P/S2P. The cleaved ATF6 (N-terminal cytoplasmic domain) then gets imported into the nucleus in ER stressed cells. Nuclear shuttling of ATF6 is regulated by THBS4.
 

What fixative should I use for confocal staining of ATF6 in cultured cells?

Aldehyde fixatives, such as formalin, crosslink proteins, while alcohol-based fixatives result in protein precipitation. When performing immunostaining, the choice of the fixative can vary from antibody to antibody, as the fixative type can affect protein expression and localization. If you are using our ATF6 antibody (NBP1-40256), we recommend using chilled methanol as a fixative. It is important to note that cells fixed with methanol do not require permeabilization, as methanol acts as a permeabilizing agent itself.
 

Which phosphorylation sites of PERK are important in ER stress?

ER stress causes oligomerization of the ER luminal domain (N-terminal) of PERK, which facilitates the trans-auto-phosphorylation of PERK’s cytoplasmic kinase domain (C-terminal) at Thr-982 to generate phospho-PERK (Thr-982). Thus, the phosphorylated of PERK at the Thr 982 site is often assessed as a measure of ER stress. Another critical autophosphorylation site is Tyr-619, which is also regulated through ER stress, and results in its tyrosine-protein kinase activity. PTPN1/TP1B on the other hand dephosphorylates phospho-PERK (Thr-982) which results in inactivation of its enzymatic activity.

Western blot of PERK expression in various cell lines

PERK Antibody [NBP1-78017] WB analysis of lysates from PERK over-expressing 293T cells (lanes 1 & 2), Wild type MEFs (Lanes 3 & 4), and PERK knock-out MEFs (lanes 5 & 6) MEF cells. The MEFs were treated with vehicle (-) or Tunicamycin (+) for induction of ER stress.

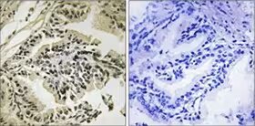
Immunohistochemistry image of PERK expression in human prostate carcinoma

PERK [p Thr982] Antibody [NBP2-50546] IHC-P analysis of human prostate carcinoma using PEK/PERK (pThr982) polyclonal antibody (left) or the same antibody which was pre-incubated with a blocking peptide (right).

Do you suggest analyzing UPR markers in various sub-cellular fractions?

Because inactive UPR sensors localize to the ER and then translocate to the Golgi, cytosol, or the nucleus following ER stress-induced activation, sub-cellular fractions can be prepared to enrich proteins of interest and/or to probe for subcellular fraction-specific expression. These fractions provide more conclusive context and can enhance signal of low abundance UPR proteins compared to total cell lysates. You can learn more about the methods of isolation and the significance of various markers of these fractions at Cell Fractionation and Organelle Isolation.
 

Do you offer any inhibitors or inducers of UPR/ER stress?

Yes. Experimental studies have shown that DTT, Thapsigargin, Tunicamycin, Brefeldin A, and other molecules induce ER stress in various cell lines. We offer a range of compounds to induce or inhibit ER stress. Some of those agents are:

NameBiological Activity
APY 29Inhibits IRE1α autophosphorylation; activates IRE1α endoribonuclease activity
Brefeldin ADisrupts Golgi apparatus resulting in activation of ER stress pathways
DL-Dithiothreitol (DTT)Reducing agent; blocks disulfide-bond formation; UPR inducer
Eeyarestatin IPotent inhibitor of ER-associated protein degradation and translocation
GSK 2606414Potent and selective PERK inhibitor; orally bioavailable
SalubrinalSelective inhibitor of eIF2α dephosphorylation
ThapsigarginPotent inhibitor of SERCA ATPase; ER stress inducer
TunicamycinGlcNAc phosphotransferase inhibitor; induces ER stress

  1. Bahar E, Kim H, Yoon H et al. 2016. ER Stress-Mediated Signaling: Action Potential and Ca2+ as Key Players. Int J Mol Sci. 17(9). pii: E1558.
  2. Kennedy D, Samali A, Jager R. 2015. Methods for studying ER stress and UPR markers in human cells. Methods Mol Biol. 1292:3-18
  3. Mahdi AA, Rizvi SH, Parveen A. 2016. Role of Endoplasmic Reticulum Stress and Unfolded Protein Responses in Health and Diseases. Indian J Clin Biochem. 31(2):127-37
  4. Mao W, Fukuoka S, Iwai C et al. 2007. Cardiomyocyte apoptosis in autoimmune cardiomyopathy: mediated via endoplasmic reticulum stress and exaggerated by norepinephrine. Am J Physiol Heart Circ Physiol. 293(3):H1636-45.
  5. Rivas A, Vidal RL, Hetz C et al. 2015. Targeting the unfolded protein response for disease intervention. Expert Opin Ther Targets. 19(9):1203-18.
  6. Ye J, Rawson RB, Komuro R et al. 2000. ER stress induces cleavage of membrane-bound ATF6 by the same proteases that process SREBPs. Mol Cell. 6(6):1355-64.